LPO Antibody
-
中文名稱:LPO兔多克隆抗體
-
貨號:CSB-PA013066LA01HU
-
規格:¥440
-
圖片:
-
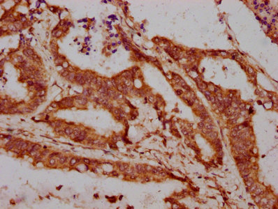
IHC image of CSB-PA013066LA01HU diluted at 1:300 and staining in paraffin-embedded human colon cancer performed on a Leica BondTM system. After dewaxing and hydration, antigen retrieval was mediated by high pressure in a citrate buffer (pH 6.0). Section was blocked with 10% normal goat serum 30min at RT. Then primary antibody (1% BSA) was incubated at 4°C overnight. The primary is detected by a biotinylated secondary antibody and visualized using an HRP conjugated SP system.
-
Western Blot
Positive WB detected in: K562 whole cell lysate, HL60 whole cell lysate
All lanes: LPO antibody at 5.1μg/ml
Secondary
Goat polyclonal to rabbit IgG at 1/50000 dilution
Predicted band size: 81, 71 kDa
Observed band size: 81 kDa
-
-
其他:
產品詳情
-
產品名稱:Rabbit anti-Homo sapiens (Human) LPO Polyclonal antibody
-
Uniprot No.:
-
基因名:LPO
-
別名:LPO antibody; SAPX antibody; Lactoperoxidase antibody; LPO antibody; EC 1.11.1.7 antibody; Salivary peroxidase antibody; SPO antibody
-
宿主:Rabbit
-
反應種屬:Human
-
免疫原:Recombinant Human Lactoperoxidase protein (81-190AA)
-
免疫原種屬:Homo sapiens (Human)
-
標記方式:Non-conjugated
本頁面中的產品,LPO Antibody (CSB-PA013066LA01HU),的標記方式是Non-conjugated。對于LPO Antibody,我們還提供其他標記。見下表:
-
克隆類型:Polyclonal
-
抗體亞型:IgG
-
純化方式:>95%, Protein G purified
-
濃度:It differs from different batches. Please contact us to confirm it.
-
保存緩沖液:Preservative: 0.03% Proclin 300
Constituents: 50% Glycerol, 0.01M PBS, pH 7.4 -
產品提供形式:Liquid
-
應用范圍:ELISA, WB, IHC
-
推薦稀釋比:
Application Recommended Dilution WB 1:500-1:5000 IHC 1:200-1:500 -
Protocols:
-
儲存條件:Upon receipt, store at -20°C or -80°C. Avoid repeated freeze.
-
貨期:Basically, we can dispatch the products out in 1-3 working days after receiving your orders. Delivery time maybe differs from different purchasing way or location, please kindly consult your local distributors for specific delivery time.
-
用途:For Research Use Only. Not for use in diagnostic or therapeutic procedures.
相關產品
靶點詳情
-
功能:Antimicrobial agent which utilizes hydrogen peroxide and thiocyanate (SCN) to generate the antimicrobial substance hypothiocyanous acid (HOSCN). May contribute to airway host defense against infection.
-
基因功能參考文獻:
- The crystal structure of the complex of LPO with MZY showed that MZY bound to LPO in the substrate-binding site on the distal heme side. MZY was oriented in the substrate-binding site in such a way that the sulfur atom is at a distance of 2.58 A from the heme iron PMID: 28653416
- LPO mRNA was undetectable in the gastric mucosa. PMID: 27048452
- Oral peroxidase activity as a marker of chronic alcohol abuse may help in the diagnosis of alcoholism. PMID: 23042278
- establish urate as a likely physiological substrate for LPO that will influence host defense and give rise to reactive electrophilic metabolites PMID: 24928513
- High intensity of caries is associated with increased levels of some salivary components - sIgA, histatin-5 and lactoperoxidase. PMID: 24974109
- a functional LPO system exists in human airways and may contribute to airway host defense against infection PMID: 12626341
- lactoperoxidase may play an important role in the metabolic events associated with Parkinson's disease PMID: 15384204
- Analysis of the role of thiocyanate (SCN-), in modulating the catalytic activity of myeloperoxidase (MPO) and other members of the lactoperoxidase (LPO) and eosinophil peroxidase (EPO) PMID: 15894800
- Splice variants may contribute to LPO molecular heterogeneity and its regulation by intracellular compartmental localization in respiratory epithelium. PMID: 19059195
顯示更多
收起更多
-
亞細胞定位:Secreted.
-
蛋白家族:Peroxidase family, XPO subfamily
-
組織特異性:Mammary gland; milk and salivary gland. Found in bronchial submucosal glands.
-
數據庫鏈接:
Most popular with customers
-
-
YWHAB Recombinant Monoclonal Antibody
Applications: ELISA, WB, IHC, IF, FC
Species Reactivity: Human, Mouse, Rat
-
Phospho-YAP1 (S127) Recombinant Monoclonal Antibody
Applications: ELISA, WB, IHC
Species Reactivity: Human
-
-
-
-
-















