MAGOH Antibody
-
中文名稱:MAGOH兔多克隆抗體
-
貨號:CSB-PA013364ESR1HU
-
規格:¥440
-
圖片:
-
Western blot
All lanes: MAGOH antibody at 4.69μg/ml
Lane 1: Mouse kidney tissue
Lane 2: A431 whole cell lysate
Lane 3: Jurkat whole cell lysate
Lane 4: Raji whole cell lysate
Lane 5: K562 whole cell lysate
Lane 6: Hela whole cell lysate
Secondary
Goat polyclonal to rabbit IgG at 1/10000 dilution
Predicted band size: 18, 13 kDa
Observed band size: 18 kDa -
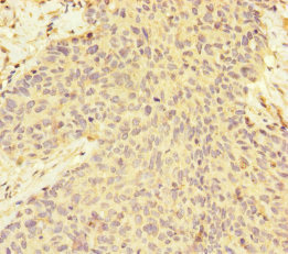
Immunohistochemistry of paraffin-embedded human ovarian cancer using CSB-PA013364ESR1HU at dilution of 1:100
-
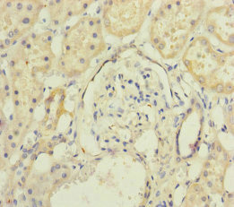
Immunohistochemistry of paraffin-embedded human kidney tissue using CSB-PA013364ESR1HU at dilution of 1:100
-
Immunoprecipitating MAGOH in Hela whole cell lysate
Lane 1: Rabbit control IgG instead of (1μg) instead of CSB-PA013364ESR1HU in Hela whole cell lysate. For western blotting, a HRP-conjugated anti-rabbit IgG, specific to the non-reduced form of IgG was used as the Secondary antibody (1/50000)
Lane 2: CSB-PA013364ESR1HU (4μg) + Hela whole cell lysate (500μg)
Lane 3: Hela whole cell lysate (20μg)
-
-
其他:
產品詳情
-
產品名稱:Rabbit anti-Homo sapiens (Human) MAGOH Polyclonal antibody
-
Uniprot No.:
-
基因名:MAGOH
-
別名:Mago nashi homolog proliferation associated (Drosophila) antibody; Mago nashi protein homolog antibody; magoh antibody; MAGOHA antibody; MGN_HUMAN antibody; Protein mago nashi homolog antibody
-
宿主:Rabbit
-
反應種屬:Human, Mouse
-
免疫原:Recombinant Human Protein mago nashi homolog protein (1-146AA)
-
免疫原種屬:Homo sapiens (Human)
-
標記方式:Non-conjugated
-
克隆類型:Polyclonal
-
抗體亞型:IgG
-
純化方式:Antigen Affinity Purified
-
濃度:It differs from different batches. Please contact us to confirm it.
-
保存緩沖液:PBS with 0.02% sodium azide, 50% glycerol, pH7.3.
-
產品提供形式:Liquid
-
應用范圍:ELISA, WB, IHC, IP
-
推薦稀釋比:
Application Recommended Dilution WB 1:1000-1:5000 IHC 1:20-1:200 IP 1:200-1:2000 -
Protocols:
-
儲存條件:Upon receipt, store at -20°C or -80°C. Avoid repeated freeze.
-
貨期:Basically, we can dispatch the products out in 1-3 working days after receiving your orders. Delivery time maybe differs from different purchasing way or location, please kindly consult your local distributors for specific delivery time.
-
用途:For Research Use Only. Not for use in diagnostic or therapeutic procedures.
相關產品
靶點詳情
-
功能:Required for pre-mRNA splicing as component of the spliceosome. Plays a redundant role with MAGOHB as core component of the exon junction complex (EJC) and in the nonsense-mediated decay (NMD) pathway. The EJC is a dynamic structure consisting of core proteins and several peripheral nuclear and cytoplasmic associated factors that join the complex only transiently either during EJC assembly or during subsequent mRNA metabolism. The EJC marks the position of the exon-exon junction in the mature mRNA for the gene expression machinery and the core components remain bound to spliced mRNAs throughout all stages of mRNA metabolism thereby influencing downstream processes including nuclear mRNA export, subcellular mRNA localization, translation efficiency and nonsense-mediated mRNA decay (NMD). The MAGOH-RBM8A heterodimer inhibits the ATPase activity of EIF4A3, thereby trapping the ATP-bound EJC core onto spliced mRNA in a stable conformation. The MAGOH-RBM8A heterodimer interacts with the EJC key regulator PYM1 leading to EJC disassembly in the cytoplasm and translation enhancement of EJC-bearing spliced mRNAs by recruiting them to the ribosomal 48S preinitiation complex. Involved in the splicing modulation of BCL2L1/Bcl-X (and probably other apoptotic genes); specifically inhibits formation of proapoptotic isoforms such as Bcl-X(S); the function is different from the established EJC assembly.
-
基因功能參考文獻:
- Results provide evidence that MAGOH binding to the C-terminal region of Y14 disrupts Y14 nucleolar localization. PMID: 29330450
- findings show 2 genes MAGOH and MAGOHB are expressed in mammals; in macrophages, expression of MAGOHB but not MAGOH mRNA increases after LPS stimulation; both MAGOH proteins interact with other exon junction complex (EJC) components, incorporate into mRNA-bound EJCs and activate nonsense-mediated decay PMID: 23917022
- The stable association of multiprotein exon junction complex core with RNA is maintained by inhibition of eIF4AIII ATPase activity by MAGOH-Y14. PMID: 16170325
- crystal structure of a tetrameric exon junction core complex containing the DEAD-box adenosine triphosphatase eukaryotic initiation factor 4AIII bound to an ATP analog, MAGOH, Y14, a fragment of MLN51, and a polyuracil mRNA mimic PMID: 16931718
- These results indicate that MAGOH regulates the transcriptional activation of STAT3 by interfering complex formation between STAT3 and Y14. PMID: 19254694
顯示更多
收起更多
-
亞細胞定位:Nucleus. Nucleus speckle. Cytoplasm.
-
蛋白家族:Mago nashi family
-
組織特異性:Ubiquitous.
-
數據庫鏈接:
Most popular with customers
-
-
YWHAB Recombinant Monoclonal Antibody
Applications: ELISA, WB, IHC, IF, FC
Species Reactivity: Human, Mouse, Rat
-
Phospho-YAP1 (S127) Recombinant Monoclonal Antibody
Applications: ELISA, WB, IHC
Species Reactivity: Human
-
-
-
-
-















