KLK10 Antibody
-
中文名稱:KLK10兔多克隆抗體
-
貨號:CSB-PA012447ESR1HU
-
規格:¥440
-
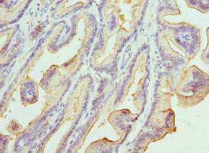
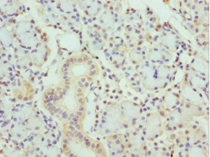
圖片:
-
其他:
產品詳情
-
產品名稱:Rabbit anti-Homo sapiens (Human) KLK10 Polyclonal antibody
-
Uniprot No.:
-
基因名:KLK10
-
別名:Breast normal epithelial cell associated serine protease antibody; Kallikrein related peptidase 10 antibody; Kallikrein-10 antibody; Kallikrein10 antibody; KLK 10 antibody; KLK10 antibody; KLK10_HUMAN antibody; NES 1 antibody; NES1 antibody; Normal epithelial cell specific 1 antibody; Normal epithelial cell-specific 1 antibody; Protease serine like 1 antibody; Protease serine-like 1 antibody; PRSS L1 antibody; PRSSL 1 antibody; PRSSL1 antibody
-
宿主:Rabbit
-
反應種屬:Human
-
免疫原:Recombinant Human Kallikrein-10 protein (35-276AA)
-
免疫原種屬:Homo sapiens (Human)
-
標記方式:Non-conjugated
-
克隆類型:Polyclonal
-
抗體亞型:IgG
-
純化方式:Antigen Affinity Purified
-
濃度:It differs from different batches. Please contact us to confirm it.
-
保存緩沖液:PBS with 0.02% sodium azide, 50% glycerol, pH7.3.
-
產品提供形式:Liquid
-
應用范圍:ELISA, IHC
-
推薦稀釋比:
Application Recommended Dilution IHC 1:20-1:200 -
Protocols:
-
儲存條件:Upon receipt, store at -20°C or -80°C. Avoid repeated freeze.
-
貨期:Basically, we can dispatch the products out in 1-3 working days after receiving your orders. Delivery time maybe differs from different purchasing way or location, please kindly consult your local distributors for specific delivery time.
-
用途:For Research Use Only. Not for use in diagnostic or therapeutic procedures.
相關產品
靶點詳情
-
功能:Has a tumor-suppressor role for NES1 in breast and prostate cancer.
-
基因功能參考文獻:
- MiR-199b-5p promotes cell proliferation, migration and suppresses apoptosis in cervical cancer cells. KLK10 is a direct target of miR-199b-5p. MiR-199b-5p expression is increased and positively correlated with KI-67 in human cervical cancer tissues and cell lines. PMID: 29807015
- blockade of KLK10 attenuates epithelial-mesenchymal transition and activation of FAK-SRC-ERK signaling, which explains the mechanism of KLK10 in promoting metastasis. PMID: 29621546
- To the best of our knowledge, this is the first report on KLK10 exon 3 unmethylated PCR product concentration as potential early epigenetic diagnostic marker in primary ovarian tumors. PMID: 29690914
- KLK10 was verified to be a potential therapeutic target for reversing trastuzumab resistance in breast cancer cells. PMID: 27825132
- Pronounced correlations between KLK10/KLK11 (rs = 0.647) and between KLK9/KLK15 (rs = 0.716) mRNA, but not between other combinations, indicate coordinate expression of distinct pairs of peptidases PMID: 29095848
- identification and molecular cloning of eight novel transcripts of the human KLK10 gene using 3' rapid amplification of cDNA ends (3' RACE) and next-generation sequencing (NGS), as well as their expression analysis in a wide panel of cell lines, originating from several distinct cancerous and normal tissues PMID: 28419837
- Data suggest that mature KLK9 (kallikrein 9) is a glycosylated chymotrypsin-like enzyme with strong preference for tyrosine over phenylalanine at P1 cleavage position; substrate specificity of KLK9 appears to extend to KLK10 and midkine; enzyme activity is enhanced by Mg2+ and Ca2+, but is reversibly attenuated by Zn2+; KLK9 is inhibited in vitro by many naturally occurring or synthetic protease inhibitors. PMID: 28559305
- KLK10 potentially plays a crucial role in esophageal cancer cell growth. PMID: 26479703
- KLK10 may function as a tumour suppressor by repressing proliferation, enhancing apoptosis and decreasing glucose metabolism in PC3 cells. PMID: 26616394
- treated and untreated prolactin-producing pituitary adenomas and carcinomas as well as TSH-producing pituitary adenomas and carcinomas were conclusively immunopositive for KLK10 PMID: 25553760
- Immunoexpression of KLK10 in the ACTH-secreting tumors as well as in the Crooke cell tumors was significantly increased when compared with the nonfunctioning tumors and in the corticotrophs of non-tumorous pituitaries. PMID: 25517869
- is the first correlation of oral squamous cell carcinoma with KLK10 rs3745535G>T polymorphisms PMID: 23413953
- KLK10 expression is an independent biomarker of unfavorable prognosis in patients with gastric cancer. PMID: 24409072
- Patients with high KLK10 expression had a shorter disease-free and overall survival rates. PMID: 23499583
