KCNJ11 Antibody
-
中文名稱:KCNJ11兔多克隆抗體
-
貨號:CSB-PA622781LA01HU
-
規格:¥440
-
圖片:
-
Western Blot
Positive WB detected in: MCF-7 whole cell lysate, Mouse liver tissue, Mouse brain tissue
All lanes: KCNJ11 antibody at 3µg/ml
Secondary
Goat polyclonal to rabbit IgG at 1/50000 dilution
Predicted band size: 44, 34 kDa
Observed band size: 44 kDa -
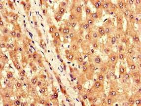
Immunohistochemistry of paraffin-embedded human liver tissue using CSB-PA622781LA01HU at dilution of 1:100
-
-
其他:
產品詳情
-
產品名稱:Rabbit anti-Homo sapiens (Human) KCNJ11 Polyclonal antibody
-
Uniprot No.:
-
基因名:KCNJ11
-
別名:KCNJ11; ATP-sensitive inward rectifier potassium channel 11; IKATP; Inward rectifier K(+ channel Kir6.2; Potassium channel, inwardly rectifying subfamily J member 11
-
宿主:Rabbit
-
反應種屬:Human, Mouse
-
免疫原:Recombinant Human ATP-sensitive inward rectifier potassium channel 11 protein (172-390AA)
-
免疫原種屬:Homo sapiens (Human)
-
標記方式:Non-conjugated
本頁面中的產品,KCNJ11 Antibody (CSB-PA622781LA01HU),的標記方式是Non-conjugated。對于KCNJ11 Antibody,我們還提供其他標記。見下表:
-
克隆類型:Polyclonal
-
抗體亞型:IgG
-
純化方式:>95%, Protein G purified
-
濃度:It differs from different batches. Please contact us to confirm it.
-
保存緩沖液:Preservative: 0.03% Proclin 300
Constituents: 50% Glycerol, 0.01M PBS, PH 7.4 -
產品提供形式:Liquid
-
應用范圍:ELISA, WB, IHC
-
推薦稀釋比:
Application Recommended Dilution WB 1:500-1:5000 IHC 1:20-1:200 -
Protocols:
-
儲存條件:Upon receipt, store at -20°C or -80°C. Avoid repeated freeze.
-
貨期:Basically, we can dispatch the products out in 1-3 working days after receiving your orders. Delivery time maybe differs from different purchasing way or location, please kindly consult your local distributors for specific delivery time.
-
用途:For Research Use Only. Not for use in diagnostic or therapeutic procedures.
相關產品
靶點詳情
-
功能:This receptor is controlled by G proteins. Inward rectifier potassium channels are characterized by a greater tendency to allow potassium to flow into the cell rather than out of it. Their voltage dependence is regulated by the concentration of extracellular potassium; as external potassium is raised, the voltage range of the channel opening shifts to more positive voltages. The inward rectification is mainly due to the blockage of outward current by internal magnesium. Can be blocked by extracellular barium. Subunit of ATP-sensitive potassium channels (KATP). Can form cardiac and smooth muscle-type KATP channels with ABCC9. KCNJ11 forms the channel pore while ABCC9 is required for activation and regulation.
-
基因功能參考文獻:
- The study is the first report of a novel form of late-onset persistent hyperinsulinemic hypoglycemia of infancy (PHHI) that is caused by a dominant mutation in KCNJ11 and exhibits a defect in proper surface expression of Kir6.2. PMID: 29087246
- Genetic variation in the KCNJ11 is associated with Prediabetes. PMID: 28449408
- A lasso extension forms an interface between SUR1 and Kir6.2 adjacent to the ATP site in the propeller form and is disrupted in the quatrefoil form. These structures support the role of SUR1 as an ADP sensor and highlight the lasso extension as a key regulatory element in ADP's ability to override ATP inhibition. PMID: 29286281
- Combination of heterozygous mutations in the ABCC8 and KCNJ11 genes could also lead to beta cells dysfunction presenting as congenital hyperinsulinism. PMID: 29127764
- It was confirmed that this deletion in the KCNJ11 gene did not affect the protein expression levels of key pluripotent factors. Additionally, normal karyotype and differentiation potency were observed for the cell line. PMID: 29034901
- Genetic variants in KCNJ11 gene had significantly decreased pancreas weight and insulin mass similar to that of type 1 diabetes. PMID: 28938416
- genetic association studies in pediatric population in Japan: Data confirm that mutations in KCNJ11 or ABCC8 are associated with neonatal diabetes mellitus. Novel mutations were identified; 2 in KCNJ11 (V64M, R201G) and 6 in ABCC8 (R216C, G832C, F1176L, A1263V, I196N, T229N). (KCNJ11 = ATP-sensitive inward rectifier potassium channel-11; ABCC8 = ATP-binding cassette subfamily C member-8) PMID: 27681997
- Data suggest that patients with NDM (permanent neonatal diabetes mellitus) related to mutations in KCNJ11 are at increased risk for delays in learning, delays in social-emotional-behavioral development, sleep difficulties, and ADHD (attention deficit hyperactivity disorder) based on parent/guardian reports. PMID: 27555491
