LAMB3 Antibody
-
中文名稱:LAMB3兔多克隆抗體
-
貨號:CSB-PA615717LA01HU
-
規格:¥440
-
圖片:
-
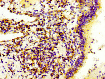
IHC image of CSB-PA615717LA01HU diluted at 1:300 and staining in paraffin-embedded human lung cancer performed on a Leica BondTM system. After dewaxing and hydration, antigen retrieval was mediated by high pressure in a citrate buffer (pH 6.0). Section was blocked with 10% normal goat serum 30min at RT. Then primary antibody (1% BSA) was incubated at 4°C overnight. The primary is detected by a biotinylated secondary antibody and visualized using an HRP conjugated SP system.
-
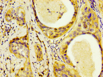
IHC image of CSB-PA615717LA01HU diluted at 1:300 and staining in paraffin-embedded human cervical cancer performed on a Leica BondTM system. After dewaxing and hydration, antigen retrieval was mediated by high pressure in a citrate buffer (pH 6.0). Section was blocked with 10% normal goat serum 30min at RT. Then primary antibody (1% BSA) was incubated at 4°C overnight. The primary is detected by a biotinylated secondary antibody and visualized using an HRP conjugated SP system.
-
-
其他:
產品詳情
-
產品名稱:Rabbit anti-Homo sapiens (Human) LAMB3 Polyclonal antibody
-
Uniprot No.:
-
基因名:
-
別名:BM600 125KDA antibody; Epiligrin subunit bata antibody; FLJ99565 antibody; Kalinin B1 chain antibody; Kalinin subunit beta antibody; LAM5 antibody; LAMB3 antibody; LAMB3_HUMAN antibody; Laminin B1k chain antibody; Laminin subunit beta-3 antibody; Laminin-5 subunit beta antibody; LAMNB1 antibody; Nicein subunit beta antibody
-
宿主:Rabbit
-
反應種屬:Human
-
免疫原:Recombinant Human Laminin subunit beta-3 protein (256-397AA)
-
免疫原種屬:Homo sapiens (Human)
-
標記方式:Non-conjugated
本頁面中的產品,LAMB3 Antibody (CSB-PA615717LA01HU),的標記方式是Non-conjugated。對于LAMB3 Antibody,我們還提供其他標記。見下表:
-
克隆類型:Polyclonal
-
抗體亞型:IgG
-
純化方式:>95%, Protein G purified
-
濃度:It differs from different batches. Please contact us to confirm it.
-
保存緩沖液:Preservative: 0.03% Proclin 300
Constituents: 50% Glycerol, 0.01M PBS, pH 7.4 -
產品提供形式:Liquid
-
應用范圍:ELISA, IHC
-
推薦稀釋比:
Application Recommended Dilution IHC 1:200-1:500 -
Protocols:
-
儲存條件:Upon receipt, store at -20°C or -80°C. Avoid repeated freeze.
-
貨期:Basically, we can dispatch the products out in 1-3 working days after receiving your orders. Delivery time maybe differs from different purchasing way or location, please kindly consult your local distributors for specific delivery time.
-
用途:For Research Use Only. Not for use in diagnostic or therapeutic procedures.
相關產品
靶點詳情
-
功能:Binding to cells via a high affinity receptor, laminin is thought to mediate the attachment, migration and organization of cells into tissues during embryonic development by interacting with other extracellular matrix components.
-
基因功能參考文獻:
- From these results, it was shown that laminin-332 is an essential niche component for the proper differentiation of Interfollicular epidermal stem cells. PMID: 29555367
- the gentamicin-induced laminin beta3 led to the restoration of laminin 332 assembly, secretion, and deposition within the dermal/epidermal junction, as well as proper polarization of alpha6beta4 integrin in basal keratinocytes PMID: 29946029
- Results show three specific LAMB3 mutations: c.823-1G>A, c.957ins77 and c.3228+1G>A are carried by 91% of all LAMB3 alleles and that at least one of these three mutations will be carried in junctional epidermolysis bullosa individuals in this Chilean population. PMID: 27480391
- expression in preoperative biopsy material predictive of perineural invasion in patients with oral squamous cell carcinoma PMID: 27863864
- The authors have identified a mutation in LAM3 causing lethal epidermolysis bullosa in a Balkan, Hungarian, population. Investigations into the genetic background of its unique carrier group, suggests that the estimated age of the mutation corresponds to the period of Roma migration in the Balkans. PMID: 27062385
- the tyrosine kinase FAK and the laminin subunit LAMB3 as functional targets of miR-1298. Silencing of FAK or LAMB3 recapitulated the synthetic lethal effects of miR-1298 expression in KRAS-driven cancer cells. PMID: 27698189
- The expression of fascin-1 and lanminin-5 and the serum levels of fascin-1 and laminin-5 were related to the relapse of patients with non-small cell lung cancer. PMID: 28653739
- Whole-Exome Sequencing Suggests LAMB3 as a Susceptibility Gene for Morbid Obesity PMID: 27431458
- Case Reports: Junctional epidermolysis bullosa with LAMB3 splice-site mutations. PMID: 25708563
- LNbeta3 expression may play a key role in the progression and prognosis of pancreatic ductal adenocarcinoma. PMID: 25032755
