KLRB1 Antibody
-
中文名稱:KLRB1兔多克隆抗體
-
貨號:CSB-PA249906
-
規格:¥1100
-
圖片:
-
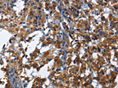
The image on the left is immunohistochemistry of paraffin-embedded Human thyroid cancer tissue using CSB-PA249906(KLRB1 Antibody) at dilution 1/40, on the right is treated with fusion protein. (Original magnification: ×200)
-
The image on the left is immunohistochemistry of paraffin-embedded Human cervical cancer tissue using CSB-PA249906(KLRB1 Antibody) at dilution 1/40, on the right is treated with fusion protein. (Original magnification: ×200)
-
Gel: 10%SDS-PAGE, Lysate: 40 μg, Lane 1-2: Mouse kidney tissue, human fetal liver tissue, Primary antibody: CSB-PA249906(KLRB1 Antibody) at dilution 1/300, Secondary antibody: Goat anti rabbit IgG at 1/8000 dilution, Exposure time: 1 minute
-
-
其他:
產品詳情
-
Uniprot No.:
-
基因名:
-
別名:C-type lectin domain family 5 member B antibody; CD161 antibody; CLEC5B antibody; HNKR-P1a antibody; Killer Cell Lectin like Receptor Subfamily B Member 1 antibody; Killer cell lectin-like receptor subfamily B member 1 antibody; KLRB1 antibody; KLRB1_HUMAN antibody; Natural killer cell surface protein P1A antibody; NKR antibody; NKR P1 antibody; NKR-P1A antibody; NKRP1 antibody; NKRP1A antibody
-
宿主:Rabbit
-
反應種屬:Human,Mouse
-
免疫原:Fusion protein of Human KLRB1
-
免疫原種屬:Homo sapiens (Human)
-
標記方式:Non-conjugated
-
抗體亞型:IgG
-
純化方式:Antigen affinity purification
-
濃度:It differs from different batches. Please contact us to confirm it.
-
保存緩沖液:-20°C, pH7.4 PBS, 0.05% NaN3, 40% Glycerol
-
產品提供形式:Liquid
-
應用范圍:ELISA,WB,IHC
-
推薦稀釋比:
Application Recommended Dilution ELISA 1:2000-1:5000 WB 1:500-1:2000 IHC 1:50-1:200 -
Protocols:
-
儲存條件:Upon receipt, store at -20°C or -80°C. Avoid repeated freeze.
-
貨期:Basically, we can dispatch the products out in 1-3 working days after receiving your orders. Delivery time maybe differs from different purchasing way or location, please kindly consult your local distributors for specific delivery time.
-
用途:For Research Use Only. Not for use in diagnostic or therapeutic procedures.
相關產品
靶點詳情
-
功能:Plays an inhibitory role on natural killer (NK) cells cytotoxicity. Activation results in specific acid sphingomyelinase/SMPD1 stimulation with subsequent marked elevation of intracellular ceramide. Activation also leads to AKT1/PKB and RPS6KA1/RSK1 kinases stimulation as well as markedly enhanced T-cell proliferation induced by anti-CD3. Acts as a lectin that binds to the terminal carbohydrate Gal-alpha(1,3)Gal epitope as well as to the N-acetyllactosamine epitope. Binds also to CLEC2D/LLT1 as a ligand and inhibits NK cell-mediated cytotoxicity as well as interferon-gamma secretion in target cells.
-
基因功能參考文獻:
- These results show that susceptibility of normal articular chondrocytes to lysis by NK cells is modulated by NKR-P1A/LLT1 interactions. Thus, NKR-P1A/LLT1 interaction might provide some novel target for therapeutic interventions in the course of pathological cartilage injury. PMID: 29212911
- Blocking LLT1-NKRP1A interaction will make prostate cancer cells susceptible to killing by NK cells, suggesting a therapeutic option for treatment of prostate cancer. PMID: 27626681
- Purified soluble NKR-P1 is homogeneous, deglycosylatable, crystallizable and monomeric in solution, as shown by size-exclusion chromatography, multi-angle light scattering and analytical ultracentrifugation. PMID: 28757467
- A subset of virus-specific CD161(+) T cells selectively express the multidrug transporter MDR1 and are resistant to chemotherapy in acute myeloid leukemia. PMID: 27821506
- CD161 expression levels were reduced in some NK and T cell subpopulations of systemic lupus erythematosus (SLE) patients, suggesting possible important role of CD161 and CD161-expressing immune cells in the SLE pathogenesis. PMID: 26590595
- A novel population of highly functional, memory CD8+ T cells enriched within the gut expresses CD161. PMID: 26220166
- Our results reveal that in combination with IGRAs, CD161-based indices provide a novel, fast diagnostic solution addressing the limitation of current tuberculosis diagnostics. PMID: 26643453
- these data suggest that LLT1-CD161 interactions play a novel and important role in B cell maturation within the Germinal center in humans. PMID: 26829983
- The regulation of NK cell homeostasis and activation apparently differs between carriers of the CC and TT variant of CD161. PMID: 26309225
- We suggest modulation of human Th17 responsiveness by CD39 and CD161 and describe novel molecular mechanisms integrating elements of both extracellular nucleotide and sphingolipid homeostasis--{REVIEW} PMID: 26059452
- percentage of alveolar CD3(+)CD161(+) T lymphocytes that produced IFN-gamma/IL-17 was significantly higher than those in the peripheral blood PMID: 25906076
- these results suggest that the CD8(+) subset of CD161(+) T cells may have regulatory effects and that they provide a basis for predicting the occurrence of aGVHD after allogeneic SCT. PMID: 25543092
- CD161-expressing Th17 cells are enriched at sites of autoinflammation, are highly proinflammatory and resistant to Treg-mediated suppression suggesting their important pathogenic role in rheumatoid arthritis. PMID: 26062995
