MCCC1 Antibody
-
中文名稱:MCCC1兔多克隆抗體
-
貨號:CSB-PA853497ESR2HU
-
規格:¥440
-
圖片:
-
Western blot
All lanes: MCCC1 antibody at 0.89µg/ml
Lane 1: HepG2 whole cell lysate
Lane 2: 293T whole cell lysate
Lane 3: Hela whole cell lysate
Lane 4: MCF-7 whole cell lysate
Lane 5: A549 whole cell lysate
Secondary
Goat polyclonal to rabbit IgG at 1/10000 dilution
Predicted band size: 81 kDa
Observed band size: 81 kDa -
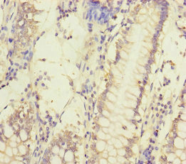
Immunohistochemistry of paraffin-embedded human colon cancer using CSB-PA853497ESR2HU at dilution of 1:100
-
-
其他:
產品詳情
-
產品名稱:Rabbit anti-Homo sapiens (Human) MCCC1 Polyclonal antibody
-
Uniprot No.:
-
基因名:MCCC1
-
別名:MCCC1 antibody; MCCAMethylcrotonoyl-CoA carboxylase subunit alpha antibody; mitochondrial antibody; MCCase subunit alpha antibody; EC 6.4.1.4 antibody; 3-methylcrotonyl-CoA carboxylase 1 antibody; 3-methylcrotonyl-CoA carboxylase biotin-containing subunit antibody; 3-methylcrotonyl-CoA:carbon dioxide ligase subunit alpha antibody
-
宿主:Rabbit
-
反應種屬:Human
-
免疫原:Recombinant Human Methylcrotonoyl-CoA carboxylase subunit alpha, mitochondrial protein (526-725AA)
-
免疫原種屬:Homo sapiens (Human)
-
標記方式:Non-conjugated
-
克隆類型:Polyclonal
-
抗體亞型:IgG
-
純化方式:Antigen Affinity Purified
-
濃度:It differs from different batches. Please contact us to confirm it.
-
保存緩沖液:PBS with 0.02% sodium azide, 50% glycerol, pH7.3.
-
產品提供形式:Liquid
-
應用范圍:ELISA, WB, IHC
-
推薦稀釋比:
Application Recommended Dilution WB 1:1000-1:5000 IHC 1:20-1:200 -
Protocols:
-
儲存條件:Upon receipt, store at -20°C or -80°C. Avoid repeated freeze.
-
貨期:Basically, we can dispatch the products out in 1-3 working days after receiving your orders. Delivery time maybe differs from different purchasing way or location, please kindly consult your local distributors for specific delivery time.
-
用途:For Research Use Only. Not for use in diagnostic or therapeutic procedures.
相關產品
靶點詳情
-
功能:Biotin-attachment subunit of the 3-methylcrotonyl-CoA carboxylase, an enzyme that catalyzes the conversion of 3-methylcrotonyl-CoA to 3-methylglutaconyl-CoA, a critical step for leucine and isovaleric acid catabolism.
-
基因功能參考文獻:
- MCCC1 plays an essential role in virus-triggered, MAVS-mediated activation of NF-kappaB signaling. PMID: 27629939
- This study reports data mainly obtained from the Portuguese newborn screening program collected over a ten-year period. Analysis of the MCCC1 and MCCC2 genes yielded 26 previously unreported mutations and a variant of clinically unknown significance. PMID: 27601257
- Our study provides strong support for the susceptibility role of RAB7L1/NUCKS1 rs823118 and MCCC1 rs12637471 in sporadic Parkinson's disease in a Han Chinese population PMID: 26914237
- Novel mutations in MCCC1 gene were identified in Chinese population. The expression profiles of two splice mutations (c.639+2T>A and c.639+5G>T) were also characterized. PMID: 25382614
- Four new point mutations were detected in the MCCC1 gene in patients with maternal 3-methylcrotonyl coenzyme deficiency. PMID: 24078573
- This study demonistrated that Mainland China demonstrates that MCCC1/LAMP3 (rs11711441) is associated with a lower risk of Parkinson's disease. PMID: 23496138
- 3-methylcrotonyl-CoA carboxylase inhibition has a role in increased excretion of 3-hydroxyisovaleric acid in valproate-treated patients PMID: 22189597
- Mutation in 3-methylcrotonyl CoA carboxylase 1 gene is associated with 3-methylcrotonyl-CoA carboxylase deficiency. PMID: 22264772
- study reports eight different mutant alleles of MCCC1 or MCCC2 including six novel mutations in Korean patients with 3-methylcrotonyl-CoA carboxylase (MCC) deficiency PMID: 22150417
- identified two novel MCCA and four novel MCCB mutant alleles from five MCC-deficient patients PMID: 21071250
- factors other than the genotype at the MCCA and MCCB loci have a major influence on the phenotype of MCC deficiency PMID: 16010683
- The amino-termini containing 39 (MCCalpha) or 20 amino acids (MCCbeta) were both necessary and sufficient for targeting. Structural requirements for mitochondrial import were defined by site-directed mutagenesis. PMID: 16023992
- Molecular analyses revealed novel mutations in one of the causative genes, MCCA or MCCB, in all five of the MCC deficiency patients PMID: 17968484
- A family with 3-methylcrotonyl-CoA carboxylase deficiency with different clinical features is described. PMID: 19339287
- analysis of a novel mechanism causing 3-methylcrotonyl-CoA carboxylase deficiency PMID: 19706617
顯示更多
收起更多
-
相關疾病:3-methylcrotonoyl-CoA carboxylase 1 deficiency (MCC1D)
-
亞細胞定位:Mitochondrion matrix.
-
數據庫鏈接:
Most popular with customers
-
-
Phospho-YAP1 (S127) Recombinant Monoclonal Antibody
Applications: ELISA, WB, IHC
Species Reactivity: Human
-
-
-
-
-
-















