KERA Antibody
-
中文名稱:KERA兔多克隆抗體
-
貨號:CSB-PA012149ESR1HU
-
規格:¥3900
-
圖片:
-
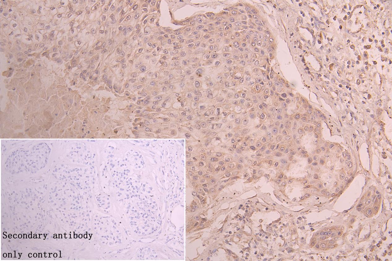
IHC image of CSB-PA012149ESR1HU diluted at 1:50 and staining in paraffin-embedded human pancreatic cancer performed on a Leica BondTM system. After dewaxing and hydration, antigen retrieval was mediated by high pressure in a citrate buffer (pH 6.0). Section was blocked with 10% normal goat serum 30min at RT. Then primary antibody (1% BSA) was incubated at 4°C overnight. The primary is detected by a Goat anti-rabbit polymer IgG labeled by HRP and visualized using 0.05% DAB. Secondary antibody only control: uses 1% BSA instead of primary antibody
-
-
其他:
產品詳情
-
產品名稱:Rabbit anti-Homo sapiens (Human) KERA Polyclonal antibody
-
Uniprot No.:
-
基因名:KERA
-
別名:CNA2 antibody; KERA antibody; KERA_HUMAN antibody; Keratan sulfate proteoglycan keratocan antibody; Keratocan antibody; KTN antibody; SLRR2B antibody
-
宿主:Rabbit
-
反應種屬:Human
-
免疫原:Recombinant Human Keratocan protein (21-352AA)
-
免疫原種屬:Homo sapiens (Human)
-
克隆類型:Polyclonal
-
抗體亞型:IgG
-
純化方式:Antigen Affinity Purified
-
濃度:It differs from different batches. Please contact us to confirm it.
-
保存緩沖液:PBS with 0.02% sodium azide, 50% glycerol, pH7.3.
-
產品提供形式:Liquid
-
應用范圍:ELISA, IHC
-
推薦稀釋比:
Application Recommended Dilution IHC 1:50-1:100 -
Protocols:
-
儲存條件:Upon receipt, store at -20°C or -80°C. Avoid repeated freeze.
-
貨期:Basically, we can dispatch the products out in 1-3 working days after receiving your orders. Delivery time maybe differs from different purchasing way or location, please kindly consult your local distributors for specific delivery time.
-
用途:For Research Use Only. Not for use in diagnostic or therapeutic procedures.
相關產品
靶點詳情
-
功能:May be important in developing and maintaining corneal transparency and for the structure of the stromal matrix.
-
基因功能參考文獻:
- We expand the phenotypic spectrum of biallelic KERA mutations in this report of a boy with juvenile corneal ectasia who was found to harbor an underlying novel homozygous mutation in the gene. PMID: 28799822
- KERA mutation c.740A>G has been identified to date in three different populations, which makes it the most frequently occurring mutation in patients with cornea plana PMID: 28677912
- The mutation that we report here leads to the deletion of a conserved amino acid (p.Phe125del) from the third LRR motif of the keratocan protein, which might lead to an abnormal tertiary structure of the protein, thereby leading to the disease. PMID: 25967529
- a novel KERA variant, p.(Ile225Thr), was detected that segregates with Cornea plana in the homozygous form. PMID: 26099342
- Corneal endothelial disorders were found with compound mutations in KERA PMID: 23834557
- rare variant in KERA was identified in a large kindred with premature atherosclerosis PMID: 24879339
- Linkage and haplotype analyses identified 12q21.33 as a locus for posterior amorphous corneal dystrophy. However, no mutations were identified in the candidate genes (KERA, LUM, DCN, EPYC) within this region. PMID: 20357198
- KERA mutation is associated with autosomal recessive cornea plana PMID: 15370545
- This is the first report of the identification of a mutation within KERA in a family of Hispanic origin with autosomal recessive cornea plana. PMID: 16157807
- No evidence that endothelial dysfunction and germline mutation of lumican and keratocan genes participate in the etiology of subepithelial corneal haze. PMID: 16760896
- Specific for mutation in KERA, the ophthalmic phenotype of recessive cornea plana does not significantly vary with different KERA mutations. PMID: 17011957
- In addition, no pathogenic sequence variations were found in DCN, DSPG3, LUM, PITX2 and FOXC1, which have also been implicated in corneal and anterior segment dysgenesis. PMID: 17558846
- This is the first description of recessive cornea plana in a white British family and it is the second report on the p.N247S change in the KERA gene. PMID: 17679937
- Multiple core-protein species were detected for decorin, biglycan, lumican and keratocan in the degenerate osteoarthritic articular cartilage and menisci. PMID: 18620607
顯示更多
收起更多
-
相關疾病:Cornea plana 2, autosomal recessive (CNA2)
-
亞細胞定位:Secreted, extracellular space, extracellular matrix.
-
蛋白家族:Small leucine-rich proteoglycan (SLRP) family, SLRP class II subfamily
-
組織特異性:Cornea (at protein level). Increased expression in the stroma of keratoconus corneas. Also detected in trachea, and in low levels, in intestine, skeletal muscle, ovary, lung and putamen.
-
數據庫鏈接:
Most popular with customers
-
-
YWHAB Recombinant Monoclonal Antibody
Applications: ELISA, WB, IHC, IF, FC
Species Reactivity: Human, Mouse, Rat
-
Phospho-YAP1 (S127) Recombinant Monoclonal Antibody
Applications: ELISA, WB, IHC
Species Reactivity: Human
-
-
-
-
-