- Expression of CD161 hence identifies a transcriptional and functional phenotype, shared across human T lymphocytes. PMID: 25437561
- Elevated expression of CD69 and CD161 on NK cells can be considered as immunological risk markers in RSA and IVF failure. PMID: 24975965
- CD39 and CD161 modulate human Th17 responses in CD through alterations in purinergic nucleotide-mediated responses and ASM catalytic bioactivity, respectively. PMID: 25172498
- CD161+ Th17/CD161+ Th1-cell imbalance may contribute to the development of rheumatoid arthritis. PMID: 24392804
- Here we present a distinct population of Treg, defined by CD161 expression, as the major source of FoxP3+ Treg-derived proinflammatory cytokines. PMID: 23355538
- The fraction of CD161high T cells is significantly higher in cerebrospinal fluid of patients with multiple sclerosis in relapse than those of controls. PMID: 23599932
- CD161+CD4+ T lymphocytes, differentiated into Th1 cells and Th17 cells, are involved in the pathogenesis of giant cell arteritis and polymyalgia rheumatica. PMID: 22833233
- LLT1 and CD161 have roles in modulating immune responses to pathogens; and interferon-gamma contributes to modulate immune responses PMID: 21930700
- our results indicate that KLRB1 gene expression is altered in multiple sclerosis (MS) and likely to be involved in the pathogenesis of the disease, whereas rs4763655 in KLRB1 seems to have a minimal role in MS susceptibility. PMID: 21610746
- expression defines IL-25- and IL-33-responsive type 2 innate lymphoid cells PMID: 21909091
- Molecular basis for LLT1 protein recognition by human CD161 protein (NKRP1A/KLRB1). PMID: 21572041
- Th17 cells from patients with head and neck squamous cell carcinoma downregulate the Th17 cell surface receptor CD161 in peripheral blood as well as in primary tumors and especially in metastatic lymph nodes. PMID: 21570678
- cytokines induce significant up-regulation of NKG2D expression while only IFN-alpha induced significant up-regulation of CD161 PMID: 20800424
- marker of IL-17-producing T-cell subsets PMID: 20486123
- Results reveal a functional relationship between CD161 expression and NK cell cytotoxicity as well as NK cell reactivity to glycans and mutated citrullinated vimentin, providing new insight into the pathogenesis of rheumatoid arthritis. PMID: 20359956
- CD161 expression on human CD8+ T cells defines a distinct functional subset with tissue-homing properties. PMID: 20133607
- There is a significant positive correlation of CD161 expression with NK cytotoxicity. PMID: 19711124
- Pl(A2) genotype is associated with a decreased risk of developing intermittent claudication. PMID: 14987913
- Engagement of CD161 on NK cells with LLT1 expressed on target cells inhibited NK cell-mediated cytotoxicity and IFN-gamma secretion. LLT1/CD161 interaction in the presence of a TCR signal enhanced IFN-gamma production by T cells PMID: 16339512
- LLT1 on target cells can inhibit NK cytotoxicity via interactions with CD161. LLT1 activates NFAT-GFP reporter cells expressing a CD3zeta-CD161 chimeric receptor; reciprocally, reporter cells with a CD3zeta-LLT1 chimeric receptor are stimulated by CD161 PMID: 16339513
- define a novel signal transduction pathway for the CD161 (NKR-P1A) receptor and provide fresh insights into NK and NKT cell biology PMID: 16455998
- NKRPIA binds to the alphaGal epitope of mouse laminin. Moreover, exposing NAcLac by removal of alphaGal resulted in an increase in binding. PMID: 16925668
- The results of this work demonstrated that the transcription of the KLRB1 was suppressed in tumor tissues in 68% patients with nonsmall-lung-cancer (p < 0.0001) and 57% patients with esophageal squamous-cell carcinoma (p = 0.0003). PMID: 18159636
- Expression of CD161 indicates a unique pattern of T cell differentiation that might help elucidate the mechanisms of hepatitis c virus immunity and pathogenesis. PMID: 18219672
- Interactions between NKR-P1A on NK cells and LLT1 on target cells inhibit NK cell-mediated cytotoxicity and cytokine production PMID: 18453569
- PILAR signaling through CD161 supports CD3 antibody-dependent and antigen-specific T-cell proliferation by increasing the expression of antiapoptotic Bcl-xL and induces secretion of T helper type 1 cytokines PMID: 18550855
- all IL-17-producing cells originate from CD161(+) naive CD4(+) T cells of umbilical cord blood, as well as of the postnatal thymus PMID: 18663128
- These data identify CD161(+) CD4 T cells as a resting Th17 pool that can be activated by IL-23 and mediate destructive tissue inflammation. PMID: 19273624
顯示更多
收起更多
-
亞細胞定位:Membrane; Single-pass type II membrane protein.
-
組織特異性:Expressed in a subset of NK cells predominantly in intestinal epithelium and liver. Detected in peripheral blood T-cells and preferentially in adult T-cells with a memory antigenic phenotype.
-
數據庫鏈接:
Most popular with customers
-
-
YWHAB Recombinant Monoclonal Antibody
Applications: ELISA, WB, IHC, IF, FC
Species Reactivity: Human, Mouse, Rat
-
Phospho-YAP1 (S127) Recombinant Monoclonal Antibody
Applications: ELISA, WB, IHC
Species Reactivity: Human
-
-
-
-
-















