LMAN1L Antibody
-
中文名稱:LMAN1L兔多克隆抗體
-
貨號:CSB-PA862055LA01HU
-
規格:¥440
-
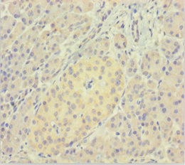
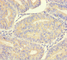
圖片:
-
其他:
產品詳情
-
產品名稱:Rabbit anti-Homo sapiens (Human) LMAN1L Polyclonal antibody
-
Uniprot No.:
-
基因名:
-
別名:LMAN1L antibody; ERGL antibody; UNQ2784/PRO7174Protein ERGIC-53-like antibody; ERGIC53-like protein antibody; Lectin mannose-binding 1-like antibody; LMAN1-like protein antibody
-
宿主:Rabbit
-
反應種屬:Human
-
免疫原:Recombinant Human Protein ERGIC-53-like protein (26-462AA)
-
免疫原種屬:Homo sapiens (Human)
-
標記方式:Non-conjugated
本頁面中的產品,LMAN1L Antibody (CSB-PA862055LA01HU),的標記方式是Non-conjugated。對于LMAN1L Antibody,我們還提供其他標記。見下表:
-
克隆類型:Polyclonal
-
抗體亞型:IgG
-
純化方式:>95%, Protein G purified
-
濃度:It differs from different batches. Please contact us to confirm it.
-
保存緩沖液:Preservative: 0.03% Proclin 300
Constituents: 50% Glycerol, 0.01M PBS, PH 7.4 -
產品提供形式:Liquid
-
應用范圍:ELISA, IHC
-
推薦稀釋比:
Application Recommended Dilution IHC 1:20-1:200 -
Protocols:
-
儲存條件:Upon receipt, store at -20°C or -80°C. Avoid repeated freeze.
-
貨期:Basically, we can dispatch the products out in 1-3 working days after receiving your orders. Delivery time maybe differs from different purchasing way or location, please kindly consult your local distributors for specific delivery time.
-
用途:For Research Use Only. Not for use in diagnostic or therapeutic procedures.
相關產品
靶點詳情
-
基因功能參考文獻:
- ERGIC-53 provides a platform that receives micro(2)L(2) subunits from the BiP-dependent checkpoint, assisting polymerization. In this process, ERp44 couples thiol-dependent assembly and quality control. PMID: 17805346
- Binding of ERGIC-53 to sugar is enhanced by its interaction with MCFD2, and defects in this interaction in factor V and VIII deeficient patients may be the cause for reduced secretion of factors V and VIII. PMID: 18056485
- The results reveal ERGIC-53 to be an intracellular transport receptor of alpha1-AT and provide direct evidence for active receptor-mediated ER export of a soluble secretory protein in higher eukaryotes PMID: 18283111
-
亞細胞定位:Endoplasmic reticulum-Golgi intermediate compartment membrane; Single-pass type I membrane protein.
-
組織特異性:Highly expressed in normal and neoplastic prostate. Also expressed in cardiac atrium, salivary gland, spleen and selective cells in the CNS.
-
數據庫鏈接:
Most popular with customers
-
-
YWHAB Recombinant Monoclonal Antibody
Applications: ELISA, WB, IHC, IF, FC
Species Reactivity: Human, Mouse, Rat
-
Phospho-YAP1 (S127) Recombinant Monoclonal Antibody
Applications: ELISA, WB, IHC
Species Reactivity: Human
-
-
-
-
-















