MAP10 Antibody
-
中文名稱:MAP10兔多克隆抗體
-
貨號:CSB-PA879069LA01HU
-
規格:¥440
-
圖片:
-
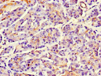
Immunohistochemistry of paraffin-embedded human pancreatic tissue using CSB-PA879069LA01HU at dilution of 1:100
-
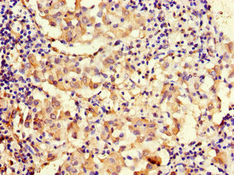
Immunohistochemistry of paraffin-embedded human lung cancer using CSB-PA879069LA01HU at dilution of 1:100
-
Immunofluorescent analysis of Hela cells using CSB-PA879069LA01HU at dilution of 1:100 and Alexa Fluor 488-congugated AffiniPure Goat Anti-Rabbit IgG(H+L)
-
Western Blot
Positive WB detected in: U251 whole cell lysate, Mouse liver tissue, Mouse Spleen tissue, Mouse brain tissue
All lanes: MAP10 antibody at 3μg/ml
Secondary
Goat polyclonal to rabbit IgG at 1/50000 dilution
Predicted band size: 101 kDa
Observed band size: 101 kDa
-
-
其他:
產品詳情
-
產品名稱:Rabbit anti-Homo sapiens (Human) MAP10 Polyclonal antibody
-
Uniprot No.:
-
基因名:MAP10
-
別名:MAP10 antibody; KIAA1383 antibody; MTR120Microtubule-associated protein 10 antibody; Microtubule regulator of 120 KDa antibody
-
宿主:Rabbit
-
反應種屬:Human, Mouse
-
免疫原:Recombinant Human Microtubule-associated protein 10 protein (401-600AA)
-
免疫原種屬:Homo sapiens (Human)
-
標記方式:Non-conjugated
本頁面中的產品,MAP10 Antibody (CSB-PA879069LA01HU),的標記方式是Non-conjugated。對于MAP10 Antibody,我們還提供其他標記。見下表:
-
克隆類型:Polyclonal
-
抗體亞型:IgG
-
純化方式:>95%, Protein G purified
-
濃度:It differs from different batches. Please contact us to confirm it.
-
保存緩沖液:Preservative: 0.03% Proclin 300
Constituents: 50% Glycerol, 0.01M PBS, PH 7.4 -
產品提供形式:Liquid
-
應用范圍:ELISA, WB, IHC, IF
-
推薦稀釋比:
Application Recommended Dilution WB 1:2000-1:5000 IHC 1:20-1:200 IF 1:50-1:200 -
Protocols:
-
儲存條件:Upon receipt, store at -20°C or -80°C. Avoid repeated freeze.
-
貨期:Basically, we can dispatch the products out in 1-3 working days after receiving your orders. Delivery time maybe differs from different purchasing way or location, please kindly consult your local distributors for specific delivery time.
-
用途:For Research Use Only. Not for use in diagnostic or therapeutic procedures.
相關產品
靶點詳情
-
功能:Microtubule-associated protein (MAP) that plays a role in the regulation of cell division; promotes microtubule stability and participates in the organization of the spindle midzone and normal progress of cytokinesis.
-
基因功能參考文獻:
- these data suggest that MTR120 is a novel microtubule (MT)-associated protein that directly stabilizes MTs and hence ensures the fidelity of cell division. PMID: 23264731
-
亞細胞定位:Cytoplasm, cytoskeleton. Cytoplasm, cytoskeleton, spindle pole. Cytoplasm, cytoskeleton, microtubule organizing center, centrosome. Midbody. Note=Localized at stabilized microtubules (MTs) during interphase and to the mitotic apparatus during mitosis. Localized at spindle poles in metaphase and spindle midzone during telophase. Colocalized with Polo-like kinase PLK1 to the center of spindle midzone. Localized at the midbody during cytokinesis. Colocalized with acetylated-tubulin at MTs.
-
組織特異性:Expressed in different cell lines (at protein level).
-
數據庫鏈接:
Most popular with customers
-
-
YWHAB Recombinant Monoclonal Antibody
Applications: ELISA, WB, IHC, IF, FC
Species Reactivity: Human, Mouse, Rat
-
Phospho-YAP1 (S127) Recombinant Monoclonal Antibody
Applications: ELISA, WB, IHC
Species Reactivity: Human
-
-
-
-
-















