MIB1 Antibody
-
中文名稱:MIB1兔多克隆抗體
-
貨號:CSB-PA13289A0Rb
-
規格:¥440
-
圖片:
-
Western blot
All lanes: MIB1 antibody at 2µg/ml + 293T whole cell lysate
Secondary
Goat polyclonal to rabbit IgG at 1/10000 dilution
Predicted band size: 111 kDa
Observed band size: 111 kDa -
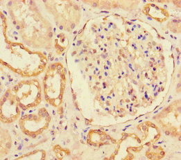
Immunohistochemistry of paraffin-embedded human kidney tissue using CSB-PA13289A0Rb at dilution of 1:100
-
Immunofluorescent analysis of Hela cells cells using CSB-PA13289A0Rb at dilution of 1:100 and Alexa Fluor 488-congugated AffiniPure Goat Anti-Rabbit IgG(H+L)
-
-
其他:
產品詳情
-
產品名稱:Rabbit anti-Homo sapiens (Human) MIB1 Polyclonal antibody
-
Uniprot No.:
-
基因名:
-
別名:DAPK-interacting protein 1 antibody; Dip 1 antibody; DIP-1 antibody; Dip1 antibody; E3 ubiquitin protein ligase MIB 1 antibody; E3 ubiquitin protein ligase MIB1 antibody; E3 ubiquitin-protein ligase mib1 antibody; KIAA1323 antibody; LVNC7 antibody; MIB antibody; mib1 antibody; MIB1_HUMAN antibody; Mind bomb homolog 1 antibody; Mindbomb E3 ubiquitin protein ligase 1 antibody; Ubiquitin ligase mind bomb antibody; Zinc finger ZZ type with ankyrin repeat domain protein 2 antibody; ZZANK2 antibody; ZZZ6 antibody
-
宿主:Rabbit
-
反應種屬:Human
-
免疫原:Recombinant Human E3 ubiquitin-protein ligase MIB1 protein (5-332AA)
-
免疫原種屬:Homo sapiens (Human)
-
標記方式:Non-conjugated
本頁面中的產品,MIB1 Antibody (CSB-PA13289A0Rb),的標記方式是Non-conjugated。對于MIB1 Antibody,我們還提供其他標記。見下表:
-
克隆類型:Polyclonal
-
抗體亞型:IgG
-
純化方式:>95%, Protein G purified
-
濃度:It differs from different batches. Please contact us to confirm it.
-
保存緩沖液:Preservative: 0.03% Proclin 300
Constituents: 50% Glycerol, 0.01M PBS, PH 7.4 -
產品提供形式:Liquid
-
應用范圍:ELISA, WB, IHC, IF
-
推薦稀釋比:
Application Recommended Dilution WB 1:500-1:2000 IHC 1:20-1:200 IF 1:50-1:200 -
Protocols:
-
儲存條件:Upon receipt, store at -20°C or -80°C. Avoid repeated freeze.
-
貨期:Basically, we can dispatch the products out in 1-3 working days after receiving your orders. Delivery time maybe differs from different purchasing way or location, please kindly consult your local distributors for specific delivery time.
-
用途:For Research Use Only. Not for use in diagnostic or therapeutic procedures.
相關產品
靶點詳情
-
功能:E3 ubiquitin-protein ligase that mediates ubiquitination of Delta receptors, which act as ligands of Notch proteins. Positively regulates the Delta-mediated Notch signaling by ubiquitinating the intracellular domain of Delta, leading to endocytosis of Delta receptors. Probably mediates ubiquitination and subsequent proteasomal degradation of DAPK1, thereby antagonizing anti-apoptotic effects of DAPK1 to promote TNF-induced apoptosis. Involved in ubiquitination of centriolar satellite CEP131, CEP290 and PCM1 proteins and hence inhibits primary cilium formation in proliferating cells. Mediates 'Lys-63'-linked polyubiquitination of TBK1, which probably participates in kinase activation.
