KIF21B Antibody
-
中文名稱:KIF21B兔多克隆抗體
-
貨號:CSB-PA012324LA01HU
-
規格:¥440
-
圖片:
-
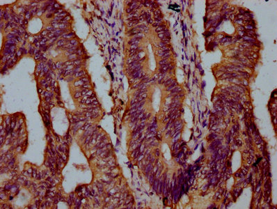
IHC image of CSB-PA012324LA01HU diluted at 1:300 and staining in paraffin-embedded human colon cancer performed on a Leica BondTM system. After dewaxing and hydration, antigen retrieval was mediated by high pressure in a citrate buffer (pH 6.0). Section was blocked with 10% normal goat serum 30min at RT. Then primary antibody (1% BSA) was incubated at 4°C overnight. The primary is detected by a biotinylated secondary antibody and visualized using an HRP conjugated SP system.
-
-
其他:
產品詳情
-
產品名稱:Rabbit anti-Homo sapiens (Human) KIF21B Polyclonal antibody
-
Uniprot No.:
-
基因名:KIF21B
-
別名:KI21B_HUMAN antibody; KIAA0449 antibody; KIF21B antibody; Kinesin-like protein KIF21B antibody
-
宿主:Rabbit
-
反應種屬:Human
-
免疫原:Recombinant Human Kinesin-like protein KIF21B protein (829-986AA)
-
免疫原種屬:Homo sapiens (Human)
-
標記方式:Non-conjugated
本頁面中的產品,KIF21B Antibody (CSB-PA012324LA01HU),的標記方式是Non-conjugated。對于KIF21B Antibody,我們還提供其他標記。見下表:
-
克隆類型:Polyclonal
-
抗體亞型:IgG
-
純化方式:>95%, Protein G purified
-
濃度:It differs from different batches. Please contact us to confirm it.
-
保存緩沖液:Preservative: 0.03% Proclin 300
Constituents: 50% Glycerol, 0.01M PBS, pH 7.4 -
產品提供形式:Liquid
-
應用范圍:ELISA, IHC
-
推薦稀釋比:
Application Recommended Dilution IHC 1:200-1:500 -
Protocols:
-
儲存條件:Upon receipt, store at -20°C or -80°C. Avoid repeated freeze.
-
貨期:Basically, we can dispatch the products out in 1-3 working days after receiving your orders. Delivery time maybe differs from different purchasing way or location, please kindly consult your local distributors for specific delivery time.
-
用途:For Research Use Only. Not for use in diagnostic or therapeutic procedures.
相關產品
靶點詳情
-
功能:Plus-end directed microtubule-dependent motor protein which displays processive activity. Is involved in regulation of microtubule dynamics, synapse function and neuronal morphology, including dendritic tree branching and spine formation. Plays a role in lerning and memory. Involved in delivery of gamma-aminobutyric acid (GABA(A)) receptor to cell surface.
-
基因功能參考文獻:
- Thus, KIF21B combines microtubule-binding and regulatory activities that together constitute an autonomous microtubule pausing factor. PMID: 28290984
- KIF21B is associated with ankylosing spondylitis in a Chinese population of Shandong Province PMID: 25149646
- KIF21B may play an important role in the pathogenesis of AS in the Chinese population and might be a new therapeutic target for AS. PMID: 24065353
- Data show the association of SNPs in KIF21B with multiple sclerosis in a Belgian study population. PMID: 20587413
- Comprehensive follow-up of the first genome-wide association study of multiple sclerosis identifies KIF21B as susceptibility loci PMID: 20007504
顯示更多
收起更多
-
亞細胞定位:Cytoplasm, cytoskeleton. Cell projection, dendrite. Cell projection, growth cone. Cell projection, axon. Cytoplasmic vesicle.
-
蛋白家族:TRAFAC class myosin-kinesin ATPase superfamily, Kinesin family
-
數據庫鏈接:
Most popular with customers
-
-
YWHAB Recombinant Monoclonal Antibody
Applications: ELISA, WB, IHC, IF, FC
Species Reactivity: Human, Mouse, Rat
-
Phospho-YAP1 (S127) Recombinant Monoclonal Antibody
Applications: ELISA, WB, IHC
Species Reactivity: Human
-
-
-
-
-















