-
中文名稱:LGALS9兔多克隆抗體
-
貨號:CSB-PA02649A0Rb
-
規格:¥440
-
圖片:
-
Western Blot
Positive WB detected in: Mouse heart tissue
All lanes: LGALS9 antibody at 3µg/ml
Secondary
Goat polyclonal to rabbit IgG at 1/50000 dilution
Predicted band size: 40, 36, 35, 27, 26, 39 kDa
Observed band size: 40 kDa -
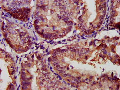
IHC image of CSB-PA02649A0Rb diluted at 1:300 and staining in paraffin-embedded human endometrial cancer performed on a Leica BondTM system. After dewaxing and hydration, antigen retrieval was mediated by high pressure in a citrate buffer (pH 6.0). Section was blocked with 10% normal goat serum 30min at RT. Then primary antibody (1% BSA) was incubated at 4°C overnight. The primary is detected by a biotinylated secondary antibody and visualized using an HRP conjugated SP system.
-
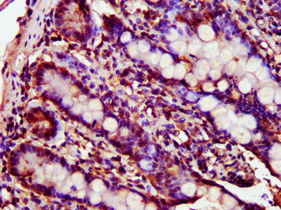
IHC image of CSB-PA02649A0Rb diluted at 1:300 and staining in paraffin-embedded human small intestine tissue performed on a Leica BondTM system. After dewaxing and hydration, antigen retrieval was mediated by high pressure in a citrate buffer (pH 6.0). Section was blocked with 10% normal goat serum 30min at RT. Then primary antibody (1% BSA) was incubated at 4°C overnight. The primary is detected by a biotinylated secondary antibody and visualized using an HRP conjugated SP system.
-
Immunofluorescence staining of NIH/3T3 cells with CSB-PA02649A0Rb at 1:100, counter-stained with DAPI. The cells were fixed in 4% formaldehyde, permeabilized using 0.2% Triton X-100 and blocked in 10% normal Goat Serum. The cells were then incubated with the antibody overnight at 4°C. The secondary antibody was Alexa Fluor 488-congugated AffiniPure Goat Anti-Rabbit IgG(H+L).
-
IHC image of CSB-PA02649A0Rb diluted at 1:300 and staining in paraffin-embedded human adrenal gland tissue performed on a Leica BondTM system. After dewaxing and hydration, antigen retrieval was mediated by high pressure in a citrate buffer (pH 6.0). Section was blocked with 10% normal goat serum 30min at RT. Then primary antibody (1% BSA) was incubated at 4°C overnight. The primary is detected by a biotinylated secondary antibody and visualized using an HRP conjugated SP system.
-
-
其他:
產品詳情
-
產品名稱:Rabbit anti-Homo sapiens (Human) LGALS9 Polyclonal antibody
-
Uniprot No.:
-
基因名:
-
別名:36 kDa beta-galactoside-binding lectin antibody; Ecalectin antibody; Gal-9 antibody; galectin 9 antibody; Galectin-9 antibody; galectin9 antibody; HOM HD 21 antibody; HOMHD21 antibody; HUAT antibody; Lectin galactoside binding soluble 9 antibody; LEG9_HUMAN antibody; LGAL S9 antibody; LGALS 9 antibody; Lgals9 antibody; LGALS9A antibody; MGC117375 antibody; MGC125973 antibody; MGC125974 antibody; Tumor antigen HOM-HD-21 antibody; UAT antibody; Urate transporter/channel antibody; Urate transporter/channel protein antibody
-
宿主:Rabbit
-
反應種屬:Human, Mouse
-
免疫原:Recombinant Human Galectin-9 protein (1-323AA)
-
免疫原種屬:Homo sapiens (Human)
-
標記方式:Non-conjugated
本頁面中的產品,LGALS9 Antibody (CSB-PA02649A0Rb),的標記方式是Non-conjugated。對于LGALS9 Antibody,我們還提供其他標記。見下表:
-
克隆類型:Polyclonal
-
抗體亞型:IgG
-
純化方式:>95%, Protein G purified
-
濃度:It differs from different batches. Please contact us to confirm it.
