LHCGR Antibody
-
中文名稱:LHCGR兔多克隆抗體
-
貨號:CSB-PA012911LA01HU
-
規格:¥440
-
圖片:
-
Western blot
All lanes: LHCGR antibody at 2µg/ml
Lane 1: Mouse brain tissue
Lane 2: Mouse kidney tissue
Secondary
Goat polyclonal to rabbit IgG at 1/10000 dilution
Predicted band size: 79, 72 kDa
Observed band size: 79 kDa -
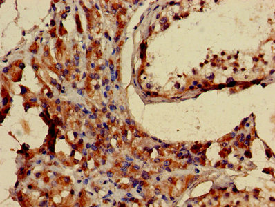
Immunohistochemistry of paraffin-embedded human testis tissue using CSB-PA012911LA01HU at dilution of 1:100
-
Immunofluorescent analysis of HepG2 cells using CSB-PA012911LA01HU at dilution of 1:100 and Alexa Fluor 488-congugated AffiniPure Goat Anti-Rabbit IgG(H+L)
-
-
其他:
產品詳情
-
產品名稱:Rabbit anti-Homo sapiens (Human) LHCGR Polyclonal antibody
-
Uniprot No.:
-
基因名:
-
別名:Gonadotropin receptor antibody; Gpcr19-rs1 antibody; GTHR-II antibody; HHG antibody; LCGR antibody; LGR2 antibody; LH-R antibody; LH/CG R antibody; LH/CG-R antibody; LH/CGR antibody; LHCGR antibody; LHR antibody; LHRHR antibody; LSH R antibody; LSH-R antibody; LSHR_HUMAN antibody; Luteinizing hormone receptor antibody; Luteinizing hormone/choriogonadotropin receptor antibody; Lutropin choriogonadotropic hormone receptor antibody; Lutropin choriogonadotropic receptor antibody; Lutropin-choriogonadotropic hormone receptor antibody; ULG5 antibody
-
宿主:Rabbit
-
反應種屬:Human, Mouse
-
免疫原:Recombinant Human Lutropin-choriogonadotropic hormone receptor protein (27-363AA)
-
免疫原種屬:Homo sapiens (Human)
-
標記方式:Non-conjugated
本頁面中的產品,LHCGR Antibody (CSB-PA012911LA01HU),的標記方式是Non-conjugated。對于LHCGR Antibody,我們還提供其他標記。見下表:
-
克隆類型:Polyclonal
-
抗體亞型:IgG
-
純化方式:>95%, Protein G purified
-
濃度:It differs from different batches. Please contact us to confirm it.
-
保存緩沖液:Preservative: 0.03% Proclin 300
Constituents: 50% Glycerol, 0.01M PBS, PH 7.4 -
產品提供形式:Liquid
-
應用范圍:ELISA, WB, IHC, IF
-
推薦稀釋比:
Application Recommended Dilution WB 1:500-1:2000 IHC 1:20-1:200 IF 1:50-1:200 -
Protocols:
-
儲存條件:Upon receipt, store at -20°C or -80°C. Avoid repeated freeze.
-
貨期:Basically, we can dispatch the products out in 1-3 working days after receiving your orders. Delivery time maybe differs from different purchasing way or location, please kindly consult your local distributors for specific delivery time.
-
用途:For Research Use Only. Not for use in diagnostic or therapeutic procedures.
相關產品
靶點詳情
-
功能:Receptor for lutropin-choriogonadotropic hormone. The activity of this receptor is mediated by G proteins which activate adenylate cyclase.
