LIPA Antibody
-
中文名稱:LIPA兔多克隆抗體
-
貨號:CSB-PA012972EA01HU
-
規格:¥3900
-
圖片:
-
Western Blot
Positive WB detected in: MCF7 whole cell lysate(30μg), 293T whole cell lysate(30μg), U251 whole cell lysate(30μg), A549 whole cell lysate(30μg), Hela whole cell lysate(30μg)
All lanes: LIPA antibody at 1:1000
Secondary
Goat polyclonal to rabbit IgG at 1/20000 dilution
Predicted band size:46,40 kDa
Observed band size: 46 kDa
Exposure time: 10s -
IHC image of CSB-PA012972EA01HU diluted at 1:30 and staining in paraffin-embedded human Lung tissue performed on a Leica BondTM system. After dewaxing and hydration, antigen retrieval was mediated by high pressure in a citrate buffer (pH 6.0). Section was blocked with 10% normal goat serum 30min at RT. Then primary antibody (1% BSA) was incubated at 4°C overnight. The primary is detected by a Goat anti-rabbit polymer IgG labeled by HRP and visualized using 0.05% DAB. Secondary antibody only control: uses 1% BSA instead of primary antibody
-
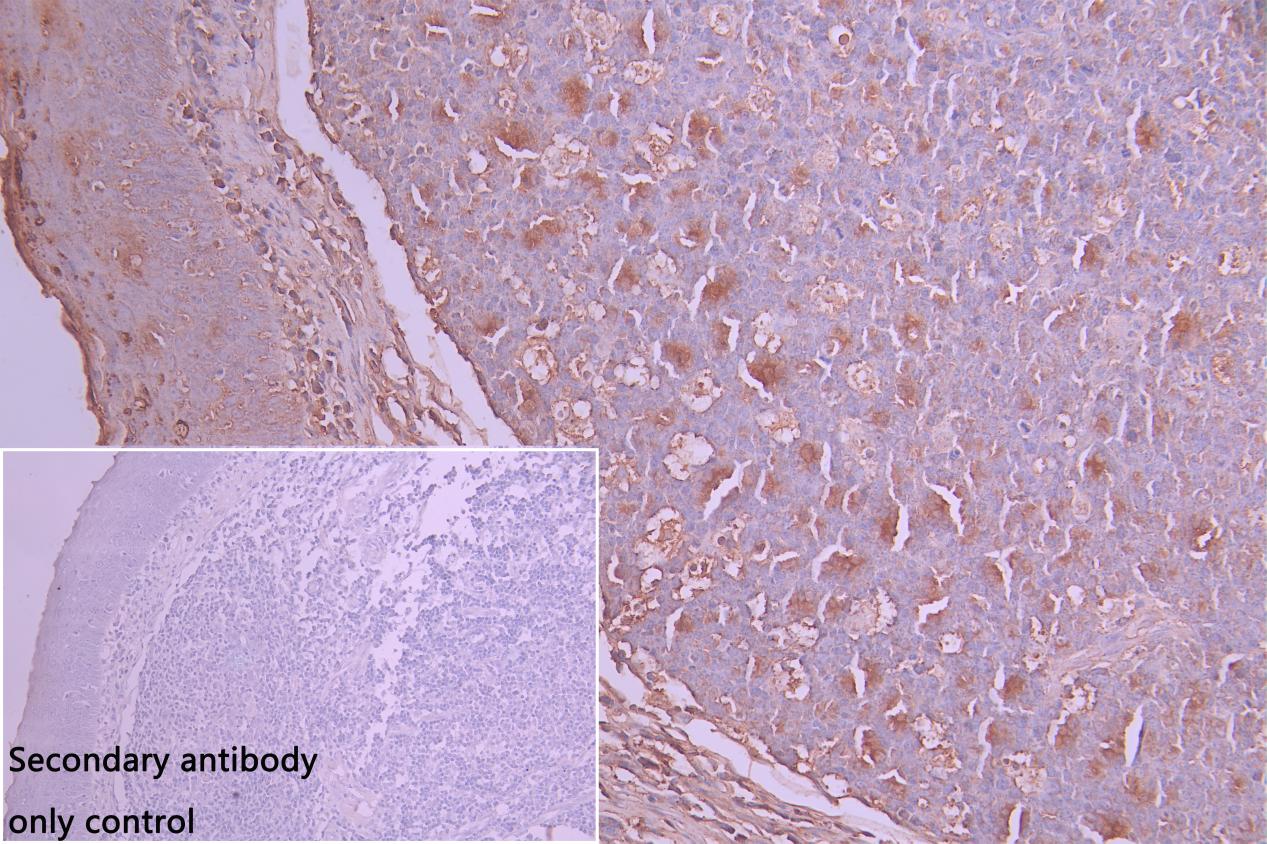
IHC image of CSB-PA012972EA01HU diluted at 1:30 and staining in paraffin-embedded human tonsil tissue performed on a Leica BondTM system. After dewaxing and hydration, antigen retrieval was mediated by high pressure in a citrate buffer (pH 6.0). Section was blocked with 10% normal goat serum 30min at RT. Then primary antibody (1% BSA) was incubated at 4°C overnight. The primary is detected by a Goat anti-rabbit polymer IgG labeled by HRP and visualized using 0.05% DAB. Secondary antibody only control: uses 1% BSA instead of primary antibody
-
Immunofluorescence staining of HepG2 cell with CSB-PA012972EA01HU at 1:15, counter-stained with DAPI. The cells were fixed in 4% formaldehyde and and permeated by 0.2% TritonX-100 for 15 min. Then 10% normal goat serum to block non-specific protein-protein interactions . The cells were then incubated with the antibody overnight at 4℃. The secondary antibody was Alexa Fluor 488-congugated AffiniPure Goat Anti-Rabbit IgG(H+L).
