KCMF1 Antibody
-
中文名稱:KCMF1兔多克隆抗體
-
貨號:CSB-PA873718LA01HU
-
規格:¥440
-
圖片:
-
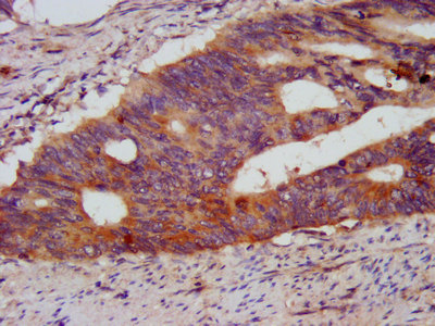
IHC image of CSB-PA873718LA01HU diluted at 1:500 and staining in paraffin-embedded human colon cancer performed on a Leica BondTM system. After dewaxing and hydration, antigen retrieval was mediated by high pressure in a citrate buffer (pH 6.0). Section was blocked with 10% normal goat serum 30min at RT. Then primary antibody (1% BSA) was incubated at 4°C overnight. The primary is detected by a biotinylated secondary antibody and visualized using an HRP conjugated SP system.
-
IHC image of CSB-PA873718LA01HU diluted at 1:500 and staining in paraffin-embedded human endometrial cancer performed on a Leica BondTM system. After dewaxing and hydration, antigen retrieval was mediated by high pressure in a citrate buffer (pH 6.0). Section was blocked with 10% normal goat serum 30min at RT. Then primary antibody (1% BSA) was incubated at 4°C overnight. The primary is detected by a biotinylated secondary antibody and visualized using an HRP conjugated SP system.
-
-
其他:
產品詳情
-
產品名稱:Rabbit anti-Homo sapiens (Human) KCMF1 Polyclonal antibody
-
Uniprot No.:
-
基因名:KCMF1
-
別名:KCMF1 antibody; FIGC antibody; ZZZ1 antibody; E3 ubiquitin-protein ligase KCMF1 antibody; EC 2.3.2.27 antibody; FGF-induced in gastric cancer antibody; Potassium channel modulatory factor antibody; PCMF antibody; RING-type E3 ubiquitin transferase KCMF1 antibody; ZZ-type zinc finger-containing protein 1 antibody
-
宿主:Rabbit
-
反應種屬:Human
-
免疫原:Recombinant Human E3 ubiquitin-protein ligase KCMF1 protein (98-226AA)
-
免疫原種屬:Homo sapiens (Human)
-
標記方式:Non-conjugated
本頁面中的產品,KCMF1 Antibody (CSB-PA873718LA01HU),的標記方式是Non-conjugated。對于KCMF1 Antibody,我們還提供其他標記。見下表:
-
克隆類型:Polyclonal
-
抗體亞型:IgG
-
純化方式:>95%, Protein G purified
-
濃度:It differs from different batches. Please contact us to confirm it.
-
保存緩沖液:Preservative: 0.03% Proclin 300
Constituents: 50% Glycerol, 0.01M PBS, pH 7.4 -
產品提供形式:Liquid
-
應用范圍:ELISA, IHC
-
推薦稀釋比:
Application Recommended Dilution IHC 1:500-1:1000 -
Protocols:
-
儲存條件:Upon receipt, store at -20°C or -80°C. Avoid repeated freeze.
-
貨期:Basically, we can dispatch the products out in 1-3 working days after receiving your orders. Delivery time maybe differs from different purchasing way or location, please kindly consult your local distributors for specific delivery time.
-
用途:For Research Use Only. Not for use in diagnostic or therapeutic procedures.
相關產品
靶點詳情
-
功能:Has intrinsic E3 ubiquitin ligase activity and promotes ubiquitination.
-
基因功能參考文獻:
- Results showed KCMF1 C-terminus binds directly to RAD6, whereas N-terminal domains interact with UBR4 and point mutations found in X-linked intellectual disability (XLID) patients specifically lose the interaction with KCMF1 and UBR4. PMID: 25582440
- Data indicate that expressions of miR-210 and potassium channel modulatory factor 1 (KCMF1) exhibited an inverse correlation in placentas from patients with severe preeclampsia. PMID: 24980667
- Data indicate that FIGC upregulation in response to basic fibroblast growth factor in gastric cancer might be implicated in carcinogenesis through dysregulation of growth modulator. PMID: 15581609
- Suppression of KCMF1 by constitutive high CD99 expression levels contribute to the malignant properties of Ewing's sarcoma by promoting growth and migration of tumor cells PMID: 16314831
-
蛋白家族:KCMF1 family
-
組織特異性:Spleen, small intestine, ovary, peripheral blood, lung, kidney and pancreas. Expressed at low levels in the thymus, prostate, testis, colon, heart, brain, placenta and liver.
-
數據庫鏈接:
Most popular with customers
-
-
YWHAB Recombinant Monoclonal Antibody
Applications: ELISA, WB, IHC, IF, FC
Species Reactivity: Human, Mouse, Rat
-
Phospho-YAP1 (S127) Recombinant Monoclonal Antibody
Applications: ELISA, WB, IHC
Species Reactivity: Human
-
-
-
-
-















