KCNE3 Antibody
-
中文名稱:KCNE3兔多克隆抗體
-
貨號:CSB-PA22569A0Rb
-
規格:¥440
-
圖片:
-
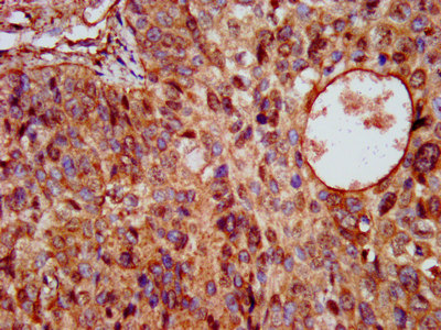
IHC image of CSB-PA22569A0Rb diluted at 1:200 and staining in paraffin-embedded human glioma performed on a Leica BondTM system. After dewaxing and hydration, antigen retrieval was mediated by high pressure in a citrate buffer (pH 6.0). Section was blocked with 10% normal goat serum 30min at RT. Then primary antibody (1% BSA) was incubated at 4°C overnight. The primary is detected by a biotinylated secondary antibody and visualized using an HRP conjugated SP system.
-
IHC image of CSB-PA22569A0Rb diluted at 1:200 and staining in paraffin-embedded human cervical cancer performed on a Leica BondTM system. After dewaxing and hydration, antigen retrieval was mediated by high pressure in a citrate buffer (pH 6.0). Section was blocked with 10% normal goat serum 30min at RT. Then primary antibody (1% BSA) was incubated at 4°C overnight. The primary is detected by a biotinylated secondary antibody and visualized using an HRP conjugated SP system.
-
Immunofluorescence staining of HepG2 cells with CSB-PA22569A0Rb at 1:66, counter-stained with DAPI. The cells were fixed in 4% formaldehyde, permeabilized using 0.2% Triton X-100 and blocked in 10% normal Goat Serum. The cells were then incubated with the antibody overnight at 4°C. The secondary antibody was Alexa Fluor 488-congugated AffiniPure Goat Anti-Rabbit IgG(H+L).
-
-
其他:
產品詳情
-
產品名稱:Rabbit anti-Homo sapiens (Human) KCNE3 Polyclonal antibody
-
Uniprot No.:
-
基因名:KCNE3
-
別名:KCNE3 antibody; Potassium voltage-gated channel subfamily E member 3 antibody; MinK-related peptide 2 antibody; Minimum potassium ion channel-related peptide 2 antibody; Potassium channel subunit beta MiRP2 antibody
-
宿主:Rabbit
-
反應種屬:Human
-
免疫原:Recombinant Human Potassium voltage-gated channel subfamily E member 3 protein (1-57AA)
-
免疫原種屬:Homo sapiens (Human)
-
標記方式:Non-conjugated
本頁面中的產品,KCNE3 Antibody (CSB-PA22569A0Rb),的標記方式是Non-conjugated。對于KCNE3 Antibody,我們還提供其他標記。見下表:
-
克隆類型:Polyclonal
-
抗體亞型:IgG
-
純化方式:>95%, Protein G purified
-
濃度:It differs from different batches. Please contact us to confirm it.
-
保存緩沖液:Preservative: 0.03% Proclin 300
Constituents: 50% Glycerol, 0.01M PBS, pH 7.4 -
產品提供形式:Liquid
-
應用范圍:ELISA, IHC, IF
-
推薦稀釋比:
Application Recommended Dilution IHC 1:200-1:500 IF 1:50-1:200 -
Protocols:
-
儲存條件:Upon receipt, store at -20°C or -80°C. Avoid repeated freeze.
-
貨期:Basically, we can dispatch the products out in 1-3 working days after receiving your orders. Delivery time maybe differs from different purchasing way or location, please kindly consult your local distributors for specific delivery time.
-
用途:For Research Use Only. Not for use in diagnostic or therapeutic procedures.
相關產品
靶點詳情
-
功能:Ancillary protein that assembles as a beta subunit with a voltage-gated potassium channel complex of pore-forming alpha subunits. Modulates the gating kinetics and enhances stability of the channel complex. Assembled with KCNB1 modulates the gating characteristics of the delayed rectifier voltage-dependent potassium channel KCNB1. Associated with KCNC4/Kv3.4 is proposed to form the subthreshold voltage-gated potassium channel in skeletal muscle and to establish the resting membrane potential (RMP) in muscle cells. Associated with KCNQ1/KCLQT1 may form the intestinal cAMP-stimulated potassium channel involved in chloride secretion that produces a current with nearly instantaneous activation with a linear current-voltage relationship.
