MAML2 Antibody
-
中文名稱:MAML2兔多克隆抗體
-
貨號:CSB-PA809028LA01HU
-
規格:¥440
-
圖片:
-
Western Blot
Positive WB detected in: Hela whole cell lysate, SH-SY5Y whole cell lysate, A549 whole cell lysate, PC-3 whole cell lysate, COLO320 whole cell lysate
All lanes: MAML2 antibody at 2.2μg/ml
Secondary
Goat polyclonal to rabbit IgG at 1/50000 dilution
Predicted band size: 126 kDa
Observed band size: 126 kDa -
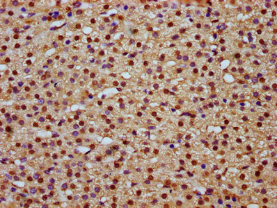
IHC image of CSB-PA809028LA01HU diluted at 1:800 and staining in paraffin-embedded human prostate tissue performed on a Leica BondTM system. After dewaxing and hydration, antigen retrieval was mediated by high pressure in a citrate buffer (pH 6.0). Section was blocked with 10% normal goat serum 30min at RT. Then primary antibody (1% BSA) was incubated at 4°C overnight. The primary is detected by a biotinylated secondary antibody and visualized using an HRP conjugated SP system.
-
IHC image of CSB-PA809028LA01HU diluted at 1:800 and staining in paraffin-embedded human adrenal gland tissue performed on a Leica BondTM system. After dewaxing and hydration, antigen retrieval was mediated by high pressure in a citrate buffer (pH 6.0). Section was blocked with 10% normal goat serum 30min at RT. Then primary antibody (1% BSA) was incubated at 4°C overnight. The primary is detected by a biotinylated secondary antibody and visualized using an HRP conjugated SP system.
-
-
其他:
產品詳情
-
產品名稱:Rabbit anti-Homo sapiens (Human) MAML2 Polyclonal antibody
-
Uniprot No.:
-
基因名:
-
別名:KIAA1819 antibody; Mam 2 antibody; Mam-2 antibody; MAML2 antibody; MAML2_HUMAN antibody; Mastermind-like protein 2 antibody
-
宿主:Rabbit
-
反應種屬:Human
-
免疫原:Recombinant Human Mastermind-like protein 2 protein (347-506AA)
-
免疫原種屬:Homo sapiens (Human)
-
標記方式:Non-conjugated
本頁面中的產品,MAML2 Antibody (CSB-PA809028LA01HU),的標記方式是Non-conjugated。對于MAML2 Antibody,我們還提供其他標記。見下表:
-
克隆類型:Polyclonal
-
抗體亞型:IgG
-
純化方式:>95%, Protein G purified
-
濃度:It differs from different batches. Please contact us to confirm it.
-
保存緩沖液:Preservative: 0.03% Proclin 300
Constituents: 50% Glycerol, 0.01M PBS, pH 7.4 -
產品提供形式:Liquid
-
應用范圍:ELISA, WB, IHC
-
推薦稀釋比:
Application Recommended Dilution WB 1:500-1:5000 IHC 1:500-1:1000 -
Protocols:
-
儲存條件:Upon receipt, store at -20°C or -80°C. Avoid repeated freeze.
-
貨期:Basically, we can dispatch the products out in 1-3 working days after receiving your orders. Delivery time maybe differs from different purchasing way or location, please kindly consult your local distributors for specific delivery time.
-
用途:For Research Use Only. Not for use in diagnostic or therapeutic procedures.
相關產品
靶點詳情
-
功能:Acts as a transcriptional coactivator for NOTCH proteins. Has been shown to amplify NOTCH-induced transcription of HES1. Potentiates activation by NOTCH3 and NOTCH4 more efficiently than MAML1 or MAML3.