-
保存緩沖液:Preservative: 0.03% Proclin 300
Constituents: 50% Glycerol, 0.01M PBS, PH 7.4 -
產品提供形式:Liquid
-
應用范圍:ELISA, WB, IHC, IF
-
推薦稀釋比:
Application Recommended Dilution WB 1:500-1:5000 IHC 1:200-1:500 IF 1:50-1:200 -
Protocols:
-
儲存條件:Upon receipt, store at -20°C or -80°C. Avoid repeated freeze.
-
貨期:Basically, we can dispatch the products out in 1-3 working days after receiving your orders. Delivery time maybe differs from different purchasing way or location, please kindly consult your local distributors for specific delivery time.
-
用途:For Research Use Only. Not for use in diagnostic or therapeutic procedures.
引用文獻
- The Role of Galectin-9 as Mediator of Atopic Dermatitis: Effect on Keratinocytes MP Corrêa,Cells,2021
相關產品
靶點詳情
-
功能:Binds galactosides. Has high affinity for the Forssman pentasaccharide. Ligand for HAVCR2/TIM3. Binding to HAVCR2 induces T-helper type 1 lymphocyte (Th1) death. Also stimulates bactericidal activity in infected macrophages by causing macrophage activation and IL1B secretion which restricts intracellular bacterial growth. Ligand for P4HB; the interaction retains P4HB at the cell surface of Th2 T-helper cells, increasing disulfide reductase activity at the plasma membrane, altering the plasma membrane redox state and enhancing cell migration. Ligand for CD44; the interaction enhances binding of SMAD3 to the FOXP3 promoter, leading to up-regulation of FOXP3 expression and increased induced regulatory T (iTreg) cell stability and suppressive function. Promotes ability of mesenchymal stromal cells to suppress T-cell proliferation. Expands regulatory T-cells and induces cytotoxic T-cell apoptosis following virus infection. Activates ERK1/2 phosphorylation inducing cytokine (IL-6, IL-8, IL-12) and chemokine (CCL2) production in mast and dendritic cells. Inhibits degranulation and induces apoptosis of mast cells. Induces maturation and migration of dendritic cells. Inhibits natural killer (NK) cell function. Can transform NK cell phenotype from peripheral to decidual during pregnancy. Astrocyte derived galectin-9 enhances microglial TNF production. May play a role in thymocyte-epithelial interactions relevant to the biology of the thymus. May provide the molecular basis for urate flux across cell membranes, allowing urate that is formed during purine metabolism to efflux from cells and serving as an electrogenic transporter that plays an important role in renal and gastrointestinal urate excretion. Highly selective to the anion urate.; Acts as an eosinophil chemoattractant. It also inhibits angiogenesis. Suppresses IFNG production by natural killer cells.
-
基因功能參考文獻:
- Gal-9 intrinsically regulates B cell activation and may differentially modulate B cell receptor signaling at steady state and within germinal centers. PMID: 30120234
- High GAL9 expression is associated with gastric cancer. PMID: 30106451
- Gal-9 is a promising biomarker for allograft dysfunction, but unable to differentiate allograft rejection from other causes of renal dysfunction in kidney transplantation recipients PMID: 29310109
- this study showed that blood level of galectin-9 increased during pregnancy PMID: 29205636
- Gal-9 expression determined the DFS and OS of ovarian cancer patients in two opposing ways-moderate Gal-9 expression was correlated with a reduced outcome as compared to Gal-9 negative cases, while patients with high Gal-9 expression showed the best outcome. PMID: 29361803
- these data indicate a novel role for galectin-9 in modulating innate immunity by inducing aldehyde dehydrogenase activity in CD103+ dendritic cells PMID: 28889122
- Gal-9 was down modulated in stroma of patients with chronic gastritis and Helicobacter pylori infection. PMID: 28939284
- T-cell immunoglobulin mucin-3/galectin-9 (Tim-3/Gal-9) binding signaling can also engage other binding partners to induce distinct cellular responses [Review]. PMID: 29027155
- the present study was the first to report the participation of Gal-9 in Chagas disease PMID: 28554765
- The interaction between Gal-9/TIM-3 pathway and follicular helper cells contributed to viral persistent in chronic hepatitis C virus infection. PMID: 28772217