-
Immunofluorescence staining of HepG2 cell with 5% goat serum, counter-stained with DAPI. The cells were fixed in 4% formaldehyde and blocked in 10% normal Goat Serum. The cells were then incubated with the antibody overnight at 4C. The secondary antibody was Alexa Fluor 488-congugated AffiniPure Goat Anti-Rabbit IgG(H+L).
-
Immunofluorescence staining of PC-3 cell with CSB-PA012972EA01HU at 1:15, counter-stained with DAPI. The cells were fixed in 4% formaldehyde and and permeated by 0.2% TritonX-100 for 15 min. Then 10% normal goat serum to block non-specific protein-protein interactions . The cells were then incubated with the antibody overnight at 4℃. The secondary antibody was Alexa Fluor 488-congugated AffiniPure Goat Anti-Rabbit IgG(H+L).
-
Immunofluorescence staining of PC-3 cell with 5% goat serum, counter-stained with DAPI. The cells were fixed in 4% formaldehyde and blocked in 10% normal Goat Serum. The cells were then incubated with the antibody overnight at 4C. The secondary antibody was Alexa Fluor 488-congugated AffiniPure Goat Anti-Rabbit IgG(H+L).
-
-
其他:
產品詳情
-
產品描述:
The product CSB-PA012972EA01HU is a rabbit anti-human LIPA polyclonal antibody. It was made by inoculating a rabbit with the recombinant human Lysosomal acid lipase/cholesteryl ester hydrolase protein. It was subjected to purification through and Antigen affinity got an ultra-high purity (up to 95%).
This LIPA polyclonal antibody is reactive with human samples and can recognize LIPA protein. It has undergone multiple quality validation in ELISA, WB, IHC, and IF applications. It suggests that this antibody can be used to quantify LIPA protein level, identify its presence and size, and localize the LIPa protein.
