LINGO1 Antibody
-
中文名稱:LINGO1兔多克隆抗體
-
貨號:CSB-PA839321ESR2HU
-
規格:¥440
-
圖片:
-
Western blot
All lanes: LINGO antibody at 3.12μg/ml
Lane 1: Mouse lung tissue
Lane 2: Jurkat whole cell lysate
Lane 3: A549 whole cell lysate
Lane 4: HL60 whole cell lysate
Secondary
Goat polyclonal to rabbit IgG at 1/10000 dilution
Predicted band size: 70 kDa
Observed band size: 70 kDa -
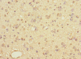
Immunohistochemistry of paraffin-embedded human brain tissue using CSB-PA839321ESR2HU at dilution of 1:100
-
Immunohistochemistry of paraffin-embedded human glioma using CSB-PA839321ESR2HU at dilution of 1:100
-
-
其他:
產品詳情
-
產品名稱:Rabbit anti-Homo sapiens (Human) LINGO1 Polyclonal antibody
-
Uniprot No.:
-
基因名:
-
別名:FLJ14594 antibody; LERN 1 antibody; LERN1 antibody; Leucine rich repeat and Ig domain containing 1 antibody; Leucine rich repeat neuronal 6A antibody; Leucine rich repeat neuronal protein 1 antibody; Leucine rich repeat neuronal protein 6A antibody; Leucine-rich repeat and immunoglobilin domain-containing protein 1 antibody; Leucine-rich repeat and immunoglobulin-like domain-containing nogo receptor-interacting protein 1 antibody; Leucine-rich repeat neuronal protein 1 antibody; Leucine-rich repeat neuronal protein 6A antibody; LIGO1_HUMAN antibody; Lingo 1 antibody; LINGO1 antibody; LRR and Ig domain containing Nogo Receptor interating protein antibody; Lrrn 6a antibody; Lrrn6a antibody; Lrrn6a protein antibody; MGC17422 antibody; Nogo Receptor interacting protein antibody; PRO227 antibody; UNQ201 antibody
-
宿主:Rabbit
-
反應種屬:Human, Mouse
-
免疫原:Recombinant Human Leucine-rich repeat and immunoglobulin-like domain-containing nogo receptor-interacting protein 1 protein (42-240AA)
-
免疫原種屬:Homo sapiens (Human)
-
標記方式:Non-conjugated
-
克隆類型:Polyclonal
-
抗體亞型:IgG
-
純化方式:Antigen Affinity Purified
-
濃度:It differs from different batches. Please contact us to confirm it.
-
保存緩沖液:PBS with 0.02% sodium azide, 50% glycerol, pH7.3.
-
產品提供形式:Liquid
-
應用范圍:ELISA, WB, IHC
-
推薦稀釋比:
Application Recommended Dilution WB 1:1000-1:5000 IHC 1:20-1:200 -
Protocols:
-
儲存條件:Upon receipt, store at -20°C or -80°C. Avoid repeated freeze.
-
貨期:Basically, we can dispatch the products out in 1-3 working days after receiving your orders. Delivery time maybe differs from different purchasing way or location, please kindly consult your local distributors for specific delivery time.
-
用途:For Research Use Only. Not for use in diagnostic or therapeutic procedures.
相關產品
靶點詳情
-
功能:Functional component of the Nogo receptor signaling complex (RTN4R/NGFR) in RhoA activation responsible for some inhibition of axonal regeneration by myelin-associated factors. Is also an important negative regulator of oligodentrocyte differentiation and axonal myelination. Acts in conjunction with RTN4 and RTN4R in regulating neuronal precursor cell motility during cortical development.