- Our data reveal that Gal9 suppresses the growth of liver metastasis, possibly by inducing apoptosis through a mechanism involving mitochondria and changes in miRNA expression. Thus, Gal9 might serve as a therapeutic agent for the treatment of liver metastasis from pancreatic cancer. PMID: 28656219
- Exosomal total protein, Tim-3 and Galectin-9 were up-regulated in non-small cell lung cancer plasma. PMID: 29452091
- Galectin-9, a soluble lectin expressed by T cells, endothelial cells and dendritic cells, binds to and retains PDI on the cell surface. PMID: 28810662
- results suggested that Tim-3 and Gal-9 could downregulate T cell inflammation in Osteoarthritis PMID: 28393295
- Results show that human acute myeloid leukemia (AML) cells possess a secretory pathway which leads to the production and release of soluble Tim-3 and galectin-9. Both proteins prevent the activation of NK cells and impair their AML cell-killing activity. PMID: 28750861
- Significantly elevated Gal-9 levels were found in both minimal-mild (I-II) and moderate-severe (III-IV) stages of endometriosis in comparison with healthy controls. PMID: 29202955
- We investigated tumor-infiltrating CD4 and CD8 T cells and the expression of PD-L1, Galectin-9, and XAGE1 in stage I to IIIA lung adenocarcinomas using a tissue microarray to deduce their contribution to overall survival, and our data showed that PD-L1 expression was a positive indicator, whereas Galectin-9 and XAGE1 expression was negative. PMID: 27799141
- Tim3/Gal-9 alleviates the inflammation of TAO patients via suppressing Akt/NF-kappaB signaling pathway. PMID: 28756232
- Low Gal-9 expression is associated with pancreatic and ampullary cancer. PMID: 28470686
- Galectin 9 is a novel dectin 1 ligand in pancreatic ductal adenocarcinoma. Upon disruption of the dectin 1-galectin 9 axis, CD4(+) and CD8(+) T cells, which are dispensable for PDA progression in hosts with an intact signaling axis, become reprogrammed into indispensable mediators of anti-tumor immunity. PMID: 28394331
- X-ray structure of a protease-resistant mutant form of human galectin-9 having two carbohydrate recognition domains with a metal-binding site has been presented. PMID: 28687490
- These findings may indicate that an increase in the Gal-9 level, a novel immune checkpoint molecule, can reflect immune-related adverse effects of various biotherapies. PMID: 28321034
- Our data suggest a role of galectin-9 in regulating HIV transcription and viral production in vivo during therapy PMID: 27253379
- these data suggest that the high Tim-3 expression in monocytes could be utilized by tumor-promoting Gal-9 expression on CD4(+) T cells PMID: 28466780
- this study shows that in osteosarcoma patients, Tim3 expression did not directly mediate immune suppression, but the interaction between Tim3+ T cells and monocytes, naive CD4+ T cells, and Gal9-expressing CD4+ CD25+ Tregs could resulting in progressive suppression of Th1 responses PMID: 28103502
- The human recombinant galectin-9 has demonstrated anti-cancer activities, including inducing apoptosis in hematological, dermatological and gastrointestinal malignancies. In this review, the molecular characteristics, history and apoptosis-inducing potential of galectin-9 are described. [review] PMID: 28045432
- In this review, we summarize the latest knowledge on the structure, receptors, cellular targets, trafficking pathways and functional properties of galectin-9 and discuss how galectin-9-mediated signalling cascades can be exploited in cancers and immunotherapies PMID: 27581941
- this study shows that the levels of expression of Gal-9 on CD4+ T cells, CD8+ T cells, CD56+ T cells and in serum in patients with systemic lupus erythematosus are significantly higher than those of healthy controls PMID: 27394439
- In a genetic analysis of heavy consumers of alcohol, the authors associated 2 single-nucleotide polymorphisms in LGALS9 with the development of advanced alcoholic liver disease. PMID: 26598225
- The integrative analysis of galectins(Gal-1, -3, -4, -9) discriminated IBD from other intestinal inflammatory conditions and could be used as potential mucosal biomarker. PMID: 26891020