-
基因功能參考文獻:
- Regulation of human cardiac potassium channels by full-length KCNE3 and KCNE4 has been reported. PMID: 27922120
- Structural, computational, biochemical, and electrophysiological studies lead to an atomically explicit integrative structural model of the KCNE3-KCNQ1 complex that explains how KCNE3 induces the constitutive activation of KCNQ1 channel activity, a crucial component in K(+) recycling. PMID: 27626070
- Reported here are previously undiscovered protein-coding regions in exon 1 of hKCNE3 and hKCNE4 that extend their encoded extracellular domains by 44 and 51 residues, which yields full-length proteins of 147 and 221 residues, respectively. PMID: 27162025
- Based on current evidence from published studies, neither of the two variants from KCNE was significantly associated with the risk of Meniere's disease--{REVIEW} PMID: 26890422
- Data show that voltage-gated potassium channel KCNE3 directly affects the S4 movement in potassium channel KCNQ1. PMID: 26668384
- KCNQ1/KCNE3 channels make only a small contribution to basolateral conductance in normal colonic crypts, with increased channel activity in UC appearing insufficient to prevent colonic cell depolarization in this disease. PMID: 26718405
- KCNE1 and KCNE3: The yin and yang of voltage-gated K(+) channel regulation PMID: 26410412
- A KCNE3 T4A mutation was identified in a Japanese patient presenting Brugada-pattern ECG and neurally mediated syncope. PMID: 22987075
- Allele frequencies are studied for 11 known variants of KCNE3 gene, of which two (F66F and R83H) are polymorphic but are not associated with chronic tinnitus. PMID: 21899751
- The results of this study indicated that Kv7.5 contributes to the spatial regulation. PMID: 22190306
- 2 of the 8 MiRP2 extracellular domain acidic residues (D54 and D55) are important for KCNQ1-MiRP2 constitutive activation. PMID: 20040519
- data show that SNPs in KCNE1 and KCNE3 are not associated with Meniere disease in Caucasians PMID: 20034061
- The KCNE3 protein within the micellesis in monomeric form and acquires mainly alpha-helical conformation. PMID: 19961415
- Ectopic expression of KCNE3 accelerates cardiac repolarization and abbreviates the QT interval. PMID: 11956246
- The authors found MiRP2-R83H in 3 of 321 control subjects and in 5 unaffected related individuals. Provocation of an unaffected carrier with glucose or KCl did not induce weakness. PMID: 15037716
- interaction of MiRP2-72 with KCNQ1-338; and MinK-59,58 with KCNQ1-339, 340 PMID: 16308347
- The result indicates that 112G/A SNP in the KCNE1 gene and 198T/C SNP in the KCNE3 gene could determine an increased susceptibility to develop MD. PMID: 16374062
- The characterization of a missense mutation in MiRP2 that affects its phosphorylation and consequent interactions with Kv3.4 is reported. PMID: 16449802
- KCNE3 also inhibits currents generated by Kv4.3 in complex with the accessory subunit KChIP2 PMID: 16782062
- Up-regulation and incrased activity of KV3.4 channels and their accessory subunit Mirp2 induced by amyloid peptide are involved in apoptotic neuronal death. PMID: 17495071
- Abnormalities in the KCNE3 gene is a potential genetic risk factor for initiation and/or maintenance of atrial fibrillation. PMID: 18209471
- KCNE3 plays a functional role in the modulation of I(to) in the human heart and suggest that mutations in KCNE3 can underlie the development of BrS. PMID: 19122847
顯示更多
收起更多
-
亞細胞定位:Cell membrane; Single-pass type I membrane protein. Cytoplasm. Perikaryon. Cell projection, dendrite. Membrane raft.
-
蛋白家族:Potassium channel KCNE family
-
組織特異性:Expressed in hippocampal neurons (at protein level). Widely expressed with highest levels in kidney and moderate levels in small intestine.
-
數據庫鏈接:
Most popular with customers
-
YWHAB Recombinant Monoclonal Antibody
Applications: ELISA, WB, IHC, IF, FC
Species Reactivity: Human, Mouse, Rat
-
-
-
-
-
-
-
VCP Recombinant Monoclonal Antibody
Applications: ELISA, WB, IHC, IF, IP
Species Reactivity: Human, Rat















