KCTD6 Antibody
-
中文名稱:KCTD6兔多克隆抗體
-
貨號:CSB-PA822756LA01HU
-
規格:¥440
-
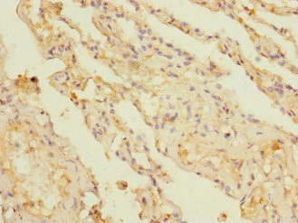
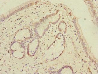
圖片:
-
其他:
產品詳情
-
產品名稱:Rabbit anti-Homo sapiens (Human) KCTD6 Polyclonal antibody
-
Uniprot No.:
-
基因名:KCTD6
-
別名:BTB/POZ domain-containing protein KCTD6 antibody; KCASH3 antibody; kctd6 antibody; KCTD6_HUMAN antibody; MGC27385 antibody; potassium channel tetramerization domain containing 6 antibody
-
宿主:Rabbit
-
反應種屬:Human
-
免疫原:Recombinant Human BTB/POZ domain-containing protein KCTD6 protein (1-237AA)
-
免疫原種屬:Homo sapiens (Human)
-
標記方式:Non-conjugated
本頁面中的產品,KCTD6 Antibody (CSB-PA822756LA01HU),的標記方式是Non-conjugated。對于KCTD6 Antibody,我們還提供其他標記。見下表:
-
克隆類型:Polyclonal
-
抗體亞型:IgG
-
純化方式:>95%, Protein G purified
-
濃度:It differs from different batches. Please contact us to confirm it.
-
保存緩沖液:Preservative: 0.03% Proclin 300
Constituents: 50% Glycerol, 0.01M PBS, PH 7.4 -
產品提供形式:Liquid
-
應用范圍:ELISA, IHC
-
推薦稀釋比:
Application Recommended Dilution IHC 1:20-1:200 -
Protocols:
-
儲存條件:Upon receipt, store at -20°C or -80°C. Avoid repeated freeze.
-
貨期:Basically, we can dispatch the products out in 1-3 working days after receiving your orders. Delivery time maybe differs from different purchasing way or location, please kindly consult your local distributors for specific delivery time.
-
用途:For Research Use Only. Not for use in diagnostic or therapeutic procedures.
相關產品
靶點詳情
-
功能:Probable substrate-specific adapter of a BCR (BTB-CUL3-RBX1) E3 ubiquitin-protein ligase complex mediating the ubiquitination and subsequent proteasomal degradation of target proteins. Promotes the ubiquitination of HDAC1; the function seems to depend on KCTD11:KCTD6 oligomerization. Can function as antagonist of the Hedgehog pathway by affecting the nuclear transfer of transcription factor GLI1; the function probably occurs via HDAC1 down-regulation, keeping GLI1 acetylated and inactive. Inhibits cell growth and tumorigenicity of medulloblastoma (MDB). Involved in regulating protein levels of ANK1 isoform Mu17 probably implicating CUL3-dependent proteasomal degradation.
-
基因功能參考文獻:
- A biophysical characterization of the POZ/BTB of KCTD6, is reported. PMID: 24307990
- Rescuing KCASHs expression reduces the Hedgehog-dependent medulloblastoma growth, suggesting that loss of members of this novel family of native HDAC inhibitors is crucial in sustaining Hh pathway-mediated tumorigenesis. PMID: 21472142
-
亞細胞定位:Cytoplasm, myofibril, sarcomere, M line.
-
組織特異性:Highly expressed in cerebellum and brain. Expression is down-regulated in medulloblastoma.
-
數據庫鏈接:
Most popular with customers
-
YWHAB Recombinant Monoclonal Antibody
Applications: ELISA, WB, IHC, IF, FC
Species Reactivity: Human, Mouse, Rat
-
Phospho-YAP1 (S127) Recombinant Monoclonal Antibody
Applications: ELISA, WB, IHC
Species Reactivity: Human
-
-
-
-
-
-