-
基因功能參考文獻:
- It is, to our knowledge, the first case of B acute lymphoblastic leukemia with this fusion gene. At the molecular level, two rearrangements were detected using RNA sequencing juxtaposing exon 7 to exon 2 and exon 9 to intron 1-2 of the KMT2A and MAML2 genes respectively, and one rearrangement using Sanger sequencing juxtaposing exon 8 and exon 2. PMID: 28535805
- we demonstrated that MDM2 is frequently overexpressed in clear cell carcinomas, and that MDM2 overexpression is associated with poor prognosis. PMID: 27659536
- Warthin-like mucoepidermoid carcinoma (MEC), and now a ciliated form of MEC, are newly described variants of a common salivary gland carcinoma. MAML2 rearrangements were identified in all cases. These unusual variants appear to consistently harbor MAML2 fusions-a finding that establishes a clear link to conventional MEC. PMID: 28877061
- MECT1-MAML2 fusion transcript is a driver genetic event in the pathogenesis of primary bronchopulmonary mucoepidermoid carcinoma PMID: 28343305
- A subgroup of MAML2 fusion-negative mucoepidermoid carcinomas are actually clear cell carcinoma of the salivary gland with EWSR1 translocation. PMID: 27769871
- This condensed chromatin structure is associated with binding of DNMT3B and decreased occupancy of OCT1 transcription factor at MAML2 enhancer, suggesting a role of DNMT3B in increasing methylation of MAML2 after stilbenoid treatment. PMID: 27207652
- MAML2 rearrangement is common and specific for MEC, which makes it a useful diagnostic tool. MAML2 rearrangement also predicts a favorable prognosis. PMID: 27068311
- Detection of the CRTC1/MAML2 fusion transcript provides useful information for MEC diagnosis but is not associated with differences in survival outcomes. PMID: 26796488
- The molecular basis underlying CRTC1-MAML2 oncogenic functions were identified in mucoepidermoid carcinoma cells. PMID: 26503699
- SNPs in Notch pathway genes may be predictors of cutaneous melanoma disease-specific survival. PMID: 25953768
- We identified MAML2 rearrangements in five of nine odontogenic cysts lined by mucus-secreting cells PMID: 25123064
- Translocation t(11;19)(q14-21;p12-13) in patients with Salivary mucoepidermoid carcinoma was reported , which results in fusion between exons 1 and 2 of MAML2 on chromosome 11q21.Fusion positive, MAML2 re-arrangements are present in 50-70 % of MECs. PMID: 24771140
- The high sensitivity and specificity of MAML2 rearrangement for central mucoepidermoid carcinoma points to its utility as a diagnostic adjunct in separating mucinous cystic lesions of the gnathic bones. PMID: 24647913
- MAML2 rearrangement appears frequent in PMEC and specific with this tumor. Both the presence of MAML2 rearrangement and absence of FLT1 tend to confer a favorable clinical outcome. PMID: 24714697
- Malignant mucoepidermoid salivary gland tumors can arise from a recurrent t (11, 19)(q21;p13.1) translocation that generates an unusual chimeric CRTC1/MAML2 oncoprotein. PMID: 25071166
- The rearrangement between MAML2 and CXCR4, created by a t(2;11)(q22.1;q21) translocation, results in a new fusion gene in which a portion of CXCR4 is linked to the MAML2 gene. PMID: 24855209
- aberrantly activated AREG-EGFR signaling is required for CRTC1-MAML2-positive MEC cell growth and survival, suggesting that EGFR-targeted therapies will benefit patients with advanced, unresectable CRTC1-MAML2-positive MEC. PMID: 23975434
- Lacrimal and salivary gland PAs and Ca-ex-PAs have similar genomic profiles and frequently overexpress the PLAG1 oncoprotein. Copy number gains involving 9p23-p22.3 (NFIB) and 22q12-qter (PDGFB) may be of importance for disease progression. PMID: 24468654
- high-grade salivary mucoepidermoid carcinoma comprises a heterogeneous group of tumours in terms of molecular pathogenesis, in particular MAML2 fusion status PMID: 23855785
- using FISH to identify MAML2 rearrangement is a valuable diagnostic tool in the evaluation of thymic malignancies, specifically, distinguishing mucoepidermoid carcinoma from squamous cell carcinoma and adenosquamous carcinoma. PMID: 24134933
- presence of small subpopulation of cells carrying MAML2 rearrangement in areas of squamous metaplasia in WT could predispose lesions to malignant transformation in mucoepidermoid carcinoma and could represent molecular link between the 2 entities. PMID: 22582766