-
基因功能參考文獻:
- M1B-1 antigen was shown to increase the risk. High birth weight, pesticide exposure (childhood exposure, and parental occupational exposure) and maternal consumption of cured meat during pregnancy may also increase the risk of onset of childhood brain tumours PMID: 27212451
- In the absence of PCM1, Mib1 destabilizes Talpid3 through poly-ubiquitylation and suppresses cilium assembly. PMID: 27146717
- The aim of the study was to evaluate the caspase-3 and survivin expression in correlation with MIB-1 expression in gliomas of various grade. PMID: 26995334
- provided evidences that miR-10 regulates human endothelial cells behaviour through targeting Mib1 as well PMID: 26825552
- these results identify the interaction between Mib1 and Plk4 as a new and important element in the control of centriole homeostasis. PMID: 25795303
- Expression of MIB1 ligase protein, human was correlated with tumor grade and Figo stages. PMID: 26204652
- Data show how E3 ubiquitin protein ligase Mind bomb protein recognizes notch receptor ligands. PMID: 25747658
- a significant survival benefit for p16-positive vaginal cancers compared with p16-negative cancers for stages I and II. No difference was observed in survival for MIB-1-positive tumors PMID: 25319982
- Invasive adenomas have a higher inducible nitric oxide synthase, and this correlated with the MIB-1 PMID: 24008756
- This is the first published study ever assessing the expression of COX-2, p16 and Ki67 markers in ductal carcinoma in situ breast tumors. PMID: 25077370
- Data show that the E3 ubiquitin ligase, mind bomb 1 (Mib1), interacts with and ubiquitinates SMN and facilitates its degradation. PMID: 23615451
- MIB-1 was found to be associated with estrogen receptors in the stromal component PMID: 23442362
- implicate NOTCH signaling in left ventricular noncompaction and indicate that MIB1 mutations arrest chamber myocardium development, preventing trabecular maturation and compaction PMID: 23314057
- MIB1 negatively regulates TNFalpha- and IL1beta-induced NF-kappaB target gene activation PMID: 22184009
- RYK interacts both physically and functionally with the E3 ubiquitin MIB1. MIB1 is sufficient to activate Wnt/CTNNB1 signaling and this activity depends on endogenous RYK. PMID: 21875946
- Data demonstrate that c-mip interacts with Dip1 and upregulates DAPK, which blocks the nuclear translocation of ERK1/2. PMID: 20018188
- Neuralized-2 regulates a Notch ligand in cooperation with Mind bomb-1 PMID: 17003037
- DAPK is found in two distinct immune complexes, one containing HSP90 and CHIP and a second complex containing only DIP1/Mib; strict modulation of DAPK activities by HSP90 heterocomplexes is critical for regulation of apoptosis and cellular homeostasis PMID: 17324930
- Comparative genomic hybridization and immunohistochemical assessment of EGFR, PTEN, p53, and MIB-1 expression in 13 oligodendrogliomas, one oligoastrocytoma and 23 high-grade astrocytomas is reported. PMID: 17390041
- The interaction between Mib1 and cFLIP decreases the association of caspase-8 with cFLIP, which activates caspase-8 and induces cell death PMID: 19710364
顯示更多
收起更多
-
相關疾病:Left ventricular non-compaction 7 (LVNC7)
-
亞細胞定位:Cytoplasm. Cytoplasm, cytoskeleton, microtubule organizing center, centrosome, centriolar satellite. Cell membrane.
-
組織特異性:Widely expressed at low level. Expressed at higher level in spinal cord, ovary, whole brain, and all specific brain regions examined.
-
數據庫鏈接:
Most popular with customers
-
-
YWHAB Recombinant Monoclonal Antibody
Applications: ELISA, WB, IHC, IF, FC
Species Reactivity: Human, Mouse, Rat
-
Phospho-YAP1 (S127) Recombinant Monoclonal Antibody
Applications: ELISA, WB, IHC
Species Reactivity: Human
-
-
-
-
-















