KIF1C Antibody
-
中文名稱:KIF1C兔多克隆抗體
-
貨號:CSB-PA175695
-
規格:¥1100
-
圖片:
-
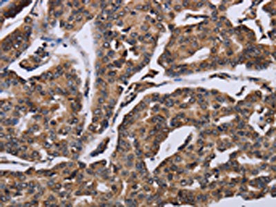
The image on the left is immunohistochemistry of paraffin-embedded Human breast cancer tissue using CSB-PA175695(KIF1C Antibody) at dilution 1/60, on the right is treated with fusion protein. (Original magnification: ×200)
-
The image on the left is immunohistochemistry of paraffin-embedded Human sarcoma tissue using CSB-PA175695(KIF1C Antibody) at dilution 1/60, on the right is treated with fusion protein. (Original magnification: ×200)
-
Gel: 6%SDS-PAGE, Lysate: 40 μg, Lane: A549 cells, Primary antibody: CSB-PA175695(KIF1C Antibody) at dilution 1/200, Secondary antibody: Goat anti rabbit IgG at 1/8000 dilution, Exposure time: 20 seconds
-
-
其他:
產品詳情
-
Uniprot No.:
-
基因名:KIF1C
-
別名:Kif1c antibody; KIF1C_HUMAN antibody; Kinesin family member 1C antibody; Kinesin-like protein KIF1C antibody; LTXS1 antibody
-
宿主:Rabbit
-
反應種屬:Human,Mouse,Rat
-
免疫原:Fusion protein of Human KIF1C
-
免疫原種屬:Homo sapiens (Human)
-
標記方式:Non-conjugated
-
抗體亞型:IgG
-
純化方式:Antigen affinity purification
-
濃度:It differs from different batches. Please contact us to confirm it.
-
保存緩沖液:-20°C, pH7.4 PBS, 0.05% NaN3, 40% Glycerol
-
產品提供形式:Liquid
-
應用范圍:ELISA,WB,IHC
-
推薦稀釋比:
Application Recommended Dilution ELISA 1:1000-1:2000 WB 1:200-1:1000 IHC 1:50-1:200 -
Protocols:
-
儲存條件:Upon receipt, store at -20°C or -80°C. Avoid repeated freeze.
-
貨期:Basically, we can dispatch the products out in 1-3 working days after receiving your orders. Delivery time maybe differs from different purchasing way or location, please kindly consult your local distributors for specific delivery time.
-
用途:For Research Use Only. Not for use in diagnostic or therapeutic procedures.
相關產品
靶點詳情
-
功能:Motor required for the retrograde transport of Golgi vesicles to the endoplasmic reticulum. Has a microtubule plus end-directed motility.
-
基因功能參考文獻:
- Hereditary spastic paraplegia (HSP) patients with KIF1C mutations may present with cerebellar signs and pyramidal findings may emerge later, therefore complicated HSP should be considered in the differential diagnosis of unidentified cases with cerebellar dysfunction. PMID: 29544888
- Rab6A binding to KIF1C's motor domain represents an entirely new mode of regulation for a kinesin motor, and likely has important consequences for KIF1C's cellular functions. PMID: 25821985
- KIF1C translocation to the cell periphery intensifies and KIF1C accumulates both in the proximity of peripheral microtubules that show enrichment for the plus-tip-associated proteins CLASPs and around podosomes. PMID: 25344256
- Microtubule acetylation influences the subcellular distribution of vesicles associated with the kinesin KIF1C, as well as their directionality, velocity and run length. PMID: 25151635
- Nonsense and missense mutations in the KIF1C gene associated with hereditary spastic paraparesis and cerebellar dysfunction. PMID: 24319291
- Identification of KIF1C as an hereditary spastic paraplegia gene supports the key role of intracellular trafficking processes in the pathogenesis of hereditary axonopathies. PMID: 24808017
- findings show that the microtubule motor Kif1C contributes to persistent cell migration primarily through stabilization of an extended cell rearKif1C-mediated transport of alpha5beta1-integrins is required for the proper maturation of trailing focal adhesions and resistance to tail retraction PMID: 23237952
- Hairpin RNA-based depletion of KIF1C resulted in decreased podosome dynamics and ultimately in podosome deficiency. PMID: 16554367
顯示更多
收起更多
-
相關疾病:Spastic ataxia 2, autosomal recessive (SPAX2)
-
亞細胞定位:Cytoplasm, cytoskeleton.
-
蛋白家族:TRAFAC class myosin-kinesin ATPase superfamily, Kinesin family, Unc-104 subfamily
-
組織特異性:Expressed in all tissues examined, with most abundant expression in heart and skeletal muscle.
-
數據庫鏈接:
Most popular with customers
-
-
YWHAB Recombinant Monoclonal Antibody
Applications: ELISA, WB, IHC, IF, FC
Species Reactivity: Human, Mouse, Rat
-
Phospho-YAP1 (S127) Recombinant Monoclonal Antibody
Applications: ELISA, WB, IHC
Species Reactivity: Human
-
-
-
-
-