- Screening of ENAM and LAMB3 genes was performed by direct sequencing of genomic DNA from blood samples. PMID: 25769099
- Case Report: linear IgA/IgG bullous dermatosis with anti-laminin-332 autoantibodies. PMID: 24978847
- An algorithm combining CLDN10, HMGA2, and LAMB3 transcripts was able to discriminate tumors from BTL samples (94% sensitivity and 96% specificity in validation set). PMID: 25867809
- Novel LAMB3 mutations cause non-syndromic amelogenesis imperfecta with variable expressivity. PMID: 24494736
- we report a case of Herlitz junctional epidermolysis bullosa with a novel heterozygous mutation in LAMB3,c.1597G>A (p.Ala533Thr). PMID: 23278291
- However, to our knowledge, this is the first report of dominant AI due to a LAMB3 mutation in the absence of JEB. PMID: 23632796
- data further enhance the mutation spectrum of the LAMB3 and the COL7A1 genes, and also underscore the crucial roles of these genes in pathogenesis of epidermolysis bullosa PMID: 23769655
- an 8-bp deletion (c.3446_3453del GACTGGAG) shifting the reading frame (p.Gly 1149Glufs*8) and a single nucleotide substitution (c.C3431A) generating an in-frame translation termination codon (p.Ser1144*)associated with amelogenesis imperfecta PMID: 23958762
- Results identify the point during neoplastic progression in epithelia when the tumor suppressor p16 and laminin 5 are expressed and suggest that normal epithelia may use the same mechanism to generate non-dividing, motile cells for wound repair. PMID: 12875969
- Laminin-5 is a useful biomarker in the evaluation of invasiveness in cervical adenocarcinoma. PMID: 22898004
- These results suggest that epigenetic activation of LAMB3 and LAMC2 may play an important role in gastric carcinogenesis. PMID: 21345334
- The LAMB3 rs2566 variant CT/TT genotypes were associated with a significantly increased risk of cervical cancer, compared with the wild type CC genotype. PMID: 20163849
- Gene LAMB3 detected compound heterozygosity for the nonsense mutation R635X and a novel 2 bp deletion (1587delAG) resulting in a downstream premature termination codon. PMID: 11689492
- Deletion analysis of laminin-beta3 indicated that the region comprising aa 726 to 875 of laminin-beta3 interacts with rotavirus enterotoxin NSP4. PMID: 15331737
- In squamous cell carcinoma of the tongue and colorectal carcinoma, laminin 5 beta3 chain is important in the invasiveness of cancer cells. PMID: 15363037
- homozygous frameshift mutation in LAMB3 was associated to illegitimate splicing leading to non-H junctional epidermolysis bullosa PMID: 15373767
- DNA analysis revealed a compound heterozygote for mutations 2379delG and Q995X in the LAMB3 gene in Herlitz junctional epidermolysis bullosa PMID: 16147969
- Multiple second-site mutations, all correcting the germline mutation LAMB3 (628G-->A;Glu210Lys), are present in 2 unrelated non-Herlitz junctional epidermolysis bullosa patients with revertant mosaicism. PMID: 17476356
- degradation [by Candida species] can exert functional disturbances on basement membrane integrity, possibly aiding Candida cell invasion into tissues PMID: 18284540
- The expression of LAMB3 mrna was higher in malignant tissue and correlated with the depth of invasion and venous invasion in ESCC. PMID: 18331784
- c.1945dupG mutation in Herlitz junctional epidermolysis bullosa PMID: 18387282
- Ln-332 gamma2 may be a therapeutic target against metastatic colon cancer because a lowered beta3:gamma2 ratio would reduce expression of heterotrimeric Ln-332 and increase monomeric gamma2 secretion. PMID: 19383890
- Histopathology of anti-laminin 5 mucous membrane pemphigoid is characterized by subepidermal blistering and a sparse to moderate superficial lymphohistiocytic infiltrate with neutrophils and/or eosinophils PMID: 19700013
- Results suggest that laminin (LN)gamma2 and LNbeta3, in conjunction with MMP7, play a key role in the progression of biliary tract cancer. PMID: 19701966
顯示更多
收起更多
-
相關疾病:Epidermolysis bullosa, junctional, Herlitz type (H-JEB); Generalized atrophic benign epidermolysis bullosa (GABEB); Amelogenesis imperfecta 1A (AI1A)
-
亞細胞定位:Secreted, extracellular space, extracellular matrix, basement membrane.
-
組織特異性:Found in the basement membranes (major component).
-
數據庫鏈接:
Most popular with customers
-
-
YWHAB Recombinant Monoclonal Antibody
Applications: ELISA, WB, IHC, IF, FC
Species Reactivity: Human, Mouse, Rat
-
Phospho-YAP1 (S127) Recombinant Monoclonal Antibody
Applications: ELISA, WB, IHC
Species Reactivity: Human
-
-
-
-
-















