KIFC3 Antibody
-
中文名稱:KIFC3兔多克隆抗體
-
貨號:CSB-PA887134ESR1HU
-
規格:¥440
-
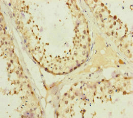
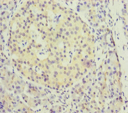
圖片:
-
其他:
產品詳情
-
產品名稱:Rabbit anti-Homo sapiens (Human) KIFC3 Polyclonal antibody
-
Uniprot No.:
-
基因名:KIFC3
-
別名:DKFZp686D23201 antibody; FLJ34694 antibody; Kifc3 antibody; KIFC3_HUMAN antibody; Kinesin family member C3 antibody; Kinesin-like protein KIFC3 antibody
-
宿主:Rabbit
-
反應種屬:Human
-
免疫原:Recombinant Human Kinesin-like protein KIFC3 protein (140-390AA)
-
免疫原種屬:Homo sapiens (Human)
-
標記方式:Non-conjugated
-
克隆類型:Polyclonal
-
抗體亞型:IgG
-
純化方式:Antigen Affinity Purified
-
濃度:It differs from different batches. Please contact us to confirm it.
-
保存緩沖液:PBS with 0.02% sodium azide, 50% glycerol, pH7.3.
-
產品提供形式:Liquid
-
應用范圍:ELISA, IHC
-
推薦稀釋比:
Application Recommended Dilution IHC 1:20-1:200 -
Protocols:
-
儲存條件:Upon receipt, store at -20°C or -80°C. Avoid repeated freeze.
-
貨期:Basically, we can dispatch the products out in 1-3 working days after receiving your orders. Delivery time maybe differs from different purchasing way or location, please kindly consult your local distributors for specific delivery time.
-
用途:For Research Use Only. Not for use in diagnostic or therapeutic procedures.
相關產品
靶點詳情
-
功能:Minus-end microtubule-dependent motor protein. Involved in apically targeted transport. Required for zonula adherens maintenance.
-
基因功能參考文獻:
- Data indicate that E-cadherin ubiquitination consistently increases after depletion of kinesin-like protein KIFC3 or ubiquitin-specific protease USP47. PMID: 25253721
- KIFC3 may guide free microtubules to their destination at the bridge and/or may slide and crosslink central bridge microtubules in order to stage the cells for abscission. PMID: 24275865
- KifC3 may play a regulatory role in minus-end directed peroxisomal transport for example by blocking the motor function of dynein at peroxisomes. PMID: 23954441
- High expression of KIFC3 is associated with docetaxel resistance in breast cancer. PMID: 19789344
-
亞細胞定位:Cell junction, adherens junction. Cytoplasm, cytoskeleton, microtubule organizing center, centrosome. Cytoplasmic vesicle membrane; Peripheral membrane protein.
-
蛋白家族:TRAFAC class myosin-kinesin ATPase superfamily, Kinesin family
-
數據庫鏈接:
Most popular with customers
-
-
YWHAB Recombinant Monoclonal Antibody
Applications: ELISA, WB, IHC, IF, FC
Species Reactivity: Human, Mouse, Rat
-
Phospho-YAP1 (S127) Recombinant Monoclonal Antibody
Applications: ELISA, WB, IHC
Species Reactivity: Human
-
-
-
-
-