-
產品名稱:Rabbit anti-Homo sapiens (Human) LIPA Polyclonal antibody
-
Uniprot No.:
-
基因名:
-
別名:Acid cholesteryl ester hydrolase antibody; CESD antibody; cholesterol ester hydrolase antibody; cholesterol ester storage disease antibody; Cholesteryl esterase antibody; Hydrolase deficiency antibody; LAL antibody; LAL deficiency cholesterol ester antibody; LICH_HUMAN antibody; lipA antibody; LIPA deficiency antibody; Lipase A antibody; lipase A; lysosomal acid; cholesterol esterase antibody; lysosomal acid lipase antibody; lysosomal acid lipase deficiency antibody; Lysosomal acid lipase/cholesteryl ester hydrolase antibody; Sterol esterase antibody
-
宿主:Rabbit
-
反應種屬:Human
-
免疫原:Recombinant Human Lysosomal acid lipase/cholesteryl ester hydrolase protein
-
免疫原種屬:Homo sapiens (Human)
-
標記方式:Non-conjugated
本頁面中的產品,LIPA Antibody (CSB-PA012972EA01HU),的標記方式是Non-conjugated。對于LIPA Antibody,我們還提供其他標記。見下表:
-
克隆類型:Polyclonal
-
抗體亞型:IgG
-
純化方式:Antigen?affinity?purification
-
濃度:It differs from different batches. Please contact us to confirm it.
-
保存緩沖液:Preservative:?0.02%?sodium?azide
Constituents:?PBS?containing?50%?glycerol pH 7.3 -
產品提供形式:Liquid
-
應用范圍:ELISA, WB, IHC, IF
-
推薦稀釋比:
Application Recommended Dilution WB 1:500-1:2000 IHC 1:20-1:200 IF 1:100-1:100 -
Protocols:
-
儲存條件:Upon receipt, store at -20°C or -80°C. Avoid repeated freeze.
-
貨期:Basically, we can dispatch the products out in 1-3 working days after receiving your orders. Delivery time maybe differs from different purchasing way or location, please kindly consult your local distributors for specific delivery time.
-
用途:For Research Use Only. Not for use in diagnostic or therapeutic procedures.
相關產品
靶點詳情
-
功能:Catalyzes the deacylation of triacylglyceryl and cholesteryl ester core lipids of endocytosed low density lipoproteins to generate free fatty acids and cholesterol.
-
基因功能參考文獻:
- Report LIPA variants/phenotype in childhood-onset lysosomal acid lipase deficiency. PMID: 28881270
- LAL activity is significantly reduced in NAFLD, compared to that in HCV patients. This finding is particularly evident in the pre-cirrhotic stage of disease. LAL activity is also correlated with platelet and white blood cell count, suggesting an analytic interference of portal-hypertension-induced pancytopenia on DBS-determined LAL activity. PMID: 28587063
- LAL plays a critical role in regulating mesenchymal stem cells' ability to stimulate tumor growth and metastasis, which provides a mechanistic basis for targeting LAL in MSCs to reduce the risk of cancer metastasis PMID: 27531897
- Report a marked reduction of LAL activity in patients with cryptogenic cirrhosis. PMID: 28396038
- LIPA mutations may have a role in with a clinical diagnosis of familial hypercholesterolemia PMID: 27423329
- Use CRISPR/Cas9 techniques to knockout LIPA in human induced pluripotent stem cells and differentiate them to macrophages. PMID: 28882870
- LIPA associated with Familial Hypercholesterolemia and Polygenic Hypercholesterolemia in patients with Acute Coronary Syndrome , age =65 years, and LDL-C levels >/=160 mg/dl. PMID: 28958330
- Study demonstrates that liver cirrhosis from any etiology is characterized by a significant reduction of LAL activity but no known c.894G>A SNP, which is likely on an acquired base and independent from the etiology of hepatic disease. PMID: 27219619
- Coronary artery disease-associated coding variant rs1051338 causes reduced lysosomal LAL protein and activity because of increased LAL degradation. PMID: 28279971
- results indicate that LAL is the major acid RE hydrolase and required for functional retinoid homeostasis. PMID: 27354281
- These findings suggest a strong association between impaired LAL activity and Non-alcoholic fatty liver disease. PMID: 26288848
- lysosomal acid lipase in hepatocytes is a critical metabolic enzyme in controlling neutral lipid metabolism PMID: 26212911