- Gal-9 suppresses the growth of GBC, possibly by inducing apoptosis and altering miRNA expression PMID: 26797414
- The expression of Galectin-9 mRNA has a close relationship with pathological differentiation, tumor staging, and recurrence metastasis in hepatocellular carcinoma PMID: 26823850
- The Gal-9/Tim-3 signal is important for the regulation of decidua NK cells function, which is beneficial for the maintenance of a normal pregnancy. PMID: 25578313
- Gal-9 suppressed T-helper 17 (Th17) and expanded regulatory T cells (Tregs), resulting in decreased IL-17 production and increased secretion of TGF-beta1 PMID: 26663989
- an abnormal Tim-3/Gal-9 pathway was able to facilitate the development of preeclampsia. PMID: 26342682
- Galectin-9 stimulated migration in human NK-92 cells by affecting F-actin polarization through the Rho/ROCK1 signaling pathway. PMID: 27028892
- may contribute to elevated galectin-9 and adaptive immune inhibition in hepatitis C virus infection PMID: 26475932
- TIM-3 and its ligand, galectin-9 (Gal-9), constitute an autocrine loop critical for leukemic stem cells self-renewal and development of human acute myeloid leukemia. PMID: 26279267
- Galectin-9 is involved in the pathogenesis of autoimmune thyroid disease.Graves' disease is associated with a defective expression of the immune regulatory molecule galectin-9 in antigen-presenting dendritic cells. PMID: 25880730
- Study found that LGALS9 was expressed in 68.4% of the human gastrointestinal stromal tumors (GIST) and Tim-3 in the infiltrated NK cells of 68.4% of GISTs and suggest that Tim-3/LGALS9 pathway may be involved in the immune checkpoint mechanism of GISTs. PMID: 26239720
- We also observed that the Gal-9/miR-22 axis may influence lymphocyte apoptosis and tumor cell proliferation. These studies contribute to a further understanding of the microRNAmediated regulation of the Gal-9 pathway . PMID: 26239725
- These results indicate the possibility that cooperative binding of oligosaccharide and neighboring polypeptide structures of monoclonal IgE to galectin-9 affects the overall affinity and specificity of the IgE-lectin interaction. PMID: 26582205
- These findings suggest that Gal-9 can be a candidate of therapeutic target in the treatment of cholangiocarcinoma PMID: 26260906
- the increased expression may be helpful to differentiate of oral squamous cell carcinoma from oral leukoplakia and oral lichen planus PMID: 25956455
- Data show that dengue virus (DV) infection specifically increased mRNA and protein levels of galectin-9 (Gal-9). PMID: 25754930
- Participation of TIM-3 and its ligand (galectin-9) in the pathogenesis of active generalized vitiligo PMID: 25784621
- Results show that galectin-9 inhibited the growth of hepatocellular carcinoma (HCC) cells by apoptosis, but not cell cycle arrest. Its antitumor effect is mediated by miR1246. PMID: 25823465
- Gal-9 expression is a potential independent prognostic factor for OS and RFS in patients with clear-cell renal cell carcinoma PMID: 25716202
- Tim-3, which specifically expresses on LSCs, is beneficial for LSCs survival and AML progression by promoting expansion of MDSCs and differentiating into TAMs at the leukemia site PMID: 24639110
- Gal-9 as a novel component of the first wave of the cytokine storm in acute HIV infection that is sustained at elevated levels in virally suppressed subjects PMID: 24786365
顯示更多
收起更多
-
亞細胞定位:Cytoplasm. Nucleus. Secreted.; [Isoform 2]: Secreted.; [Isoform 3]: Secreted.
-
組織特異性:Peripheral blood leukocytes and lymphatic tissues. Expressed in lung, liver, breast and kidney with higher levels in tumor endothelial cells than normal endothelium (at protein level). Expressed in trophoblast cells in decidua and placenta in pregnancy (a
-
數據庫鏈接:
Most popular with customers
-
-
YWHAB Recombinant Monoclonal Antibody
Applications: ELISA, WB, IHC, IF, FC
Species Reactivity: Human, Mouse, Rat
-
Phospho-YAP1 (S127) Recombinant Monoclonal Antibody
Applications: ELISA, WB, IHC
Species Reactivity: Human
-
-
-
-
-















