LYAR Antibody
-
中文名稱:LYAR兔多克隆抗體
-
貨號:CSB-PA882130LA01HU
-
規格:¥440
-
圖片:
-
Western Blot
Positive WB detected in: K562 whole cell lysate, Hela whole cell lysate, SH-SY5Y whole cell lysate, PC-3 whole cell lysate
All lanes: LYAR antibody at 2.5μg/ml
Secondary
Goat polyclonal to rabbit IgG at 1/50000 dilution
Predicted band size: 44 kDa
Observed band size: 44 kDa -
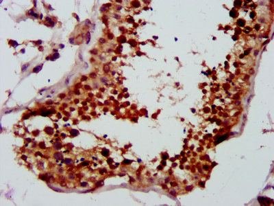
IHC image of CSB-PA882130LA01HU diluted at 1:500 and staining in paraffin-embedded human testis tissue performed on a Leica BondTM system. After dewaxing and hydration, antigen retrieval was mediated by high pressure in a citrate buffer (pH 6.0). Section was blocked with 10% normal goat serum 30min at RT. Then primary antibody (1% BSA) was incubated at 4°C overnight. The primary is detected by a biotinylated secondary antibody and visualized using an HRP conjugated SP system.
-
Immunofluorescence staining of Hela cells with CSB-PA882130LA01HU at 1:166, counter-stained with DAPI. The cells were fixed in 4% formaldehyde, permeabilized using 0.2% Triton X-100 and blocked in 10% normal Goat Serum. The cells were then incubated with the antibody overnight at 4°C. The secondary antibody was Alexa Fluor 488-congugated AffiniPure Goat Anti-Rabbit IgG(H+L).
-
-
其他:
產品詳情
-
產品名稱:Rabbit anti-Homo sapiens (Human) LYAR Polyclonal antibody
-
Uniprot No.:
-
基因名:LYAR
-
別名:Cell growth regulating nucleolar protein antibody; Cell growth-regulating nucleolar protein antibody; Likely ortholog of mouse Ly1 antibody reactive clone antibody; Ly1 antibody reactive antibody; Ly1 antibody reactive homolog (mouse) antibody; Ly1 antibody reactive homolog antibody; LYAR antibody; LYAR_HUMAN antibody; ZC2HC2 antibody; ZLYAR antibody
-
宿主:Rabbit
-
反應種屬:Human
-
免疫原:Recombinant Human Cell growth-regulating nucleolar protein (1-379AA)
-
免疫原種屬:Homo sapiens (Human)
-
標記方式:Non-conjugated
本頁面中的產品,LYAR Antibody (CSB-PA882130LA01HU),的標記方式是Non-conjugated。對于LYAR Antibody,我們還提供其他標記。見下表:
-
克隆類型:Polyclonal
-
抗體亞型:IgG
-
純化方式:>95%, Protein G purified
-
濃度:It differs from different batches. Please contact us to confirm it.
-
保存緩沖液:Preservative: 0.03% Proclin 300
Constituents: 50% Glycerol, 0.01M PBS, PH 7.4 -
產品提供形式:Liquid
-
應用范圍:ELISA, WB, IHC, IF
-
推薦稀釋比:
Application Recommended Dilution WB 1:500-1:5000 IHC 1:500-1:1000 IF 1:50-1:200 -
Protocols:
-
儲存條件:Upon receipt, store at -20°C or -80°C. Avoid repeated freeze.
-
貨期:Basically, we can dispatch the products out in 1-3 working days after receiving your orders. Delivery time maybe differs from different purchasing way or location, please kindly consult your local distributors for specific delivery time.
-
用途:For Research Use Only. Not for use in diagnostic or therapeutic procedures.
相關產品
靶點詳情
-
功能:Plays a role in the maintenance of the appropriate processing of 47S/45S pre-rRNA to 32S/30S pre-rRNAs and their subsequent processing to produce 18S and 28S rRNAs. Also acts at the level of transcription regulation. Along with PRMT5, binds the gamma-globin (HBG1/HBG2) promoter and represses its expression. In neuroblastoma cells, may also repress the expression of oxidative stress genes, including CHAC1, HMOX1, SLC7A11, ULBP1 and SNORD41 that encodes a small nucleolar RNA. Preferentially binds to a DNA motif containing 5'-GGTTAT-3'. Negatively regulates the antiviral innate immune response by targeting IRF3 and impairing its DNA-binding activity. In addition, inhibits NF-kappa-B-mediated expression of proinflammatory cytokines. Stimulates phagocytosis of photoreceptor outer segments by retinal pigment epithelial cells. Prevents nucleolin/NCL self-cleavage, maintaining a normal steady-state level of NCL protein in undifferentiated embryonic stem cells (ESCs), which in turn is essential for ESC self-renewal.
-
基因功能參考文獻:
- Data suggest that LYAR induces proliferation and promotes survival of neuroblastoma cells by repressing the expression of oxidative stress genes such as CHAC1 and suppressing oxidative stress, and identify LYAR as a novel co-factor in N-Myc oncogenesis. PMID: 28686580
- LYAR may promote tumor cell migration and invasion by upregulating galectin-1 gene expression in colorectal cancer. PMID: 26413750
- Results show that LYAR protein expression is testis-predominant but can also be found in cancer cells originated from tissues other than testis. Lyar seems to promote proliferation of NIH-3T3 cells. PMID: 24990247
- The data indicate that LYAR acts as a novel transcription factor that binds the gamma-globin gene, and is essential for silencing the gamma-globin gene. PMID: 25092918
- Over-expression of LYAR increases cell proliferation without affecting the expression of c-Myc or p53. Some rapidly growing cells enhance ribosome biogenesis by increasing the expression of LYAR. PMID: 24495227
顯示更多
收起更多
-
亞細胞定位:Nucleus. Nucleus, nucleolus. Cytoplasm. Cell projection, cilium, photoreceptor outer segment.
-
組織特異性:Predominantly expressed in testis.
-
數據庫鏈接:
Most popular with customers
-
-
YWHAB Recombinant Monoclonal Antibody
Applications: ELISA, WB, IHC, IF, FC
Species Reactivity: Human, Mouse, Rat
-
Phospho-YAP1 (S127) Recombinant Monoclonal Antibody
Applications: ELISA, WB, IHC
Species Reactivity: Human
-
-
-
-
-















