LEMD1 Antibody
-
中文名稱:LEMD1兔多克隆抗體
-
貨號:CSB-PA715035LA01HU
-
規格:¥440
-
圖片:
-
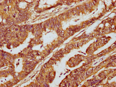
IHC image of CSB-PA715035LA01HU diluted at 1:300 and staining in paraffin-embedded human colon cancer performed on a Leica BondTM system. After dewaxing and hydration, antigen retrieval was mediated by high pressure in a citrate buffer (pH 6.0). Section was blocked with 10% normal goat serum 30min at RT. Then primary antibody (1% BSA) was incubated at 4°C overnight. The primary is detected by a biotinylated secondary antibody and visualized using an HRP conjugated SP system.
-
Immunofluorescence staining of HepG2 cells with CSB-PA715035LA01HU at 1:100, counter-stained with DAPI. The cells were fixed in 4% formaldehyde, permeabilized using 0.2% Triton X-100 and blocked in 10% normal Goat Serum. The cells were then incubated with the antibody overnight at 4°C. The secondary antibody was Alexa Fluor 488-congugated AffiniPure Goat Anti-Rabbit IgG(H+L).
-
-
其他:
產品詳情
-
產品名稱:Rabbit anti-Homo sapiens (Human) LEMD1 Polyclonal antibody
-
Uniprot No.:
-
基因名:LEMD1
-
別名:LEMD1; LEM domain-containing protein 1; Cancer/testis antigen 50; CT50; LEM domain protein 1; LEMP-1
-
宿主:Rabbit
-
反應種屬:Human
-
免疫原:Recombinant Human LEM domain-containing protein 1 protein (44-151AA)
-
免疫原種屬:Homo sapiens (Human)
-
標記方式:Non-conjugated
本頁面中的產品,LEMD1 Antibody (CSB-PA715035LA01HU),的標記方式是Non-conjugated。對于LEMD1 Antibody,我們還提供其他標記。見下表:
-
克隆類型:Polyclonal
-
抗體亞型:IgG
-
純化方式:>95%, Protein G purified
-
濃度:It differs from different batches. Please contact us to confirm it.
-
保存緩沖液:Preservative: 0.03% Proclin 300
Constituents: 50% Glycerol, 0.01M PBS, pH 7.4 -
產品提供形式:Liquid
-
應用范圍:ELISA, IHC, IF
-
推薦稀釋比:
Application Recommended Dilution IHC 1:200-1:500 IF 1:50-1:200 -
Protocols:
-
儲存條件:Upon receipt, store at -20°C or -80°C. Avoid repeated freeze.
-
貨期:Basically, we can dispatch the products out in 1-3 working days after receiving your orders. Delivery time maybe differs from different purchasing way or location, please kindly consult your local distributors for specific delivery time.
-
用途:For Research Use Only. Not for use in diagnostic or therapeutic procedures.
相關產品
靶點詳情
-
基因功能參考文獻:
- Data show that LEM domain containing 1 (LEMD1)has five transcript splicing variants (variant 1 [V1] - variant 5 [V5]), and that LEMD1 V1, V2 and V3 is expressed in testis and CR-CSCs/CICs, whereas LEMD1 V4 and V5 is ubiquitously expressed. PMID: 28219643
- Downregulation of LEMD1 expression inhibited adhesion and transmigration of OSCCs. PMID: 27280633
- Of the prostate cancer samples, 10, 10, 23 and 40% showed ODF1, ODF2, LEMD1 and SPATA19 specific bands, respectively, but none of the BPH samples expressed any of these genes. PMID: 20682177
- LEM domain-containing 1 is a novel testis-specific gene expressed in colorectal cancers PMID: 15254688
-
亞細胞定位:Membrane; Single-pass membrane protein.
-
組織特異性:Testis-specific. Isoform 6 is detected in 17 of 18 colon cancer tissues examined.
-
數據庫鏈接:
Most popular with customers
-
-
YWHAB Recombinant Monoclonal Antibody
Applications: ELISA, WB, IHC, IF, FC
Species Reactivity: Human, Mouse, Rat
-
Phospho-YAP1 (S127) Recombinant Monoclonal Antibody
Applications: ELISA, WB, IHC
Species Reactivity: Human
-
-
-
-
-















