KLF11 Antibody
-
中文名稱:KLF11兔多克隆抗體
-
貨號:CSB-PA012385LA01HU
-
規格:¥440
-
圖片:
-
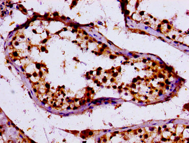
IHC image of CSB-PA012385LA01HU diluted at 1:100 and staining in paraffin-embedded human testis tissue performed on a Leica BondTM system. After dewaxing and hydration, antigen retrieval was mediated by high pressure in a citrate buffer (pH 6.0). Section was blocked with 10% normal goat serum 30min at RT. Then primary antibody (1% BSA) was incubated at 4°C overnight. The primary is detected by a biotinylated secondary antibody and visualized using an HRP conjugated SP system.
-
-
其他:
產品詳情
-
產品名稱:Rabbit anti-Homo sapiens (Human) KLF11 Polyclonal antibody
-
Uniprot No.:
-
基因名:KLF11
-
別名:9830142A17 antibody; D12Ertd427e antibody; FKLF antibody; FKLF1 antibody; Klf11 antibody; KLF11_HUMAN antibody; Krueppel like factor 11 antibody; Krueppel-like factor 11 antibody; Krueppel-like transcription factor 1 antibody; MODY7 antibody; Tcfcp2l2 antibody; TGFB Early Growth Response 2 antibody; TGFB-inducible early growth response protein 2 antibody; TGFB-inducible early growth response protein 2b antibody; TGFB-inducible early growth response protein 3 antibody; TIEG 2 antibody; TIEG-2 antibody; TIEG-3 antibody; Tieg2b antibody; Transforming Growth Factor Beta Inducible Early Growth Response 2 antibody; Transforming growth factor-beta-inducible early growth response protein 2 antibody; Transforming growth factor-beta-inducible early growth response protein 3 antibody
-
宿主:Rabbit
-
反應種屬:Human
-
免疫原:Recombinant Human Krueppel-like factor 11 protein (107-205AA)
-
免疫原種屬:Homo sapiens (Human)
-
標記方式:Non-conjugated
本頁面中的產品,KLF11 Antibody (CSB-PA012385LA01HU),的標記方式是Non-conjugated。對于KLF11 Antibody,我們還提供其他標記。見下表:
-
克隆類型:Polyclonal
-
抗體亞型:IgG
-
純化方式:>95%, Protein G purified
-
濃度:It differs from different batches. Please contact us to confirm it.
-
保存緩沖液:Preservative: 0.03% Proclin 300
Constituents: 50% Glycerol, 0.01M PBS, pH 7.4 -
產品提供形式:Liquid
-
應用范圍:ELISA, IHC
-
推薦稀釋比:
Application Recommended Dilution IHC 1:20-1:200 -
Protocols:
-
儲存條件:Upon receipt, store at -20°C or -80°C. Avoid repeated freeze.
-
貨期:Basically, we can dispatch the products out in 1-3 working days after receiving your orders. Delivery time maybe differs from different purchasing way or location, please kindly consult your local distributors for specific delivery time.
-
用途:For Research Use Only. Not for use in diagnostic or therapeutic procedures.
相關產品
靶點詳情
-
功能:Transcription factor. Activates the epsilon- and gamma-globin gene promoters and, to a much lower degree, the beta-globin gene and represses promoters containing SP1-like binding inhibiting cell growth. Represses transcription of SMAD7 which enhances TGF-beta signaling. Induces apoptosis.
