LYPLAL1 Antibody
-
中文名稱:LYPLAL1兔多克隆抗體
-
貨號:CSB-PA736204LA01HU
-
規格:¥440
-
圖片:
-
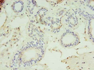
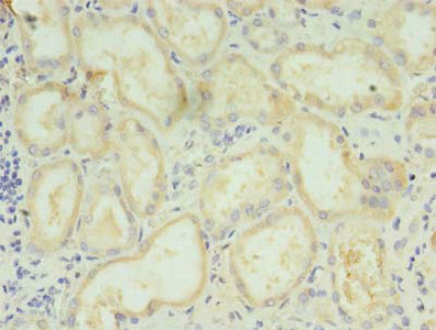
Immunohistochemistry of paraffin-embedded human kidney tissue using CSB-PA736204LA01HU at dilution of 1:100
-
Immunohistochemistry of paraffin-embedded human breast cancer using CSB-PA736204LA01HU at dilution of 1:100
-
Immunofluorescent analysis of PC-3 cells using CSB-PA736204LA01HU at dilution of 1:100 and Alexa Fluor 488-congugated AffiniPure Goat Anti-Rabbit IgG(H+L)
-
-
其他:
產品詳情
-
產品名稱:Rabbit anti-Homo sapiens (Human) LYPLAL1 Polyclonal antibody
-
Uniprot No.:
-
基因名:LYPLAL1
-
別名:BC027340 antibody; FLJ99730 antibody; KIAA1238 antibody; LYPL1_HUMAN antibody; LYPLAL1 antibody; Lysophospholipase like 1 antibody; Lysophospholipase-like protein 1 antibody; MGC28394 antibody; OTTHUMP00000035229 antibody
-
宿主:Rabbit
-
反應種屬:Human
-
免疫原:Recombinant Human Lysophospholipase-like protein 1 protein (2-237AA)
-
免疫原種屬:Homo sapiens (Human)
-
標記方式:Non-conjugated
本頁面中的產品,LYPLAL1 Antibody (CSB-PA736204LA01HU),的標記方式是Non-conjugated。對于LYPLAL1 Antibody,我們還提供其他標記。見下表:
-
克隆類型:Polyclonal
-
抗體亞型:IgG
-
純化方式:>95%, Protein G purified
-
濃度:It differs from different batches. Please contact us to confirm it.
-
保存緩沖液:Preservative: 0.03% Proclin 300
Constituents: 50% Glycerol, 0.01M PBS, PH 7.4 -
產品提供形式:Liquid
-
應用范圍:ELISA, IHC, IF
-
推薦稀釋比:
Application Recommended Dilution IHC 1:20-1:200 IF 1:50-1:200 -
Protocols:
-
儲存條件:Upon receipt, store at -20°C or -80°C. Avoid repeated freeze.
-
貨期:Basically, we can dispatch the products out in 1-3 working days after receiving your orders. Delivery time maybe differs from different purchasing way or location, please kindly consult your local distributors for specific delivery time.
-
用途:For Research Use Only. Not for use in diagnostic or therapeutic procedures.
相關產品
靶點詳情
-
功能:Has depalmitoylating activity toward KCNMA1. Does not exhibit phospholipase nor triacylglycerol lipase activity, able to hydrolyze only short chain substrates due to its shallow active site.
-
基因功能參考文獻:
- Novel LYPLAL1 SNP rs2605100 is associated with childhood hypertension adjusted by obesity. PMID: 28645872
- The LYPLAL1 genotype is associated with differences in eating behavior and loss of extensive body weight following Roux-en-Y gastric bypass (RYGB) surgery. Genotyping and the use of eating behavior-related questionnaires may help to estimate the RYGB-associated therapy success. PMID: 27181159
- Data provide evidence that variants of MC4R and LYPLAL1 modulate body fat distribution with sexual dimorphism in a Chinese population. PMID: 26848030
- Our results suggest that LYPLAL1 rs4846567 and NISCH rs6784615 may influence fat distribution in the Japanese population. PMID: 23221025
- genetic association studies in Danish population: Quantitative metabolic phenotypes in obesity are associated with SNP in various genes: LYPLAL1 (rs4846567) is associated with waist-hip ratio and insulin sensitivity in women. PMID: 21953277
- Gene-treatment interactions were observed for short-term weight loss. (LYPLAL1 rs2605100, Plifestyle*SNP = 0.032) PMID: 22179955
- LYPLAL1 exhibits neither phospholipase nor triacylglycerol lipase activity, but rather accepts short-chain substrates PMID: 22052940
- central obesity-associated variants in LYPLAL1, NRXN3, MSRA, and TFAP2B PMID: 21674055
- TFAP2B, LYPLAL1 and MSRA are associated with adiposity and fat distribution. PMID: 19557161
顯示更多
收起更多
-
亞細胞定位:[Isoform 1]: Cytoplasm, cytosol.; [Isoform 2]: Cytoplasm, cytosol.
-
蛋白家族:AB hydrolase superfamily, AB hydrolase 2 family
-
數據庫鏈接:
Most popular with customers
-
-
YWHAB Recombinant Monoclonal Antibody
Applications: ELISA, WB, IHC, IF, FC
Species Reactivity: Human, Mouse, Rat
-
Phospho-YAP1 (S127) Recombinant Monoclonal Antibody
Applications: ELISA, WB, IHC
Species Reactivity: Human
-
-
-
-
-