- The presence of the MAML2 gene split defines a distinct mucoepidermoid carcinoma subset that is associated clinicopathologically with favorable tumor features. PMID: 23035786
- The lack of significant correlation with histologic grade or pathologic stage implies that the previously reported prognostic value of the MAML2 translocation may be an artifact of misclassification of MEC as other tumors. PMID: 22833306
- The presence of MAML2 rearrangement can be used as supportive evidence to distinguish oncocytic mucoepidermoid carcinoma from other oncocytic lesions. PMID: 21777943
- in line with the essential role of MAML proteins for assembly and activity of the NOTCH transcriptional complex (NTC), we show that MAML-derived small-peptide constructs block NOTCH activity and disrupt NTC formation in vitro PMID: 21119597
- The t(11;19) translocation and its CRTC1/MAML1 fusion transcript have been identified in mucoepidermoid carcinomas at different sites and are believed to be associated with the development of a subset of these tumors. PMID: 21074686
- We report an example of intraosseous mucoepidermoid carcinoma with positive TORC1/MAML2 gene fusion transcript and discuss the clinical implications. PMID: 20625861
- MECT1/MAML2 translocation status may be important prognostically in salivary mucoepidermoid carcinomas, but it does not seem to override traditional clinicopathologic parameters. PMID: 20588178
- cloning of a novel fusion gene in mucoepidermoid carcinomas & benign Warthin's tumors; the fusion, which results from a translocation, creates a chimeric gene in which exon 1 of a novel gene designated WAMTP1 is linked to exons 2-5 of MAML2 [WAMPT1] PMID: 14720503
- The MECT1-MAML2 fusion transcript may be specific to mucoepidermoid carcinoma and associated with a distinct mucoepidermoid carcinoma subset that exhibits favorable clinicopathologic features and an indolent clinical course. PMID: 16818685
- The present and previous observations indicate that the CRTC1-MAML2 fusion is etiologically linked to benign and low-grade malignant tumors originating from diverse exocrine glands rather than being linked to a separate tumor entity. PMID: 17334997
- CRTC1/MAML2 transcript may be detected in both low and high grade mucoepidermoid carcinoma (MEC), that fusion negative tumors may define a subset of biologically aggressive MEC's tumors PMID: 17437281
- MAML2 involving a chimeric gene might contribute to carcinogenesis in multiple neoplasms by the disruption of NOTCH signaling. PMID: 17551948
- The presence of the t(11;19)(q21;p13) rearrangement favors a diagnosis of mucoepidermoid carcinoma. PMID: 18206539
- MAML2 and MECT1 fusion product can be detected by fluorescence in situ hybridization and reverse transcriptase polymerase chain reaction analysis performed on low- and high-grade primary bronchopulmonary mucoepidermoid carcinoma PMID: 19269006
- Mucoepidermoid carcinomas are often characterized by the fusion gene CRTC1-MAML2. The mean expression level of an embryonic stem cell marker, HMGA2 was studied and found to be higher in fusion negative than in positive tumors. PMID: 19521953
- CRTC1-MAML2 fusion was associated with favorable clinicopathologic tumor features and was useful in predicting the overall survival of patients with salivary gland mucoepidermoid carcinoma PMID: 19531414
- cloning and functional analyses of the t(11;19) fusion oncogene t(11;19)(q21;p13) translocation in mucoepidermoid carcinoma creates a novel fusion product that disrupts a Notch signaling pathway. PMID: 12539049
顯示更多
收起更多
-
相關疾病:A chromosomal aberration involving MAML2 is found in mucoepidermoid carcinomas, benign Warthin tumors and clear cell hidradenomas. Translocation t(11;19)(q21;p13) with CRTC1. The fusion protein consists of the N-terminus of CRTC1 joined to the C-terminus of MAML2. The reciprocal fusion protein consisting of the N-terminus of MAML2 joined to the C-terminus of CRTC1 has been detected in a small number of mucoepidermoid carcinomas.
-
亞細胞定位:Nucleus speckle. Note=Nuclear, in a punctate manner.
-
蛋白家族:Mastermind family
-
組織特異性:Widely expressed with high levels detected in placenta, salivary gland and skeletal muscle.
-
數據庫鏈接:
Most popular with customers
-
-
YWHAB Recombinant Monoclonal Antibody
Applications: ELISA, WB, IHC, IF, FC
Species Reactivity: Human, Mouse, Rat
-
Phospho-YAP1 (S127) Recombinant Monoclonal Antibody
Applications: ELISA, WB, IHC
Species Reactivity: Human
-
-
-
-
-