- The observed loss-of-function phenotype in cholesteryl ester storage disease patients with the His295Tyr (H295Y) mutation in the LAL gene might arise from a combination of protein destabilization and the shift to a non-functional soluble aggregate. PMID: 25620107
- Case Report: Mexican sisters with heterozygous mutations in exon 4: c.253C>A and c.294C>G resulting in lysosomal acid lipase deficiency. PMID: 25624737
- Wolmans disease is a rare autosomal recessive lysosomal storage disease. PMID: 24832708
- To our knowledge, this is the first pediatric case of genetically and biopsy confirmed CESD without hepatomegaly, suggesting that this diagnosis can be easily missed. PMID: 24122380
- the rs1412444 and rs2246833 of the LIPA gene are shared susceptibility polymorphisms for CAD among different ethnicities. PMID: 24069331
- used (1)H magnetic resonance (MR) spectroscopy to characterize the abnormalities in hepatic lipid content and composition in patients with LAL deficiency PMID: 23624251
- The results show that lysosomal acid lipase E8SJM mutation carriers have an alteration in lipid profile with a Polygenic Hypercholesterolemia phenotype. PMID: 22795295
- CESD prevalence in African and Asian populations may require full-gene LIPA sequencing to determine heterozygote frequencies. CESD may be underdiagnosed in the general Caucasian and Hispanic populations. PMID: 23424026
- Mutations in lysosomal acid lipase A result in two phenotypes depending on the extent of lysosomal acid lipase deficiency. [Review] PMID: 23652569
- The expression of LIPA may be associated with increased phospholipid content in the brains of violent suicide completers. PMID: 23164340
- LIPA polymorphisms contribute to the interindividual variability observed in obesity-related metabolic complications PMID: 22395809
- study identified two novel mutations of LIPA gene in Wolman Disease patients which abolished the expression of LAL enzyme; also found that all cholesteryl ester storage disease patients carried the common mutant allele c.894G>A PMID: 22227072
- a novel paternally inherited c.482delA mutation in exon 5 of Lipase A that results in a frameshift mutation at amino acid 161 is reported in a fatal case of Wolman disease PMID: 21963785
- Lysosomal acid lipase in myeloid cells plays a critical role in maintaining normal hematopoietic cell development and balancing immunosuppression and inflammation. PMID: 21900179
- macrophage cholesteryl ester hydrolase associates with its intracellular substrate (lipid droplets) and hydrolyzes cholesteryl esters more efficiently from mixed droplets PMID: 16024911
- The human liver enzyme is expressed in hepatocytes, where it potentially regulates the synthesis of bile acids and thus the removal of cholesterol from the body. PMID: 16131527
- Although LAL contributed to the deesterification of DHEA-FAE, it was not solely responsible for the hydrolysis. PMID: 18796546
- the molecular characterization of three heterozygous patients with Cholesteryl Ester Storage Disease carrying the common LIPA gene mutation (c.894 G>A, del p.S275_Q298), in combination with two novel mutations resulting in null alleles, was reported. PMID: 19307143
顯示更多
收起更多
-
相關疾病:Wolman disease (WOD); Cholesteryl ester storage disease (CESD)
-
亞細胞定位:Lysosome.
-
蛋白家族:AB hydrolase superfamily, Lipase family
-
組織特異性:Most abundantly expressed in brain, lung, kidney and mammary gland, a moderate expression seen in placenta and expressed at low levels in the liver and heart.
-
數據庫鏈接:
Most popular with customers
-
-
YWHAB Recombinant Monoclonal Antibody
Applications: ELISA, WB, IHC, IF, FC
Species Reactivity: Human, Mouse, Rat
-
Phospho-YAP1 (S127) Recombinant Monoclonal Antibody
Applications: ELISA, WB, IHC
Species Reactivity: Human
-
-
-
-
-















