LEFTY2 Antibody
-
中文名稱:LEFTY2兔多克隆抗體
-
貨號:CSB-PA012858ESR2HU
-
規格:¥440
-
圖片:
-
Western blot
All lanes: LEFTY2 antibody at 2μg/ml + A431 whole cell lysate
Secondary
Goat polyclonal to rabbit IgG at 1/10000 dilution
Predicted band size: 41, 38 kDa
Observed band size: 41 kDa -
Immunohistochemistry of paraffin-embedded human endometrial cancer using CSB-PA012858ESR2HU at dilution of 1: 100
-
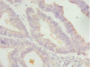
Immunohistochemistry of paraffin-embedded human colon cancer using CSB-PA012858ESR2HU at dilution of 1: 100
-
-
其他:
產品詳情
-
產品名稱:Rabbit anti-Homo sapiens (Human) LEFTY2 Polyclonal antibody
-
Uniprot No.:
-
基因名:
-
別名:EBAF antibody; Endometrial bleeding associated factor (left right determination factor A transforming growth factor beta superfamily) antibody; Endometrial bleeding associated factor antibody; Endometrial bleeding-associated factor antibody; Left right determination factor 2 antibody; Left right determination factor A antibody; Left-right determination factor 2 antibody; Left-right determination factor A antibody; LEFTA antibody; LEFTY 2 antibody; LEFTY2 antibody; LEFTYA antibody; LFTY2 transforming growth factor; beta -4 antibody; LFTY2; mouse; homolog of antibody; LFTY2_HUMAN antibody; MGC46222 antibody; Protein lefty 2 antibody; Protein lefty A antibody; Protein lefty-2 antibody; Protein lefty-A antibody; Protein lefty2 antibody; PSEC0024 antibody; TGF beta 4 antibody; TGF-beta-4 antibody; TGFB4 antibody; Transforming growth factor beta 4 antibody; Transforming growth factor beta-4 antibody
-
宿主:Rabbit
-
反應種屬:Human
-
免疫原:Recombinant Human Left-right determination factor 2 protein (57-366AA)
-
免疫原種屬:Homo sapiens (Human)
-
標記方式:Non-conjugated
-
克隆類型:Polyclonal
-
抗體亞型:IgG
-
純化方式:Antigen Affinity Purified
-
濃度:It differs from different batches. Please contact us to confirm it.
-
保存緩沖液:PBS with 0.02% sodium azide, 50% glycerol, pH7.3.
-
產品提供形式:Liquid
-
應用范圍:ELISA, WB, IHC
-
推薦稀釋比:
Application Recommended Dilution WB 1:1000-1:5000 IHC 1:20-1:200 -
Protocols:
-
儲存條件:Upon receipt, store at -20°C or -80°C. Avoid repeated freeze.
-
貨期:Basically, we can dispatch the products out in 1-3 working days after receiving your orders. Delivery time maybe differs from different purchasing way or location, please kindly consult your local distributors for specific delivery time.
-
用途:For Research Use Only. Not for use in diagnostic or therapeutic procedures.
相關產品
靶點詳情
-
功能:Required for left-right (L-R) asymmetry determination of organ systems in mammals. May play a role in endometrial bleeding.
-
基因功能參考文獻:
- functional role of LEFTY during progesterone therapy for endometrial carcinoma PMID: 29268772
- LeftyA leads to disruption of Rac1 and Pak1 activity with subsequent actin depolymerization, cell softening and cell shrinkage. PMID: 27404958
- LEFTY2 down-regulates MKi67 expression and FAK activity, up-regulates miR-200a and E-cadherin, and is thus a powerful negative regulator of endometrial cell proliferation and migration. PMID: 27497669
- LEFTY2 regulates the expression and activity of ENaC in endometrial epithelial cells via SGK1. PMID: 27606670
- Lefty A may account for the tumor suppressive activity of human adult stem cells. PMID: 22469982
- Findings suggest that Lefty2 is negatively modulated by miR-302s in hESCs, which plays an important role in maintaining the balance between pluripotency and germ layer specification. PMID: 21266536
- Findings show that during embryonic development, EBAF/LEFTY B plays important roles in decidualization and embryo implantation. PMID: 21401636
- findings show that the TGFB4 (ebaf) mRNA has distinct tumor specific expression PMID: 9230066
- may provide a crucial signal for endometrial breakdown and bleeding by triggering expression of several matrix metalloproteinases PMID: 12215426
- nodal and the inhibitors of Nodal signaling, lefty-A and lefty-B, are down-regulated very early upon differentiation of human embryonic stem cells PMID: 15308665
- Addition of recombinant LEFTY-A to explants induced MMP-9 in most samples, a response prevented by ovarian steroids. PMID: 15536155
- LEFTY proteins, which are known to play a major role during mouse gastrulation, are transiently expressed during human embryonic stem cell differentiation. PMID: 17038673
顯示更多
收起更多
-
相關疾病:Left-right axis malformations (LRAM)
-
亞細胞定位:Secreted.
-
蛋白家族:TGF-beta family
-
組織特異性:Mesenchymal cells of the endometrial stroma.
-
數據庫鏈接:
Most popular with customers
-
-
YWHAB Recombinant Monoclonal Antibody
Applications: ELISA, WB, IHC, IF, FC
Species Reactivity: Human, Mouse, Rat
-
Phospho-YAP1 (S127) Recombinant Monoclonal Antibody
Applications: ELISA, WB, IHC
Species Reactivity: Human
-
-
-
-
-
VDAC1 Recombinant Monoclonal Antibody
Applications: ELISA, WB, IHC
Species Reactivity: Human, Mouse, Rat