-
基因功能參考文獻:
- Profibrotic gene expression was activated in a primary human peritoneal cell line in response to KLF11 short hairpin RNA and medroxyprogesterone acetate but not estradiol. PMID: 28938437
- In endometrial-stromal fibroblasts, KLF11 recruited SIN3A/HDAC (histone deacetylase), resulting in COL1A1-promoter deacetylation and repression PMID: 26935598
- Results suggest a role for KLF11 in upregulating MAO-A in depressive disorder and chronic social stress, suggesting that inhibition of the pathways regulated by this transcription factor may aid in the therapeutics of neuropsychiatric illnesses PMID: 25502632
- The data suggest a relationship between promoter DNA methylation and KLF11 gene expression in ovarian cancer tumorigenesis. PMID: 25931269
- identified an evolutionarily conserved metabolic regulator, Kruppel-like factor 11 (KLF11), as a novel browning transcription factor in human adipocytes that is required for rosiglitazone-induced browning. PMID: 25504365
- KLF11 repressed most endometrial CYP enzymes PMID: 25076120
- Levels of KLF11 are significantly increased in the postmortem prefrontal cortex of subjects with alcohol dependence compared to controls. PMID: 23915421
- KLF11 regulates distinct gene networks. PMID: 24885560
- KLF111 represses glycodelin-A levels and influences its role in the ovarian endometrium. PMID: 24060634
- KLF11 is a critical transcription factor in the function of mesenchymal cells and, specifically, as a negative regulator of collagen secretion. PMID: 24069400
- Data identify a novel pathogenic role for KLF11 in preventing de novo disease-associated fibrosis in endometriosis. PMID: 23555910
- The A347S mutation disrupted KLF11-mediated increases in basal insulin levels and promoter activity and blunted glucose-stimulated insulin secretion. PMID: 23589285
- Data indicate that median methylation levels of BCAN, HOXD1, KCTD8, KLF11, NXPH1, POU4F1, SIM1, and TCF7L1 were >/=30% higher than in normal samples, representing potential biomarkers for tumor diagnosis. PMID: 22930747
- KLF11 has a role in fine-tuning insulin transcription in certain cellular situations rather than representing a major transcriptional activator or repressor of the insulin gene. PMID: 22801105
- Kruppel-like factor-11, a transcription factor involved in diabetes mellitus, suppresses endothelial cell activation via the nuclear factor-kappaB signaling pathway. PMID: 23042817
- KLF11 is an MAO A regulator and is produced in response to neuronal stress, which transcriptionally activates MAO A. PMID: 22628545
- Here we report the characterization of two antagonistic, chromatin-mediated mechanisms by which KLF11 regulated the transcription of the dopamine D2 receptor. PMID: 22375010
- A PXVXL HP1-interacting domain identified at position 487-491 of KLF11 mediates the binding of HP1alpha and KLF11 in vitro and in cultured cells. PMID: 22318730
- an important role for KLF11 in the regulation of INS transcription via the novel c.-331 KLF site. PMID: 21592955
- epigenetic inactivation and subsequent transcriptional repression of the KLF11 gene is quite frequent in MDS. PMID: 20002157
- Kruppel-like factor 11 has a role in the regulation of prostaglandin E2 biosynthesis PMID: 20154088
- KLF11 is an integrator of progesterone receptor signaling and proliferation in uterine leiomyoma cells. PMID: 20124487
- TIEG2 is an activator of Monoamine oxidase B gene expression. PMID: 15024015
- novel mechanism in TGF-beta-regulated gene expression: KLF11 potentiates Smad-signaling activity in normal epithelial cells through termination of the negative feedback loop imposed by Smad7. PMID: 15300592
- in the presence of cholesterol, KLF11 acts as a dominant repressor of the caveolin-1 gene PMID: 15531587
- KLF11 plays a role in the regulation of pancreatic beta cell physiology, and its variants may contribute to the development of diabetes. PMID: 15774581
- These results suggest a central role for KLF11 in TGFbeta-induced c-myc repression and antiproliferation. PMID: 17114344
- KLF11 A347S and T220M mutations do not contribute to increased risk of diabetes in European-derived populations. PMID: 17130512
- results may help to increase the understanding of Tieg3-mediated transcriptional control and to characterize this TGF-beta-induced Sp1/Klf-like transcription factor PMID: 17252542
- TIEG2 decreases the levels of the anti-apoptotic protein Bcl-X(L) and inhibits transcription driven by the Bcl-X(L) promoter. PMID: 17308981
- Kruppel-like factor 11 inhibits human proinsulin promoter activity in pancreatic beta cells PMID: 17479246
- KLF11 may interfere with glucose homeostasis in a Danish general population and that STAT3-mediated up-regulation of KLF11 transcription was impaired by the -1659G>C variant. PMID: 18505768
- KLF11 is unlikely to play a major role in the etiology of T2 diabetes among this Native American population. PMID: 18593768
- 19 polymorphisms, 6 of which are novel, were identified, but none of them showed association with type 2 diabetes. Functional analyses of these variants showed reduced effects on transcriptional activities of insulin, catalase1, & the Smad7 gene. PMID: 19122346
- MODY7 gene, KLF11, is a novel p300-dependent regulator of Pdx-1 (MODY4) transcription in pancreatic islet beta cells. PMID: 19843526
顯示更多
收起更多
-
相關疾病:Maturity-onset diabetes of the young 7 (MODY7)
-
亞細胞定位:Nucleus.
-
蛋白家族:Sp1 C2H2-type zinc-finger protein family
-
組織特異性:Ubiquitous. Higher expression in erythroid cells.
-
數據庫鏈接:
Most popular with customers
-
-
YWHAB Recombinant Monoclonal Antibody
Applications: ELISA, WB, IHC, IF, FC
Species Reactivity: Human, Mouse, Rat
-
Phospho-YAP1 (S127) Recombinant Monoclonal Antibody
Applications: ELISA, WB, IHC
Species Reactivity: Human
-
-
-
-
-