- When typing at the polymorphic loci in the Glu23Lys in the KCNJ11 gene, the development of type 2 Diabetes Mellitus in the Kyrgyz population was associated with the T allele the 23Lys allele (OR, 1.62; p=0.019) in the KCNJ11 gene. PMID: 29171469
- Evaluation of Glutathione Peroxidase and KCNJ11 Gene Polymorphisms in Patients with New Onset Diabetes Mellitus After Renal Transplantation. PMID: 28073131
- Herein, we report the clinical features of two siblings with a heterozygous mutation C679 G>A in the KCNJ11 gene. PMID: 28347637
- Upregulated KCNJ11 predicts a poor prognosis and is regulated by NFkappaB signaling in hepatocellular carcinoma (HCC). LDHA partially mediated the oncogenic roles of KCNJ11 in HCC. PMID: 29108994
- Description of the variety of neurodevelopmental problems seen in those with KCNJ11 mutations, even in those without recognized global developmental delays. PMID: 27223594
- Systematic assessment using standardized validated questionnaires reveals a range of psychiatric morbidity in children with KCNJ11 neonatal diabetes. This is under-recognized clinically and has a significant impact on affected children and their families. An integrated collaborative approach to clinical care is needed to manage the complex needs of people with KCNJ11 neonatal diabetes. PMID: 27086753
- data demonstrate that increased Kir6.2 is seen in reactive astrocytes in old 3xTg-Alzheimer's disease (AD) mice and human AD tissue PMID: 27586053
- KCNJ11 mutation causing loss of function of beta-cell KATP channels lead to congenital hyperinsulinism, higher basal [Ca(2+)] i and insulin secretion, increased insulin secretion in response to amino acids but not to glucose, increased basal rate of oxygen consumption and mitochondrial mass, increased rates of glycolysis, increased serine/glycine and glutamine biosynthesis, and low gamma-aminobutyric acid (GABA) levels. PMID: 28442472
- Functional studies indicated that the Kir6.2-G324R mutation reduces the channel ATP sensitivity but that the difference in ATP inhibition between homozygous and heterozygous channels is remarkably small. Nevertheless, the homozygous patient developed neonatal diabetes, whereas the heterozygous parents were, and remain, unaffected. PMID: 27118464
- KCNJ11 expression is decreased in human ischemia cardiomyopathy. PMID: 28209764
- The polymorphic marker Glu23Lys in the KCNJ11 gene is associated with hypertension in Kyrgyzia. PMID: 28252621
- Cross-linking experiments showed that KATP channel inhibitors promoted interactions between the N terminus of Kir6.2 and SUR1, whereas channel openers did not, suggesting the inhibitors enhance intersubunit interactions to overcome channel biogenesis and trafficking defects. PMID: 27573238
- The genotype (EE/EK/KK) frequencies (%) for the CTRL group (38.2/50.2/11.6), Type 1 Diabetes (34.3/52.0/13.7), and Type 2 Diabetes (38.2/48.9/12.9) were in Hardy-Weinberg equilibrium and there were no significant differences. The minor allele frequencies (MAF; K) for CTRL (37.0%), Type 1 Diabetes (39.7%), and Type 2 Diabetes (37.4%) were not different among the groups PMID: 28387875
- KCNJ11 mutation is associated with permanent neonatal diabetes. PMID: 27428845
- A male infant who was diagnosed with congenital hyperinsulinism (CHI) with a novel homozygous p.F315I mutation in the kcnj11 channel (KCNJ11) gene, and parents were second cousins both with heterozygous mutations for this gene, and the patient was successfully managed with sirolimus therapy. PMID: 27181099
- The most frequently seen mutations in Turkish patients with congenital hyperinsulinism (CHI) were ATP binding cassette subfamily C member 8 (ABCC8) gene, followed by 3-hydroxyacyl CoA dehydrogenase (HADH) and kcnj11 channel (KCNJ11) genes. PMID: 27181376
- novel mosaic, paternally-inherited KCNJ11 mutation(s) in the patient. Further analysis confirmed uniparental disomy (UPD) of chromosome 11, which extended across the KCNJ11 gene at 11p15.1 and the Beckwith-Wiedemann syndrome locus at 11p15.5. PMID: 27173951
- Coexistence of Mosaic Uniparental Isodisomy and a KCNJ11 Mutation Presenting as Diffuse Congenital Hyperinsulinism and Hemihypertrophy. PMID: 27174046
- The interactive effect of smoking status and the KCNJ11 genotype may influence the antihypertensive effects of irbesartan in Chinese Han population. PMID: 26304961