- Enhancing KLK10 gene expression can decrease the proliferation and invasiveness of human tongue cancer cells in vitro. PMID: 23268413
- Finding lower KLK10 levels in pleomorphic adenoma suggests aberrant expression in a tumour that develops primarily from myoepithelial cells. A kallikrein cascade may play a role in the development and/or outcome of some salivary gland tumours. PMID: 23250777
- KLK10 DNA methylation was significantly associated with prostate cancer. PMID: 22874102
- Data indicate a statistically significant positive association between kallikrein-related peptidase 10 (KLK10) and tumor stage and liver metastases. PMID: 22437349
- Loss of KLK10 is associated with ovarian cancer. PMID: 22102857
- KLK10 gene expression may be used as a marker of unfavorable prognosis for colorectal cancer PMID: 21487810
- Single nucleotide polymorphisms in KLK10 is not associated with ovarian cancer. PMID: 20686372
- Results indicate that cells underwent EMT exhibited overactive TGFbeta signaling and loss of expression of the CDH1, CGN, CLDN4, and KLK10 genes as a result of hypermethylation of their corresponding promoter regions. PMID: 20086175
- NES1/kallikrein 10 mRNA is expressed in normal breast tissue and benign lesions, with loss of NES1/kallikrein 10 expression during tumor progression. PMID: 11705853
- Identification of single nucleotide polymorphisms in the human kallikrein 10 (KLK10) gene and their association with prostate, breast, testicular, and ovarian cancers. PMID: 11920956
- Higher expression in breast cancer predicts tamoxifen resistance PMID: 12087468
- kallikrein 10 is expressed in the nonmalignant and malignant prostate, with cancer tissues demonstrating slightly lower expression PMID: 12970725
- Downregulation of kallikrein 10 is associated with breast cancer PMID: 14696124
- Kallikrein K10 is decreased in cerebrospinal fluid (CSF) of frontotemporal dementia patients and K10 is increased in CSF of Alzheimer patients, compared to control subjects. PMID: 14972646
- new splice variants of the KLK10 gene identified; in silico analyses show differential expression of gene in various malignancies and provide basis for directing experimental efforts to investigate possible role of gene as cancer biomarker PMID: 16103744
- CpG island hypermethylation plays an important role in the downregulation of kallikrein 10 mRNA and protein expression PMID: 16254462
- Kallikrein 10 is highly expressed in uterine serous papillary carcinoma, and it is released in the plasma and serum of uterine serous papillary carcinoma patients. PMID: 16647913
- REVIEW of KLK10 gene expression in neoplasm cells PMID: 16800732
- functional importance of retinoic acid response elements in the hK10 promoter was demonstrated by retinoid induction of hk10 promoter-reporters PMID: 16800735
- results suggest a co-regulation of KLK10 and KLK11 expression in lung and a lack of KLK10 suppressor role in non-small-cell lung cancer PMID: 16800740
- KLK10 expression is up-regulated in CRC and GC and higher expression of KLK10 closely correlates with advanced disease stage, which predicts a poorer prognosis. PMID: 16928223
- Results suggest that NES1 inactivation might contribute to the malignant progression of human gastric cancers. PMID: 17182177
- Glucocorticoid receptor-mediated expression of kallikrein 10 PMID: 17937626
- The hormone-specific upregulation of PSA, KLK10 and KLK11 in the breast cancer cell line T47D is dependent on major intracellular signaling pathways. PMID: 18515984
- Suppression of gastric cancer growth by baculovirus vector-mediated transfer of normal epithelial cell specific-1 gene. PMID: 18855978
- synergistic effects between estrogens and androgens on estrogen-sensitive genes may have implications on the role of the kallikreins 10, 11, and 14 in associated risk of breast cancer and progression. PMID: 19383315
- Down-Regulation of KLK10 through DNA Methylation is associated with hepatocellular carcinoma. PMID: 19760608
顯示更多
收起更多
-
亞細胞定位:Secreted.
-
蛋白家族:Peptidase S1 family, Kallikrein subfamily
-
組織特異性:Expressed in breast, ovary and prostate.
-
數據庫鏈接:
Most popular with customers
-
-
YWHAB Recombinant Monoclonal Antibody
Applications: ELISA, WB, IHC, IF, FC
Species Reactivity: Human, Mouse, Rat
-
Phospho-YAP1 (S127) Recombinant Monoclonal Antibody
Applications: ELISA, WB, IHC
Species Reactivity: Human
-
-
-
-
-















