MKLN1 Antibody
-
中文名稱:MKLN1兔多克隆抗體
-
貨號:CSB-PA890926LA01HU
-
規格:¥440
-
圖片:
-
Western Blot
Positive WB detected in: Hela whole cell lysate, 293T whole cell lysate, K562 whole cell lysate, Rat brain tissue
All lanes: MKLN1 antibody at 2.7µg/ml
Secondary
Goat polyclonal to rabbit IgG at 1/50000 dilution
Predicted band size: 85, 61 kDa
Observed band size: 85 kDa -
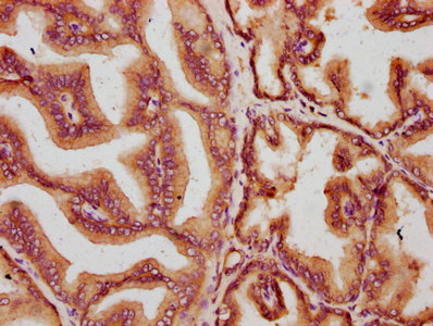
IHC image of CSB-PA890926LA01HU diluted at 1:400 and staining in paraffin-embedded human prostate tissue performed on a Leica BondTM system. After dewaxing and hydration, antigen retrieval was mediated by high pressure in a citrate buffer (pH 6.0). Section was blocked with 10% normal goat serum 30min at RT. Then primary antibody (1% BSA) was incubated at 4°C overnight. The primary is detected by a biotinylated secondary antibody and visualized using an HRP conjugated SP system.
-
Immunofluorescence staining of HepG2 cells with CSB-PA890926LA01HU at 1:133, counter-stained with DAPI. The cells were fixed in 4% formaldehyde, permeabilized using 0.2% Triton X-100 and blocked in 10% normal Goat Serum. The cells were then incubated with the antibody overnight at 4°C. The secondary antibody was Alexa Fluor 488-congugated AffiniPure Goat Anti-Rabbit IgG(H+L).
-
-
其他:
產品詳情
-
產品名稱:Rabbit anti-Homo sapiens (Human) MKLN1 Polyclonal antibody
-
Uniprot No.:
-
基因名:MKLN1
-
別名:MKLN 1 antibody; Mkln1 antibody; MKLN1_HUMAN antibody; muskelin 1, intracellular mediator containing kelch motifs antibody; Muskelin antibody; TWA2 antibody; Two-hybrid-associated protein with Ranbpm 2 antibody
-
宿主:Rabbit
-
反應種屬:Human, Rat
-
免疫原:Recombinant Human Muskelin protein (488-614AA)
-
免疫原種屬:Homo sapiens (Human)
-
標記方式:Non-conjugated
本頁面中的產品,MKLN1 Antibody (CSB-PA890926LA01HU),的標記方式是Non-conjugated。對于MKLN1 Antibody,我們還提供其他標記。見下表:
-
克隆類型:Polyclonal
-
抗體亞型:IgG
-
純化方式:>95%, Protein G purified
-
濃度:It differs from different batches. Please contact us to confirm it.
-
保存緩沖液:Preservative: 0.03% Proclin 300
Constituents: 50% Glycerol, 0.01M PBS, pH 7.4 -
產品提供形式:Liquid
-
應用范圍:ELISA, WB, IHC, IF
-
推薦稀釋比:
Application Recommended Dilution WB 1:500-1:5000 IHC 1:200-1:500 IF 1:50-1:200 -
Protocols:
-
儲存條件:Upon receipt, store at -20°C or -80°C. Avoid repeated freeze.
-
貨期:Basically, we can dispatch the products out in 1-3 working days after receiving your orders. Delivery time maybe differs from different purchasing way or location, please kindly consult your local distributors for specific delivery time.
-
用途:For Research Use Only. Not for use in diagnostic or therapeutic procedures.
相關產品
靶點詳情
-
功能:Component of the CTLH E3 ubiquitin-protein ligase complex that selectively accepts ubiquitin from UBE2H and mediates ubiquitination and subsequent proteasomal degradation of the transcription factor HBP1. Required for internalization of the GABA receptor GABRA1 from the cell membrane via endosomes and subsequent GABRA1 degradation. Acts as a mediator of cell spreading and cytoskeletal responses to the extracellular matrix component THBS1.
-
基因功能參考文獻:
- A meta-analysis genome wide association study suggest MKLN1 is associated with early-onset bipolar disorder. PMID: 27769005
- RanBPM, ARMC8alpha, ARMC8beta, Muskelin, p48EMLP, and p44CTLH form complexes in cells PMID: 17467196
- These novel findings identify a role for muskelin-RanBP9 complex in pathways that integrate cell morphology regulation and nucleocytoplasmic communication. PMID: 18710924
-
亞細胞定位:Cytoplasm. Cytoplasm, cytosol. Nucleus, nucleoplasm. Cell projection, ruffle. Cytoplasm, cell cortex. Cell junction, synapse. Cell junction, synapse, postsynapse.
-
數據庫鏈接:
Most popular with customers
-
YWHAB Recombinant Monoclonal Antibody
Applications: ELISA, WB, IHC, IF, FC
Species Reactivity: Human, Mouse, Rat
-
Phospho-YAP1 (S127) Recombinant Monoclonal Antibody
Applications: ELISA, WB, IHC
Species Reactivity: Human
-
-
-
-
-
-















