KIZ Antibody
-
中文名稱:KIZ兔多克隆抗體
-
貨號:CSB-PA644808ESR2HU
-
規格:¥440
-
圖片:
-
Western blot
All lanes: KIZ antibody at 2.89µg/ml
Lane 1: HepG2 whole cell lysate
Lane 2: A549 whole cell lysate
Lane 3: CEM whole cell lysate
Lane 4: Hela whole cell lysate
Lane 5: Jurkat whole cell lysate
Lane 6: 293T whole cell lysate
Secondary
Goat polyclonal to rabbit IgG at 1/10000 dilution
Predicted band size: 76, 63, 70, 74, 60 kDa
Observed band size: 76 kDa -
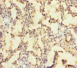
Immunohistochemistry of paraffin-embedded human lung tissue using CSB-PA644808ESR2HU at dilution of 1:100
-
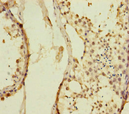
Immunohistochemistry of paraffin-embedded human testis tissue using CSB-PA644808ESR2HU at dilution of 1:100
-
-
其他:
產品詳情
-
產品名稱:Rabbit anti-Homo sapiens (Human) KIZ Polyclonal antibody
-
Uniprot No.:
-
基因名:KIZ
-
別名:Centrosomal protein kizuna antibody; DKFZP586H021 antibody; HT013 antibody; Kiz antibody; KIZ_HUMAN antibody; KIZUNA antibody; MGC102941 antibody; MGC141930 antibody; NCRNA00153 antibody; Plk1s1 antibody; Polo-like kinase 1 substrate 1 antibody; Uncharacterized protein C20orf19 antibody
-
宿主:Rabbit
-
反應種屬:Human
-
免疫原:Recombinant Human Centrosomal protein kizuna protein (1-240AA)
-
免疫原種屬:Homo sapiens (Human)
-
標記方式:Non-conjugated
-
克隆類型:Polyclonal
-
抗體亞型:IgG
-
純化方式:Antigen Affinity Purified
-
濃度:It differs from different batches. Please contact us to confirm it.
-
保存緩沖液:PBS with 0.02% sodium azide, 50% glycerol, pH7.3.
-
產品提供形式:Liquid
-
應用范圍:ELISA, WB, IHC
-
推薦稀釋比:
Application Recommended Dilution WB 1:1000-1:5000 IHC 1:20-1:200 -
Protocols:
-
儲存條件:Upon receipt, store at -20°C or -80°C. Avoid repeated freeze.
-
貨期:Basically, we can dispatch the products out in 1-3 working days after receiving your orders. Delivery time maybe differs from different purchasing way or location, please kindly consult your local distributors for specific delivery time.
-
用途:For Research Use Only. Not for use in diagnostic or therapeutic procedures.
相關產品
靶點詳情
-
功能:Centrosomal protein required for establishing a robust mitotic centrosome architecture that can endure the forces that converge on the centrosomes during spindle formation. Required for stabilizing the expanded pericentriolar material around the centriole.
-
基因功能參考文獻:
- Kiz phosphorylation depends on a balance between CDC25B and Plk1 activities. PMID: 25558830
- Immunohistology revealed KIZ localization at the basal body of the cilia in human fibroblasts, thus shedding light on another ciliary protein implicated in autosomal-recessive RCD PMID: 24680887
-
相關疾病:Retinitis pigmentosa 69 (RP69)
-
亞細胞定位:Cytoplasm, cytoskeleton, microtubule organizing center, centrosome. Cytoplasm, cytoskeleton, cilium basal body.
-
蛋白家族:Kizuna family
-
數據庫鏈接:
Most popular with customers
-
-
YWHAB Recombinant Monoclonal Antibody
Applications: ELISA, WB, IHC, IF, FC
Species Reactivity: Human, Mouse, Rat
-
Phospho-YAP1 (S127) Recombinant Monoclonal Antibody
Applications: ELISA, WB, IHC
Species Reactivity: Human
-
-
-
-
-