-
基因功能參考文獻:
- This study demonstrates that both gonadotrophin receptors9 FSH receptor (FSHR) and LH/choriogonadotrophin receptor (LHCGR) are expressed along the glandular epithelium of endometria and they mediate the effects of gonadotrophins on intracellular functions. PMID: 29974367
- Genotyping analysis showed no association between luteinizing hormone receptor (LHCGR) rs68073206 and male infertility, however, this polymorphism was significantly associated with testosterone levels in normozoospermic subjects. PMID: 28367994
- Data suggest that, during follicle maturation, levels of MIR122 determine levels of LHR mRNA expression in the ovary. (LHR = luteinizing hormone receptor; MIR122 = microRNA 122) [REVIEW] PMID: 29544643
- genetic association/pharmacogenetic studies in population in India: Data suggest that need for (and dose required of) fertility agent recombinant LH in addition to fertility agent recombinant FSH is associated with SNP in LHCGR in women undergoing ovarian stimulation in conjunction with in vitro fertilization. (LH = luteinizing hormone; FSH = follicle stimulating hormone) PMID: 29408742
- hCG and its receptor, LH/CGR, are expressed in numerous sites of the reproductive tract, both in gonadal and extra-goanadal tissues, promoting oocyte maturation, fertilization, implantation and early embryo development PMID: 28505106
- The reduced fertilisation and pregnancy rate was associated with a lower LH receptor density and a lack of essential down-regulation of the FSH and LH receptor. PMID: 28188844
- This work demonstrates that the expression of FSHR and LHCGR can be induced in hGL5 cells but that the FSHR-dependent cAMP/PKA pathway is constitutively silenced, possibly to protect cells from FSHR-cAMP-PKA-induced apoptosis. PMID: 27502035
- Inactivating mutations of the LHCGR gene may be a common cause of 46,XY primary amenorrhea. PMID: 27016457
- data demonstrate that the majority of LHR mutations lead to intracellular retention and highlight the potential for novel pharmacological chaperone therapeutics that can "rescue" expression/function of retained mutant GPCRs. PMID: 27533885
- expression and activation of LHCGR and ARF6 are up-regulated in GC from PCOS women but the mechanism of agonist-induced LHCGR internalization is unaltered PMID: 27061682
- We showed that GNRHR and LHCGR were highly expressed in some wildtype aldosterone-producing adenoma samples, and that they positively correlated with GnRH-stimulated aldosterone production. PMID: 27196470
- Mutation in the LHCGR gene is associated with Testotoxicosis. PMID: 26757946
- The luteinizing hormone/human chorionic gonadotrophin receptor (LHCGR) variant N312S and the follicle-stimulating hormone receptor (FSHR) variant N680S can be utilized for the prediction of pregnancy chances in women undergoing IVF. PMID: 26769719
- Data indicate two patients with peripheral precocious puberty and an activating mutation in the luteinizing hormone (LH))/choriogonadotropin receptor (LHCGR) gene. PMID: 26831561
- The expression of miR-592 and its effects on LHCG receptors in patients with polycystic ovary syndrome and normal controls are described. PMID: 26679164
- LHCGR levels in circulation predicts early and late preeclampsia in first trimester of pregnancy. PMID: 25676660
- Data suggest that rs13405728 single nucleotide polymorphism of the luteinizing hormone receptor (LHR) gene may be associated with slow ovarian response in assisted reproductive technology (ART). PMID: 26663062
- The insLQ polymorphism within LHR is associated with endometriosis and infertility. PMID: 25935136
- the LHR can act in an invertebrate demonstrates the conservation of factors required for GPCR function among phylogenetically distant organisms. PMID: 26112185
- Demonstrate the presence of LH receptors. Activation resulted in a dose-dependent increase in glucose-induced release of insulin. PMID: 25670721
- Our aim was to study the association of LHCGR polymorphism (rs2293275) with PCOS PMID: 25565299
- Melatonin affects the secretion of GnRH, LH and testosterone, improves sperm quality thereby regulating the testicular development and male reproduction. (Review) PMID: 25916694
- This is the first study to confirm the association of novel LHCGR and FSHR SNPs with PCOS. The differential association of LHCGR and FSHR variants with PCOS confirms the racial/ethnic contribution to their association with PCOS. PMID: 25649397
- Case Report: LHCGR nonsense mutation in an adult 46,XY female patient causing severe Leydig cell hypoplasia. PMID: 25079470
- A high prevalence of endometriosis, polymorphism in the LHCGR and GnRH1 and progonadoliberin-2 antibodies in serum was found among the patients with severe dysmotility after treatment with GnRH analogs. PMID: 25592315
- affected patients were all homozygous for a novel mutation in the LHCGR gene, a deletion of guanine in position 1850 (1850delG);the novel LHCGR mutation leads to complete inactivation of the LHCGR receptor due to trafficking and signaling abnormalities PMID: 25795638
