LIME1 Antibody
-
中文名稱:LIME1兔多克隆抗體
-
貨號:CSB-PA884463LA01HU
-
規格:¥440
-
圖片:
-
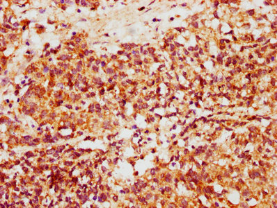
IHC image of CSB-PA884463LA01HU diluted at 1:500 and staining in paraffin-embedded human ovarian cancer performed on a Leica BondTM system. After dewaxing and hydration, antigen retrieval was mediated by high pressure in a citrate buffer (pH 6.0). Section was blocked with 10% normal goat serum 30min at RT. Then primary antibody (1% BSA) was incubated at 4°C overnight. The primary is detected by a biotinylated secondary antibody and visualized using an HRP conjugated SP system.
-
IHC image of CSB-PA884463LA01HU diluted at 1:500 and staining in paraffin-embedded human appendix tissue performed on a Leica BondTM system. After dewaxing and hydration, antigen retrieval was mediated by high pressure in a citrate buffer (pH 6.0). Section was blocked with 10% normal goat serum 30min at RT. Then primary antibody (1% BSA) was incubated at 4°C overnight. The primary is detected by a biotinylated secondary antibody and visualized using an HRP conjugated SP system.
-
Immunofluorescence staining of HepG2 cells with CSB-PA884463LA01HU at 1:166, counter-stained with DAPI. The cells were fixed in 4% formaldehyde, permeabilized using 0.2% Triton X-100 and blocked in 10% normal Goat Serum. The cells were then incubated with the antibody overnight at 4°C. The secondary antibody was Alexa Fluor 488-congugated AffiniPure Goat Anti-Rabbit IgG(H+L).
-
-
其他:
產品詳情
-
產品名稱:Rabbit anti-Homo sapiens (Human) LIME1 Polyclonal antibody
-
Uniprot No.:
-
基因名:LIME1
-
別名:LIME1 antibody; LIME antibody; LP8067 antibody; Lck-interacting transmembrane adapter 1 antibody; Lck-interacting membrane protein antibody; Lck-interacting molecule antibody
-
宿主:Rabbit
-
反應種屬:Human
-
免疫原:Recombinant Human Lck-interacting transmembrane adapter 1 protein (170-295AA)
-
免疫原種屬:Homo sapiens (Human)
-
標記方式:Non-conjugated
本頁面中的產品,LIME1 Antibody (CSB-PA884463LA01HU),的標記方式是Non-conjugated。對于LIME1 Antibody,我們還提供其他標記。見下表:
-
克隆類型:Polyclonal
-
抗體亞型:IgG
-
純化方式:>95%, Protein G purified
-
濃度:It differs from different batches. Please contact us to confirm it.
-
保存緩沖液:Preservative: 0.03% Proclin 300
Constituents: 50% Glycerol, 0.01M PBS, pH 7.4 -
產品提供形式:Liquid
-
應用范圍:ELISA, IHC, IF
-
推薦稀釋比:
Application Recommended Dilution IHC 1:500-1:1000 IF 1:50-1:200 -
Protocols:
-
儲存條件:Upon receipt, store at -20°C or -80°C. Avoid repeated freeze.
-
貨期:Basically, we can dispatch the products out in 1-3 working days after receiving your orders. Delivery time maybe differs from different purchasing way or location, please kindly consult your local distributors for specific delivery time.
-
用途:For Research Use Only. Not for use in diagnostic or therapeutic procedures.
相關產品
靶點詳情
-
功能:Involved in BCR (B-cell antigen receptor)-mediated signaling in B-cells and TCR (T-cell antigen receptor)-mediated T-cell signaling in T-cells. In absence of TCR signaling, may be involved in CD4-mediated inhibition of T-cell activation. Couples activation of these receptors and their associated kinases with distal intracellular events such as calcium mobilization or MAPK activation through the recruitment of PLCG2, GRB2, GRAP2, and other signaling molecules.
-
基因功能參考文獻:
- these results establish LIME as a transmembrane adaptor protein linking TCR stimulation to IS formation and integrin activation through activation of Vav(Vav guanine nucleotide exchange factor) PMID: 22395814
-
亞細胞定位:Cell membrane; Single-pass type III membrane protein. Note=Present in lipid rafts. Recruited to the immunological synapse upon conjugation of T-cell with antigen-presenting cell.
-
組織特異性:Expressed in peripheral blood lymphocytes, lymphoid tissues, and liver. Present in T-cells and plasma cells, and in various hematopoietic cell lines (at protein level).
-
數據庫鏈接:
Most popular with customers
-
YWHAB Recombinant Monoclonal Antibody
Applications: ELISA, WB, IHC, IF, FC
Species Reactivity: Human, Mouse, Rat
-
Phospho-YAP1 (S127) Recombinant Monoclonal Antibody
Applications: ELISA, WB, IHC
Species Reactivity: Human
-
-
-
-
-
-















