LCP1 Antibody
-
中文名稱:LCP1兔多克隆抗體
-
貨號:CSB-PA012824HA01HU
-
規格:¥440
-
圖片:
-
Western Blot
Positive WB detected in: Jurkat whole cell lysate, K562 whole cell lysate, THP-1 whole cell lysate
All lanes: LCP1 antibody at 2.6µg/ml
Secondary
Goat polyclonal to rabbit IgG at 1/50000 dilution
Predicted band size: 71, 22 kDa
Observed band size: 71 kDa -
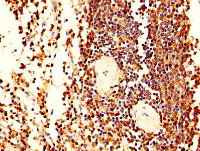
IHC image of CSB-PA012824HA01HU diluted at 1:400 and staining in paraffin-embedded human spleen tissue performed on a Leica BondTM system. After dewaxing and hydration, antigen retrieval was mediated by high pressure in a citrate buffer (pH 6.0). Section was blocked with 10% normal goat serum 30min at RT. Then primary antibody (1% BSA) was incubated at 4°C overnight. The primary is detected by a biotinylated secondary antibody and visualized using an HRP conjugated SP system.
-
Immunoprecipitating LCP1 in Jurkat whole cell lysate
Lane 1: Rabbit control IgG instead of CSB-PA012824HA01HU in Jurkat whole cell lysate. For western blotting, a HRP-conjugated Protein G antibody was used as the secondary antibody (1/2000)
Lane 2: CSB-PA012824HA01HU (8µg) + Jurkat whole cell lysate (500µg)
Lane 3: Jurkat whole cell lysate (20µg)
-
-
其他:
產品詳情
-
產品名稱:Rabbit anti-Homo sapiens (Human) LCP1 Polyclonal antibody
-
Uniprot No.:
-
基因名:LCP1
-
別名:CP64 antibody; L plastin antibody; L-plastin antibody; Larval cuticle protein 1 antibody; LC64P antibody; LCP-1 antibody; LCP1 antibody; LPL antibody; Lplastin antibody; Lymphocyte cytosolic protein 1 antibody; Plastin 2 antibody; Plastin-2 antibody; PLS2 antibody; PLSL_HUMAN antibody
-
宿主:Rabbit
-
反應種屬:Human
-
免疫原:Recombinant Human Plastin-2 protein (2-627AA)
-
免疫原種屬:Homo sapiens (Human)
-
標記方式:Non-conjugated
本頁面中的產品,LCP1 Antibody (CSB-PA012824HA01HU),的標記方式是Non-conjugated。對于LCP1 Antibody,我們還提供其他標記。見下表:
-
克隆類型:Polyclonal
-
抗體亞型:IgG
-
純化方式:>95%, Protein G purified
-
濃度:It differs from different batches. Please contact us to confirm it.
-
保存緩沖液:Preservative: 0.03% Proclin 300
Constituents: 50% Glycerol, 0.01M PBS, PH 7.4 -
產品提供形式:Liquid
-
應用范圍:ELISA, WB, IHC,IP
-
推薦稀釋比:
Application Recommended Dilution WB 1:1000-1:5000 IHC 1:200-1:500 IP 1:200-1:2000 -
Protocols:
-
儲存條件:Upon receipt, store at -20°C or -80°C. Avoid repeated freeze.
-
貨期:Basically, we can dispatch the products out in 1-3 working days after receiving your orders. Delivery time maybe differs from different purchasing way or location, please kindly consult your local distributors for specific delivery time.
-
用途:For Research Use Only. Not for use in diagnostic or therapeutic procedures.
相關產品
靶點詳情
-
功能:Actin-binding protein. Plays a role in the activation of T-cells in response to costimulation through TCR/CD3 and CD2 or CD28. Modulates the cell surface expression of IL2RA/CD25 and CD69.
