KHK Antibody
-
中文名稱:KHK兔多克隆抗體
-
貨號:CSB-PA012157ESR1HU
-
規格:¥440
-
圖片:
-
Western blot
All lanes: KHKantibody at 3.6μg/ml
Lane 1: Mouse liver tissue
Lane 2: Mouse kidney tissue
Lane 3: Rat kidney tissue
Secondary
Goat polyclonal to rabbit IgG at 1/10000 dilution
Predicted band size: 33 kDa
Observed band size: 33 kDa -
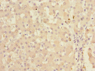
Immunohistochemistry of paraffin-embedded human liver tissue using CSB-PA012157ESR1HU at dilution of 1:100
-
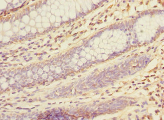
Immunohistochemistry of paraffin-embedded human colon cancer using CSB-PA012157ESR1HU at dilution of 1:100
-
Immunoprecipitating KHK in Mouse liver tissue
Lane 1: Rabbit control IgG instead of CSB-PA012157ESR1HU in Mouse liver tissue. For western blotting, a HRP-conjugated Protein G antibody was used as the secondary antibody (1/2000)
Lane 2: CSB-PA012157ESR1HU (8μg) + Mouse liver tissue (500μg)
Lane 3: Mouse liver tissue (10μg)
-
-
其他:
產品詳情
-
產品名稱:Rabbit anti-Homo sapiens (Human) KHK Polyclonal antibody
-
Uniprot No.:
-
基因名:KHK
-
別名:EC 2.7.1.3 antibody; Fructokinase antibody; Hepatic fructokinase antibody; Ketohexokinase antibody; Ketohexokinase isoform a antibody; KHK antibody; KHK_HUMAN antibody
-
宿主:Rabbit
-
反應種屬:Human, Mouse, Rat
-
免疫原:Recombinant Human Ketohexokinase protein (1-298AA)
-
免疫原種屬:Homo sapiens (Human)
-
標記方式:Non-conjugated
-
克隆類型:Polyclonal
-
抗體亞型:IgG
-
純化方式:Antigen Affinity Purified
-
濃度:It differs from different batches. Please contact us to confirm it.
-
保存緩沖液:PBS with 0.02% sodium azide, 50% glycerol, pH7.3.
-
產品提供形式:Liquid
-
應用范圍:ELISA, WB, IHC, IP
-
推薦稀釋比:
Application Recommended Dilution WB 1:1000-1:5000 IHC 1:20-1:200 IP 1:200-1:2000 -
Protocols:
-
儲存條件:Upon receipt, store at -20°C or -80°C. Avoid repeated freeze.
-
貨期:Basically, we can dispatch the products out in 1-3 working days after receiving your orders. Delivery time maybe differs from different purchasing way or location, please kindly consult your local distributors for specific delivery time.
-
用途:For Research Use Only. Not for use in diagnostic or therapeutic procedures.
相關產品
靶點詳情
-
功能:Catalyzes the phosphorylation of the ketose sugar fructose to fructose-1-phosphate.
-
基因功能參考文獻:
- Data indicate metabolic enzymes NAD kinase and ketohexokinase as candidate metabolic gene targets, and the chromatin remodeling protein INO80C as a tumor suppressor in KRAS(MUT) colorectal tumor xenograft. PMID: 28954733
- Angelica archangelica, Garcinia mangostana, Petroselinum crispum, and Scutellaria baicalensis were the top four botanical candidiates identified with inhibitory activity against ketohexokinase-C. PMID: 27322374
- compared with normal hepatocytes, hepatocellular carcinoma (HCC) cells markedly reduce the rate of fructose metabolism and the level of reactive oxygen species, as a result of a c-Myc-dependent and heterogeneous nuclear ribonucleoprotein (hnRNP) H1- and H2-mediated switch from expression of the high-activity fructokinase (KHK)-C to the low-activity KHK-A isoform. PMID: 27088854
- myocardial hypoxia actuates fructose metabolism in human and mouse models of pathological cardiac hypertrophy through hypoxia-inducible factor 1alpha (HIF1alpha) activation of SF3B1 and SF3B1-mediated splice switching of KHK-A to KHK-C PMID: 26083752
- These studies identify fructokinase as a novel mediator of diabetic nephropathy and document a novel role for endogenous fructose production, or fructoneogenesis, in driving renal disease. PMID: 24876114
- This study determined if single nucleotide polymorphisms in genes involved in fructose transport,SLC2A2 and SLC2A5 and metabolism, etohexokinase affect inter-individual variability in metabolic phenotypes. PMID: 23341889
- In human hepatocytes uric acid up-regulates KHK expression thus leading to the amplification of the lipogenic effects of fructose. PMID: 23112875
- ketohexokinase-A serves an unknown physiologic function that remains intact in essential fructosuria. PMID: 12941785
- The expression of ketohexokinase is diminished in human clear cell type of renal cell carcinoma PMID: 16372272
- Ketohexokinase-dependent metabolism of fructose induces proinflammatory mediators in proximal tubular cells. PMID: 19158351
- The structure of the KHK-A ternary complex revealed an active site with fructose & the ATP analogue in positions ready for phosphorylation. The effects of the pathogenic mutations Gly40Arg & Ala43Thr have been modelled in the context of the KHK structure. PMID: 19237742
顯示更多
收起更多
-
相關疾病:Fructosuria (FRUCT)
-
蛋白家族:Carbohydrate kinase PfkB family
-
組織特異性:Most abundant in liver, kidney, gut, spleen and pancreas. Low levels also found in adrenal, muscle, brain and eye.
-
數據庫鏈接:
Most popular with customers
-
YWHAB Recombinant Monoclonal Antibody
Applications: ELISA, WB, IHC, IF, FC
Species Reactivity: Human, Mouse, Rat
-
Phospho-YAP1 (S127) Recombinant Monoclonal Antibody
Applications: ELISA, WB, IHC
Species Reactivity: Human
-
-
-
-
-
-
VDAC1 Recombinant Monoclonal Antibody
Applications: ELISA, WB, IHC
Species Reactivity: Human, Mouse, Rat















