LY75 Antibody
-
中文名稱:LY75兔多克隆抗體
-
貨號:CSB-PA013251ESR1HU
-
規格:¥440
-
圖片:
-
Western blot
All lanes: LY75 antibody IgG at 1.57μg/ml + Mouse liver tissue
Secondary
Goat polyclonal to rabbit IgG at 1/10000 dilution
Predicted band size: 199, 216, 20, 210 kDa
Observed band size: 199 kDa -
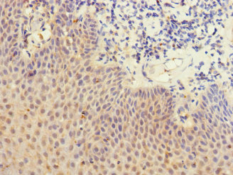
Immunohistochemistry of paraffin-embedded human tonsil tissue using CSB-PA013251ESR1HU at dilution of 1:100
-
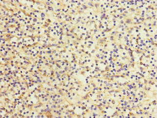
Immunohistochemistry of paraffin-embedded human spleen tissue using CSB-PA013251ESR1HU at dilution of 1:100
-
-
其他:
產品詳情
-
產品名稱:Rabbit anti-Homo sapiens (Human) LY75 Polyclonal antibody
-
Uniprot No.:
-
基因名:
-
別名:C-type lectin domain family 13 member B antibody; CD 205 antibody; CD205 antibody; CD205 antigen antibody; CLEC 13B antibody; CLEC13B antibody; DEC 205 antibody; DEC-205 antibody; DEC205 antibody; gp200 antibody; gp200 MR6 antibody; gp200-MR6 antibody; LY 75 antibody; Ly-75 antibody; LY75 antibody; LY75_HUMAN antibody; Lymphocyte antigen 75 antibody; Renal Cell Carcinoma (gp200) antibody
-
宿主:Rabbit
-
反應種屬:Human, Mouse
-
免疫原:Recombinant Human Lymphocyte antigen 75 protein (440-680AA)
-
免疫原種屬:Homo sapiens (Human)
-
標記方式:Non-conjugated
-
克隆類型:Polyclonal
-
抗體亞型:IgG
-
純化方式:Antigen Affinity Purified
-
濃度:It differs from different batches. Please contact us to confirm it.
-
保存緩沖液:PBS with 0.02% sodium azide, 50% glycerol, pH7.3.
-
產品提供形式:Liquid
-
應用范圍:ELISA, WB, IHC
-
推薦稀釋比:
Application Recommended Dilution WB 1:1000-1:5000 IHC 1:20-1:200 -
Protocols:
-
儲存條件:Upon receipt, store at -20°C or -80°C. Avoid repeated freeze.
-
貨期:Basically, we can dispatch the products out in 1-3 working days after receiving your orders. Delivery time maybe differs from different purchasing way or location, please kindly consult your local distributors for specific delivery time.
-
用途:For Research Use Only. Not for use in diagnostic or therapeutic procedures.
相關產品
靶點詳情
-
功能:Acts as an endocytic receptor to direct captured antigens from the extracellular space to a specialized antigen-processing compartment. Causes reduced proliferation of B-lymphocytes.
-
亞細胞定位:Membrane; Single-pass type I membrane protein.
-
組織特異性:Expressed in spleen, thymus, colon and peripheral blood lymphocytes. Detected in myeloid and B-lymphoid cell lines. Isoform 2 and isoform 3 are expressed in malignant Hodgkin lymphoma cells called Hodgkin and Reed-Sternberg (HRS) cells.
-
數據庫鏈接:
Most popular with customers
-
-
YWHAB Recombinant Monoclonal Antibody
Applications: ELISA, WB, IHC, IF, FC
Species Reactivity: Human, Mouse, Rat
-
Phospho-YAP1 (S127) Recombinant Monoclonal Antibody
Applications: ELISA, WB, IHC
Species Reactivity: Human
-
-
-
-
-