-
基因功能參考文獻:
- LCP1-positive oral squamous cell carcnome samples were correlated closely with the primary tumor size and regional lymph node metastasis. PMID: 28230172
- MOLP8/R cells display a very high overexpression of LCP1 gene (l-Plastin) controlled by HIF1&alpha. PMID: 29882856
- these findings support a plausible mechanism by which the AP4/L-plastin axis is regulated by the PI3K/AKT pathway in human prostate cancer (PCa)and may represent a novel therapeutic target in PCa treatment. PMID: 28981098
- Mutated LCP1 is a driver of chronic lymphocytic leukemia. PMID: 28679620
- AngII-dependent phosphorylation of LCP1 in cultured podocytes was mediated by the kinases ERK, p90 ribosomal S6 kinase, PKA, or PKC. LCP1 phosphorylation increased filopodia formation. PMID: 28768720
- L-plastin regulates the stability of the immune synapse of naive and effector T-cells. (Review) PMID: 27720134
- The findings support a mechanism in which miR-375 suppresses RUNX1 levels, resulting in reduced vimentin and L-plastin expression. Knockdown of RUNX1, L-plastin, and vimentin resulted in significant reductions in cell invasion in vitro, indicating the functional significance of miR-375 regulation of specific proteins involved in head and neck squamous cell carcinoma (HNSCC) invasion. PMID: 28499703
- In this study, the authors found that the actin filament bundling abilities of PLS1 and PLS2 were similarly sensitive to Ca(2+) (pCa50 ~6.4), whereas PLS3 was less sensitive (pCa50 ~5.9). PMID: 28694070
- elevated L-plastin expression promotes elongation and reduces protrusion density in cells with relatively lower L-plastin than fascin levels. PMID: 26945069
- Enhanced nitroxidative stress may results in LPL S-glutathionylation leading to impaired chemotaxis, polarization, and bactericidal activity of human neutrophils. PMID: 25881549
- association of SNPs in LCP1 and CTIF with hearing PMID: 26264041
- An NKX3.1 binding site polymorphism in the l-plastin promoter leads to differential gene expression in human prostate cancer PMID: 26148677
- The proteins (HSP90b, TSM1 and L-plastin) in the current study may hold potential in differentiating between melanoma and benign nevi in diagnostically challenging cases. PMID: 25191796
- Data suggest that several single-nucleotide polymorphisms (SNPs) of the plastin genes PLS3 and LCP1 could serve as gender- and/or stage-specific molecular predictors of tumor recurrence in stage II/III colorectal cancer as well as therapeutic targets. PMID: 24170770
- L-plastin plays an important role in the clustering of NKG2D into lipid rafts, and it participates in NKG2D-mediated inhibition of NK cell chemotaxis. PMID: 24803550
- expression of L-plastin promotes tumor metastasis and, importantly, that this effect depends on an additionally required phosphorylation of L-plastin PMID: 24438191
- L-plastin is indispensable for podosome formation and function in macrophages. PMID: 24236012
- LCP1 is functionally relevant to CXCL12 induced B-cell migration. PMID: 24009233
- High serum LCP1 is associated with kidney cancer. PMID: 23479363
- Hepatic LCP1 mRNA was increased (by 300%) in liver biopsy samples from patients with nonalcoholic fatty liver disease compared to controls PMID: 23213074
- This study adds L-plastin to a growing list of proteins implicated in T lymphocyte polarity and migration PMID: 22581862
- our data introduce costimulation-induced L-plastin phosphorylation as an important event for immune synapse formation and its inhibition by dexamethasone as a novel mode of function of this immunosuppressive glucocorticoid. PMID: 21805466
- Results establish a causative role for PKCbetaII and L-plastin in linking GM-CSF-induced eosinophil priming for chemotaxis. PMID: 21525390
- Plasmic L-plastin level in patients with colorectal cancer was higher than that in healthy adults, and was associated with tumor size, penetration, and lymphatic metastasis. PMID: 20878578
- required for immune synapse formation PMID: 20683899
- This study discloses a novel unexpected role of the actin bundling protein L-plastin as a cell protective protein against TNF-cytotoxicity. PMID: 19799649
- Data demonstrate for the first time that L-plastin contributes to the fine-tuning of actin turn-over, an activity which is regulated by Ser5 phosphorylation promoting its high affinity binding to the cytoskeleton. PMID: 20169155
- Data show that the serine protease plasmin cleaved both propeptides from human vascular endothelial growth factor (VEGF)-D, generating mature forms, and also activated VEGF-C. PMID: 12963694
- association of L-plastin overexpression with increased rate of proliferation and invasion, and loss of E-cadherin expression in the SW480 colon cancer cell line indicates that L-plastin plays an important mechanistic role in colorectal cancer metastasis PMID: 16287074
- Data suggest that phosphorylated L-plastin might act as an integrator of signals controlling the assembly of the actin cytoskeleton and cell motility in a 3D-space. PMID: 16636079
- Data show that an increase in melanoma cell invasiveness requires not only expression but also phosphorylation of L-plastin. PMID: 17290393
- Phosphorylation of the actin bundling protein L-plastin represents a mechanism by which costimulation controls the transport of activation receptors to the T cell surface. PMID: 17294403
- L-plastin and S100A9 were differentially expressed in nasopharyngeal carcinoma and normal nasopharyngeal epithelial tissue PMID: 19142861
顯示更多
收起更多
-
相關疾病:Chromosomal aberrations involving LCP1 is a cause of B-cell non-Hodgkin lymphomas (B-cell NHL). Translocation t(3;13)(q27;q14), with BCL6.
-
亞細胞定位:Cytoplasm, cytoskeleton. Cell junction. Cell projection. Cell projection, ruffle membrane; Peripheral membrane protein; Cytoplasmic side.
-
組織特異性:Detected in intestinal microvilli, hair cell stereocilia, and fibroblast filopodia, in spleen and other lymph node-containing organs. Expressed in peripheral blood T-lymphocytes, neutrophils, monocytes, B-lymphocytes, and myeloid cells.
-
數據庫鏈接:
Most popular with customers
-
YWHAB Recombinant Monoclonal Antibody
Applications: ELISA, WB, IHC, IF, FC
Species Reactivity: Human, Mouse, Rat
-
Phospho-YAP1 (S127) Recombinant Monoclonal Antibody
Applications: ELISA, WB, IHC
Species Reactivity: Human
-
-
-
-
-
-