- Data indicate that all solid pseudopapillary tumor of the pancreas {SPT) presented membranous and cytoplasmic staining for luteinizing hormone receptor (LH receptor). PMID: 25010708
- Data suggest LHR expression is up-regulated in granulosa cells and theca cells of early antral follicles, as follicles grow/mature, and in corpus luteum; low but significant expression of LHR is exhibited in cumulus cells (but not in stromal cells). PMID: 24874553
- this is the first report suggesting that LHCGR genetic variation might function in patient risk for ovarian hyperstimulation syndrome PMID: 23883350
- Silencing luteinizing hormone receptor expression suppresses androgen synthesis in prostate cancer cells. PMID: 25393079
- genetic association study (case-control study) in population in Egypt: Data suggest that an SNP in LHCGR (rs2293275) is associated with polycystic ovary syndrome (PCOS); homozygous 935A women are at higher risk to develop PCOS. PMID: 24592983
- miR-513a-3p is involved in the control of the LHCGR expression by an inversely regulated mechanism at the post-transcriptional level. PMID: 24747085
- Data (including data from subjects with mutations) suggest that signaling via LHCGR by luteinizing hormone and chorionic gonadotropin plays physiological roles in human development and pathophysiological roles in reproductive disorders. [REVIEW] PMID: 24283620
- during recovery from LH receptor desensitization, LH receptors are both located with DRM lipid environments and confined within small, mesoscale (80-160 nm) cell-surface compartments PMID: 23990106
- Although luteinizing hormone and chorionic gonadotropin bind to a common receptor, emerging evidence suggests that they have disparate effects on downstream signaling cascades. (Review) PMID: 24365330
- results of the experiments showed that hCGbeta action leads to the increase in ERK and AKT kinases phosphorylation in cancer cells and indicate that these biological effects can be achieved independently of human chorionic gonadotropin presence PMID: 24554412
- LHCGR and 17alpha-hydroxylase/17-20-lyase (CYP17A1) protein levels are increased in polycystic ovaries (PCOs). PMID: 24014605
- Regarding LHR, three patients were heterozygous for the known variant Glu354Lys and two for Ile374Thr. Intronic polymorphisms were not identified PMID: 23884663
- hypomethylation of LHCGR is a potential mechanism underlying susceptibility to polycystic ovary syndrome PMID: 24527662
- Examined the mechanisms of receptor signaling, intermolecular cooperation and intramolecular cis-activation. LHR-delExon10 was combined with LHR Lys605-->Glu, in which signaling is abolished, and the LHR mutant Cys131-->Arg, in which binding is deficient. PMID: 24438591
- AdipoR2 is regulated by the LH receptor function via a cAMP dependent mechanism. PMID: 23779096
- High expression/ activation of GPER, and low expression of LHCGR/FSHR correlate with significantly greatly survival in ovarian epithelial cancer patients. PMID: 23951246
- Expression levels of LHR-associated protein are determined in granulosa-luteal cells by real-time reverse-transcription (PCR). PMID: 23433069
- Data suggest that physical association of recombinant LHR (lutropin receptor) and FSHR (follitropin receptor) into heterodimeric complexes exhibits a pattern of cross-attenuation of signaling by each receptor and its hormone. PMID: 23825122
- A complex neuroendocrine circuit exists in the retina, involving hCG secreting cells, hCG targets and hCG-release controlling cells. PMID: 23285091
- case-control study comprising 651 TC cases and 313 controls in a Norwegian population was conducted for investigation of polymorphisms in the LHR, SRD5A and AR genes and their possible association with TC PMID: 22882535
- The LHCGR is able to differentiate the activity of luteinizing hormone and chorionic gonadotropin. PMID: 23071612
- A novel point mutation of the LHCGR gene has been identified in a family affected with FMPP. The c.1703C>T mutant LHCGR was confirmed to be constitutively active, which has led to maturation and proliferation of Leydig cells. PMID: 23225038
- Mutations in LHCGR are relatively rare causes of mild and severe forms of hypergonadotropic hypogonadism or disorders of sex development leading to infertility, both male and female. [REVIEW] PMID: 23044874
- The gene products LHCGR and FSHR therefore are likely to be important in the etiology of PCOS, regardless of ethnicity. PMID: 23118426
顯示更多
收起更多
-
相關疾病:Familial male precocious puberty (FMPP); Luteinizing hormone resistance (LHR)
-
亞細胞定位:Cell membrane; Multi-pass membrane protein.
-
蛋白家族:G-protein coupled receptor 1 family, FSH/LSH/TSH subfamily
-
組織特異性:Gonadal and thyroid cells.
-
數據庫鏈接:
Most popular with customers
-
YWHAB Recombinant Monoclonal Antibody
Applications: ELISA, WB, IHC, IF, FC
Species Reactivity: Human, Mouse, Rat
-
Phospho-YAP1 (S127) Recombinant Monoclonal Antibody
Applications: ELISA, WB, IHC
Species Reactivity: Human
-
-
-
-
-
-















