MBIP Antibody
-
中文名稱:MBIP兔多克隆抗體
-
貨號:CSB-PA889101LA01HU
-
規格:¥440
-
圖片:
-
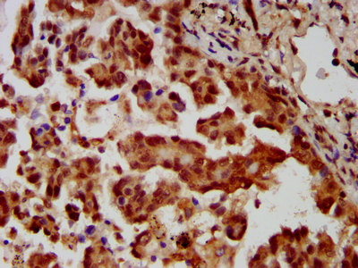
IHC image of CSB-PA889101LA01HU diluted at 1:400 and staining in paraffin-embedded human lung cancer performed on a Leica BondTM system. After dewaxing and hydration, antigen retrieval was mediated by high pressure in a citrate buffer (pH 6.0). Section was blocked with 10% normal goat serum 30min at RT. Then primary antibody (1% BSA) was incubated at 4°C overnight. The primary is detected by a biotinylated secondary antibody and visualized using an HRP conjugated SP system.
-
IHC image of CSB-PA889101LA01HU diluted at 1:400 and staining in paraffin-embedded human pancreatic tissue performed on a Leica BondTM system. After dewaxing and hydration, antigen retrieval was mediated by high pressure in a citrate buffer (pH 6.0). Section was blocked with 10% normal goat serum 30min at RT. Then primary antibody (1% BSA) was incubated at 4°C overnight. The primary is detected by a biotinylated secondary antibody and visualized using an HRP conjugated SP system.
-
-
其他:
產品詳情
-
產品名稱:Rabbit anti-Homo sapiens (Human) MBIP Polyclonal antibody
-
Uniprot No.:
-
基因名:MBIP
-
別名:MAP3K12 binding inhibitory protein 1 antibody; MAP3K12-binding inhibitory protein 1 antibody; MAPK upstream kinase binding inhibitory protein antibody; MAPK upstream kinase-binding inhibitory protein antibody; Mbip antibody; MBIP1_HUMAN antibody; MUK binding inhibitory protein antibody; MUK-binding inhibitory protein antibody; OTTHUMP00000178844 antibody
-
宿主:Rabbit
-
反應種屬:Human
-
免疫原:Recombinant Human MAP3K12-binding inhibitory protein 1 protein (91-241AA)
-
免疫原種屬:Homo sapiens (Human)
-
標記方式:Non-conjugated
本頁面中的產品,MBIP Antibody (CSB-PA889101LA01HU),的標記方式是Non-conjugated。對于MBIP Antibody,我們還提供其他標記。見下表:
-
克隆類型:Polyclonal
-
抗體亞型:IgG
-
純化方式:>95%, Protein G purified
-
濃度:It differs from different batches. Please contact us to confirm it.
-
保存緩沖液:Preservative: 0.03% Proclin 300
Constituents: 50% Glycerol, 0.01M PBS, pH 7.4 -
產品提供形式:Liquid
-
應用范圍:ELISA, IHC
-
推薦稀釋比:
Application Recommended Dilution IHC 1:200-1:500 -
Protocols:
-
儲存條件:Upon receipt, store at -20°C or -80°C. Avoid repeated freeze.
-
貨期:Basically, we can dispatch the products out in 1-3 working days after receiving your orders. Delivery time maybe differs from different purchasing way or location, please kindly consult your local distributors for specific delivery time.
-
用途:For Research Use Only. Not for use in diagnostic or therapeutic procedures.
相關產品
靶點詳情
-
功能:Inhibits the MAP3K12 activity to induce the activation of the JNK/SAPK pathway. Component of the ATAC complex, a complex with histone acetyltransferase activity on histones H3 and H4.
-
亞細胞定位:Nucleus. Cytoplasm. Note=Shows a cytoplasmic localization when coexpressed with MAP3K12.
-
組織特異性:Ubiquitous. High expression seen in the heart and lung.
-
數據庫鏈接:
Most popular with customers
-
-
YWHAB Recombinant Monoclonal Antibody
Applications: ELISA, WB, IHC, IF, FC
Species Reactivity: Human, Mouse, Rat
-
Phospho-YAP1 (S127) Recombinant Monoclonal Antibody
Applications: ELISA, WB, IHC
Species Reactivity: Human
-
-
-
-
-