-
基因功能參考文獻:
- We identified homozygous missense variants in LINGO1, p.(Arg290His) in family F162 and p.(Tyr288Cys) in family PKMR65. Both variants were predicted to be pathogenic, and segregated with the phenotype in the respective families. Molecular modeling of LINGO1 suggests that both variants interfere with the glycosylation of the protein. PMID: 28837161
- LINGO1 rs11856808 plays a protective role by decreasing the risk for PD, but not for MSA, in Chinese population. PMID: 26254004
- LINGO1 protein acts as a gateway protein internalizing into the tumor cells when engaged by antibody and can carry antibody conjugated with drugs to kill Ewing sarcoma cells. PMID: 26979953
- The results of this study show Increased LINGO1 in the cerebellum of essential tremor patients. PMID: 24531928
- Lingo-1 signaling is altered in the schizophrenia brain. PMID: 24448210
- LINGO-1 can directly bind to ErbB2, block ErbB2 translocation into lipid rafts, and inhibit its phosphorylation. PMID: 24583087
- This review found that several gene variants in the LINGO1 gene may increase the risk of essential tremor. PMID: 23682623
- LINGO1 variants are associated with essential tremor in Chinese Han female patients. PMID: 23754655
- This study demonistrated that theLINGO1 rs9652490 and rs11856808 polymorphisms are not associated with risk for multiple sclerosis. PMID: 23574883
- Results of a meta-analysis suggest a relationship between LINGO1 rs11856808 polymorphism and risk of essential tremor (ET) and familial ET, while rs9652490 polymorphism is only associated with the risk for familial ET. PMID: 22425540
- the N-terminal region containing the leucine-rich repeats along with the transmembrane and cytoplasmic domains of LINGO-1 are not required for self-interaction or interaction with amyloid precursor protein PMID: 22133804
- the present meta-analysis does not support the notion that LINGO1 rs9652490 SNP is a major genetic risk factor for parkinson disease.[meta-analysis] PMID: 22710005
- This study showed that LINGO1 rs9652490 and rs11856808 are not associated with the risk of Parkinson's disease. PMID: 21955595
- LINGO-1, a transmembrane signaling protein, inhibits oligodendrocyte differentiation and myelination through intercellular self-interactions PMID: 22514275
- There were no significant differences in frequencies for all alleles between the essential tremor (ET) group and controls; however, an association of genotype A/G of the SNP rs9652490 with the familial ET phenotype was found. PMID: 21741293
- Single nucleotide polymorphism(SNP)s of LINGO1 play a role in the development of Parkinson's disease in the Italian population. PMID: 21752692
- LINGO1 variants are not a major risk factor for developing familial essential tremor in this population, which suggests the existence of other genetic risk factors responsible for familial essential tremor in this movement disorder clinic population. PMID: 21219542
- while there were no significant differences in the Lingo1 minor allele frequency and genotype frequency between Chinese essential tremor and controls, pooled analysis showed a higher proportion of GG genotype in tremor patients PMID: 21158743
- No significant differences are found in genotype and allele distribution in the rs9652490 variant of LINGO1 in either Chinese or Caucasian Parkinson disease patients. PMID: 20951767
- This study demonistrated that LINGO1 variants could increase risk of PD, specifically those presenting the non-rigid-akinetic phenotypes, which suggests that LINGO1 may have a role in the etiology of tremor in PD at least in the Spanish population. PMID: 21506150
- genotyping results lead us to conclude that no association exists between the key variant rs9652490 and Essential tremor (P(corr) = 1.00). PMID: 21264305
- LINGO1 variant rs9652490 (A > G) is unlikely to play a major role in Parkinson's disease in Chinese populations. PMID: 20957646
- LINGO-1 inhibits multiple aspects of oligodendrocyte differentiation independently of the LRRs via a process that requires p75(NTR) signalling PMID: 20659559
- LINGO1 and LINGO2 variants are associated with essential tremor and Parkinson disease PMID: 20369371
- The two markers rs9652490 and rs11856808 were not strongly related to the essential tremor,late onset sporadic Parkinson's disease, but the rs9652490G allele might be a protective factor for the early onset Parkinson's disease in Chinese population. PMID: 20600614
- The LINGO1 gene is a risk factor for essential tremor in a Caucasian population in North America. PMID: 20372186
- Our study gives further evidence that LINGO1 acts as a susceptibility gene for essential tremor. PMID: 20310002
- Thisdy demonstrateda significant association between LINGO1 rs9652490 and essential tremor (P = 0.014) and Parkinson disease (P = 0.0003), thus providing the first evidence of a genetic link between both diseases. PMID: 19720553
- LINGO1 SNP (rs9652490) is not associated with sporadic PD in our Polish cohort. PMID: 20117178
- In this study, SNPs rs9652490, rs11856808, and rs7177008 of LINGO1 were genotyped in a total of 694 Austrian subjects (349 PD, 345 controls). No association could be found between genotype or allele counts and Parkinson disease. PMID: 19908305
- The LERN1 expression pattern is specific to the central nervous system, highly and broadly expressed during early stages of development and gradually restricted to forebrain structures as development proceeds(LERN1) PMID: 14686891
- the Lingo-1 ectodomain is a module implicated in central nervous system repair inhibition PMID: 17005555
- inhibitory agents of LINGO-1 activity can protect dopaminergic neurons against degeneration PMID: 17726113
- Variant in the sequence of the LINGO1 gene confers risk of essential tremor. PMID: 19182806
- Quick identification of essential N-glycosylation sites of a heavily glycosylated neuroglycoprotein Lingo-1, which are sufficient for the support of its surface expression. PMID: 19254717
- the LINGO1 gene is associated with an increased risk for essential tremor PMID: 19553813
- LINGO1 variant increases risk of familial essential tremor. PMID: 19805735
顯示更多
收起更多
-
亞細胞定位:Cell membrane; Single-pass type I membrane protein.
-
組織特異性:Expressed exclusively in the central nervous system. Highest level in the in amygdala, hippocampus, thalamus and cerebral cortex. In the rest of the brain a basal expression seems to be always present. Up-regulated in substantia nigra neurons from Parkins
-
數據庫鏈接:
Most popular with customers
-
-
Phospho-YAP1 (S127) Recombinant Monoclonal Antibody
Applications: ELISA, WB, IHC
Species Reactivity: Human
-
-
-
-
-
-