- study demonstrated that the combined genetic variants were borderline significantly associated with the efficacy of glibenclamide, and there are gene-gene interaction between KCNJ11 and CDKN2A/2B. PMID: 27008632
- Homozygous KCNJ11 mutation is associated with persistently elevated insulin concentrations. PMID: 26581065
- This studypredict response ketogenic dietary therapies. showed that Common variants in KCNJ11 and BAD do not response to ketogenic diety therapy. PMID: 26590798
- KCNJ11 genetic variants may have a role in the development of diabetes mellitus [review] PMID: 26448950
- mitochondrial ATP-sensitive potassium channels (mtK(ATP) channels) are overexpressed in glioma cells and are closely related to the malignancy grade and the overall survival of the patients. PMID: 25249341
- Mutations in KCNJ11 are associated with neonatal diabetes mellitus. PMID: 25781672
- study investigated mutations in the KATP channel genes, allelic copy number and imprinting status at 11p15 in patients with congenital hyperinsulinism (CHI); found epigenetic alteration at the 11p15 region plays a central role in developing focal CHI by paternally derived mutations of the KATP channel and maternal allelic loss at this region PMID: 25765446
- The hORs were coupled to the Kir6.2 potassium channel for simple odorant detection. PMID: 25931017
- We performed a retrospective cohort study using data on 58 individuals with neonatal diabetes due to KCNJ11 mutations PMID: 25877689
- Polymorphism rs5219 of KCNJ11 gene is associated with type 2 diabetes. PMID: 26841550
- KCNJ11 SNP was associated with diabetic retinopathy in Chinese Han patients with T2DM. PMID: 25573672
- These calculations identified causal genetic variation within the ABCC8/KCNJ11 region for type 2 diabetes mellitus. PMID: 25955821
- A190A-TT or E23K-GG of the KCNJ11 in carriers had higher systolic blood pressure (SBP) than CC or AA carriers in the non-diabetic control and T2DM groups (both p < 0.05). PMID: 25725792
- The KCNJ11 gene encodes for the Kir6.2 subunit of the ATP-sensitive potassium channel in the pancreatic beta cell; thus, mutations in this gene cause impaired insulin secretion. PMID: 25678012
- Polymorphisms in KCNJ11 might predispose the patients treated by tacrolimus to development of NODAT (new-onset diabetes after transplantation) after liver transplantation. PMID: 24996284
- Paternally inherited heterozygous ABCC8/KCNJ11 mutations can manifest as a wide spectrum of congenital hyperinsulinism. PMID: 25201519
- The KCNJ11 E23K variant is associated with a greater effect of sulphonylurea treatment. PMID: 25115353
- Case control study and meta-analysis show that KCNJ11 rs5219 gene polymorphism as an independent risk factor for type 2 diabetes is influenced by the ethnicity of the population. PMID: 25247988
- genotypes of the polymorphic markers of KCNJ11, SLC30A8 and CDKN2B genes showed the presence of association with T2DM in Russian population, while for the FTO gene was not found statistically significant associations with type 2 diabetes PMID: 25916116
- Association analysis of IGF2BP2, KCNJ11, and CDKAL1 polymorphisms with type 2 diabetes mellitus in a Moroccan population.[meta-analysis] PMID: 24898818
- Both case-control and meta-analyses results revealed the significant association between the E23K variant of KCNJ11 and Type 2 diabetes among Tunisians and Arabs. PMID: 25165692
- We identified a novel missense heterogeneous mutation in the KCNJ11 gene at codon 167 (aTC-->tTC) in a region that corresponds to a predicted intracellular gate of the ATP-sensitive potassium channel. PMID: 24468099
- Efficacy of glibenclamide and sitagliptin therapy in adult patients with KCNJ11 permanent diabetes. PMID: 24558086
顯示更多
收起更多
-
相關疾病:Familial hyperinsulinemic hypoglycemia 2 (HHF2); Diabetes mellitus, permanent neonatal (PNDM); Transient neonatal diabetes mellitus 3 (TNDM3); Maturity-onset diabetes of the young 13 (MODY13)
-
亞細胞定位:Membrane; Multi-pass membrane protein.
-
蛋白家族:Inward rectifier-type potassium channel (TC 1.A.2.1) family, KCNJ11 subfamily
-
數據庫鏈接:
Most popular with customers
-
YWHAB Recombinant Monoclonal Antibody
Applications: ELISA, WB, IHC, IF, FC
Species Reactivity: Human, Mouse, Rat
-
Phospho-YAP1 (S127) Recombinant Monoclonal Antibody
Applications: ELISA, WB, IHC
Species Reactivity: Human
-
-
-
-
-
-















