KLK8 Antibody
-
中文名稱:KLK8兔多克隆抗體
-
貨號:CSB-PA228825
-
規格:¥1100
-
圖片:
-
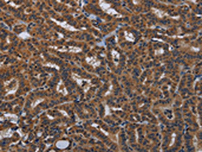
The image on the left is immunohistochemistry of paraffin-embedded Human liver cancer tissue using CSB-PA228825(KLK8 Antibody) at dilution 1/50, on the right is treated with fusion protein. (Original magnification: ×200)
-
The image on the left is immunohistochemistry of paraffin-embedded Human thyroid cancer tissue using CSB-PA228825(KLK8 Antibody) at dilution 1/50, on the right is treated with fusion protein. (Original magnification: ×200)
-
-
其他:
產品詳情
-
Uniprot No.:
-
基因名:KLK8
-
別名:Brain serine protease 1 antibody; BSP1 antibody; hK8 antibody; HNP antibody; HPN antibody; Kallikrein 8 (neuropsin/ovasin) antibody; Kallikrein related peptidase 8 antibody; Kallikrein-8 antibody; Kallikrein8 antibody; KLK 8 antibody; Klk8 antibody; KLK8 protein type 1 antibody; KLK8 protein type 2 antibody; KLK8_HUMAN antibody; Neuropsin antibody; neuropsin type 1 antibody; Neuropsin type 1; included antibody; Neuropsin type 2 antibody; Neuropsin type 2; included antibody; Neuropsin; mouse; homolog of antibody; NP antibody; NRPN antibody; Ovasin antibody; PRO322 antibody; Protease serine 19 antibody; PRSS 19 antibody; PRSS19 antibody; Serine protease 19 antibody; Serine protease kallikrein antibody; Serine protease kallikrein/ovasin/neuropsin antibody; Serine protease TADG 14 antibody; Serine protease TADG-14 antibody; Serine protease TADG14 antibody; TADG 14 antibody; TADG14 antibody; Tumor associated differentially expressed gene 14 antibody; Tumor associated differentially expressed gene 14 protein antibody; Tumor-associated differentially expressed gene 14 protein antibody; UNQ283 antibody
-
宿主:Rabbit
-
反應種屬:Human
-
免疫原:Fusion protein of Human KLK8
-
免疫原種屬:Homo sapiens (Human)
-
標記方式:Non-conjugated
-
抗體亞型:IgG
-
純化方式:Antigen affinity purification
-
濃度:It differs from different batches. Please contact us to confirm it.
-
保存緩沖液:-20°C, pH7.4 PBS, 0.05% NaN3, 40% Glycerol
-
產品提供形式:Liquid
-
應用范圍:ELISA,IHC
-
推薦稀釋比:
Application Recommended Dilution ELISA 1:2000-1:10000 IHC 1:100-1:300 -
Protocols:
-
儲存條件:Upon receipt, store at -20°C or -80°C. Avoid repeated freeze.
-
貨期:Basically, we can dispatch the products out in 1-3 working days after receiving your orders. Delivery time maybe differs from different purchasing way or location, please kindly consult your local distributors for specific delivery time.
-
用途:For Research Use Only. Not for use in diagnostic or therapeutic procedures.
相關產品
靶點詳情
-
功能:Serine protease which is capable of degrading a number of proteins such as casein, fibrinogen, kininogen, fibronectin and collagen type IV. Also cleaves L1CAM in response to increased neural activity. Induces neurite outgrowth and fasciculation of cultured hippocampal neurons. Plays a role in the formation and maturation of orphan and small synaptic boutons in the Schaffer-collateral pathway, regulates Schaffer-collateral long-term potentiation in the hippocampus and is required for memory acquisition and synaptic plasticity. Involved in skin desquamation and keratinocyte proliferation. Plays a role in the secondary phase of pathogenesis following spinal cord injury.
-
基因功能參考文獻:
- Telbivudine treatment resulted in increased levels of serum KLK8 protein. Furthermore, eGFR increase was associated with body height-adjusted, post-treatment KLK8 levels PMID: 29936485
- mRNA expression levels of KLK6 and KLK8 in advanced serous ovarian cancer PMID: 27483364
- elevated KLK8 expression was correlated with the progression of colorectal cancer. PMID: 28142115
- KLK8 mRNA expression is associated with aggressive tumor characteristics and it can serve as a novel independent biomarker of unfavorable prognosis for BC patients. PMID: 26099606
- Occurring independently of cyclophilins and of furin that mediate human papillomavirus 16 L2 exposure, KLK8-mediated cleavage of L1 likely facilitated access to L2, located in the capsid lumen, and potentially uncoating. PMID: 25926655
- It dissects a schizophrenic susceptibility gene, NRG1. PMID: 24614639
- KLK8 and KLK14 can signal differentially via the PARs to affect tissue function PMID: 22505524
- KLK8 as a new active serine protease in human stratum corneum and sweat PMID: 20940292
- The results of this study indicate that most salivary gland tumors show high levels of expression of KLK8. PMID: 20614312
- The KLK8-T4 alternative splice variant, alone or in combination, may be a new independent marker of unfavorable prognosis in lung cancer. PMID: 20360129
- Cervical cancer expressed high level of TADG-14. May play important role in invasion and metastasis. Appears only in abundance in tumor tissue and contains secretion signal sequence. Possible diagnostic use or as therapeutic target. PMID: 14749636
- Expression of hK8 is increased during the development of ovarian cancer and down-regulated during ovarian cancer progression. PMID: 15138549
- Amino-terminal sequencing of the activated enzyme demonstrated the cleavage of a 9-aa propeptide from the pro-enzyme; substrate specificiy and effect of metal ions and pH is demonstrated PMID: 16800733
- KLK8 expression confers a favorable clinical outcome in non-small cell lung cancer by suppressing tumor cell invasiveness. PMID: 17178872
- analysis of how a mutation leads to the origin of a novel splice form of neuropsin (KLK8), a gene involved in learning and memory PMID: 17487847
- kallikreins 5, 7, 8, and 10 are abundantly expressed in human OSCC and may be implicated in malignant progression PMID: 19085836
- The processed end-point enzymes are the same for both type I and type II kallikrein 8, suggesting that the emergence of type II kallikrein 8 in the human brain likely leads to functional modifications of kallikrein 8. PMID: 19125171
- Combination of KLK2, 3, 13, and 14 and KLK1, 2, 5, 6, 7, 8, 10, 13, and 14 showed very strong discriminatory potential for semen liquefaction and viscosity, respectively. PMID: 19558318
顯示更多
收起更多
-
亞細胞定位:Secreted. Cytoplasm. Note=Shows a cytoplasmic distribution in the keratinocytes.
-
蛋白家族:Peptidase S1 family, Kallikrein subfamily
-
組織特異性:Isoform 1 is predominantly expressed in the pancreas. Isoform 2 is expressed in adult brain and hippocampus. Isoform 1 and isoform 2 are found in fetal brain and placenta. Detected in salivary gland, uterus, thymus, breast, testis and kidney but not in sp
-
數據庫鏈接:
Most popular with customers
-
-
YWHAB Recombinant Monoclonal Antibody
Applications: ELISA, WB, IHC, IF, FC
Species Reactivity: Human, Mouse, Rat
-
Phospho-YAP1 (S127) Recombinant Monoclonal Antibody
Applications: ELISA, WB, IHC
Species Reactivity: Human
-
-
-
-
-















