LYG2 Antibody
-
中文名稱:LYG2兔多克隆抗體
-
貨號:CSB-PA773017LA01HU
-
規格:¥440
-
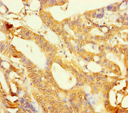
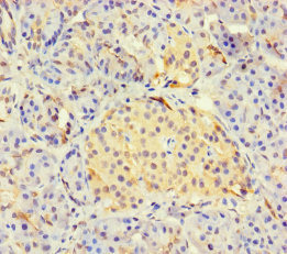
圖片:
-
其他:
產品詳情
-
產品名稱:Rabbit anti-Homo sapiens (Human) LYG2 Polyclonal antibody
-
Uniprot No.:
-
基因名:LYG2
-
別名:LYG 2 antibody; Lyg2 antibody; LYG2_HUMAN antibody; LYGH antibody; Lysozyme G like 2 antibody; Lysozyme g like protein 2 antibody; Lysozyme g-like protein 2 antibody; Lysozyme like antibody; MGC119046 antibody; MGC119047 antibody; MGC119049 antibody
-
宿主:Rabbit
-
反應種屬:Human
-
免疫原:Recombinant Human Lysozyme g-like protein 2 protein (20-212AA)
-
免疫原種屬:Homo sapiens (Human)
-
標記方式:Non-conjugated
本頁面中的產品,LYG2 Antibody (CSB-PA773017LA01HU),的標記方式是Non-conjugated。對于LYG2 Antibody,我們還提供其他標記。見下表:
-
克隆類型:Polyclonal
-
抗體亞型:IgG
-
純化方式:>95%, Protein G purified
-
濃度:It differs from different batches. Please contact us to confirm it.
-
保存緩沖液:Preservative: 0.03% Proclin 300
Constituents: 50% Glycerol, 0.01M PBS, PH 7.4 -
產品提供形式:Liquid
-
應用范圍:ELISA, IHC
-
推薦稀釋比:
Application Recommended Dilution IHC 1:20-1:200 -
Protocols:
-
儲存條件:Upon receipt, store at -20°C or -80°C. Avoid repeated freeze.
-
貨期:Basically, we can dispatch the products out in 1-3 working days after receiving your orders. Delivery time maybe differs from different purchasing way or location, please kindly consult your local distributors for specific delivery time.
-
用途:For Research Use Only. Not for use in diagnostic or therapeutic procedures.
相關產品
靶點詳情
-
功能:May act as a potent antibacterial protein that may play a role in the innate immunity.
-
基因功能參考文獻:
- HLysG2 was identified and purified from human seminal plasma and showed a significant killing effect on Micrococcus lysodeikticus, Bacillus subtilis and Staphylococcus aureus. PMID: 28274309
- HLysG2 is a potent antibacterial protein that may play a role in the innate immunity of the human eye. PMID: 21093056
-
亞細胞定位:Secreted.
-
蛋白家族:Glycosyl hydrolase 23 family
-
組織特異性:Strong expression detected in the eye and weak expression in the testis. No expression is observed in any other tissues.
-
數據庫鏈接:
Most popular with customers
-
-
YWHAB Recombinant Monoclonal Antibody
Applications: ELISA, WB, IHC, IF, FC
Species Reactivity: Human, Mouse, Rat
-
Phospho-YAP1 (S127) Recombinant Monoclonal Antibody
Applications: ELISA, WB, IHC
Species Reactivity: Human
-
-
-
-
-















