MMP19 Antibody
-
中文名稱:MMP19兔多克隆抗體
-
貨號:CSB-PA091551
-
規格:¥1100
-
圖片:
-
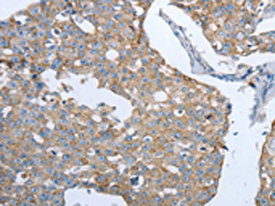
The image on the left is immunohistochemistry of paraffin-embedded Human breast cancer tissue using CSB-PA091551(MMP19 Antibody) at dilution 1/15, on the right is treated with synthetic peptide. (Original magnification: ×200)
-
The image on the left is immunohistochemistry of paraffin-embedded Human colon cancer tissue using CSB-PA091551(MMP19 Antibody) at dilution 1/15, on the right is treated with synthetic peptide. (Original magnification: ×200)
-
-
其他:
產品詳情
-
Uniprot No.:
-
基因名:
-
別名:Matrix metalloproteinase 18 antibody; Matrix metalloproteinase 19 isoform rasi1 antibody; Matrix metalloproteinase 19 isoform rasi9 antibody; Matrix metalloproteinase RASI antibody; Matrix metalloproteinase-18 antibody; Matrix metalloproteinase-19 antibody; MMP-18 antibody; MMP-19 antibody; MMP18 antibody; MMP19 antibody; MMP19_HUMAN antibody; Preproprotein matrix metalloproteinase 19 isoform rasi6 antibody; RASI 1 antibody; RASI1 antibody
-
宿主:Rabbit
-
反應種屬:Human
-
免疫原:Synthetic peptide of Human MMP19
-
免疫原種屬:Homo sapiens (Human)
-
標記方式:Non-conjugated
-
抗體亞型:IgG
-
純化方式:Antigen affinity purification
-
濃度:It differs from different batches. Please contact us to confirm it.
-
保存緩沖液:-20°C, pH7.4 PBS, 0.05% NaN3, 40% Glycerol
-
產品提供形式:Liquid
-
應用范圍:ELISA,IHC
-
推薦稀釋比:
Application Recommended Dilution ELISA 1:1000-1:2000 IHC 1:15-1:50 -
Protocols:
-
儲存條件:Upon receipt, store at -20°C or -80°C. Avoid repeated freeze.
-
貨期:Basically, we can dispatch the products out in 1-3 working days after receiving your orders. Delivery time maybe differs from different purchasing way or location, please kindly consult your local distributors for specific delivery time.
-
用途:For Research Use Only. Not for use in diagnostic or therapeutic procedures.
相關產品
靶點詳情
-
功能:Endopeptidase that degrades various components of the extracellular matrix, such as aggrecan and cartilage oligomeric matrix protein (comp), during development, haemostasis and pathological conditions (arthritic disease). May also play a role in neovascularization or angiogenesis. Hydrolyzes collagen type IV, laminin, nidogen, nascin-C isoform, fibronectin, and type I gelatin.
-
基因功能參考文獻:
- Levels of matrix metalloproteinases MMP-19 and MMP-20 expression are significantly increased in pancreatic ductal adenocarcinoma (PDAC). PMID: 26692439
- transcriptional target of ligand-bound activated estrogen receptor beta acting on a specificity protein-1 binding site PMID: 26700939
- the downregulation of MMP19 following respiratory syncytial virus infection may be associated with the development of airway hyperresponsiveness. PMID: 26548962
- Loss of NDRG2 induced the expression of matrix metalloproteinase-19 (MMP-19), which regulated the expression of Slug at the transcriptional level in the epithelial-mesenchymal transition of gallbladder carcinoma cells. PMID: 26292259
- Triplication of an enhancer may lead to overexpression of MMP19 in the optic nerve that causes cavitary optic disc anomaly. PMID: 25581579
- the intima+media of IPAH vessels, collagens (COL4A5, COL14A1, and COL18A1), matrix metalloproteinase (MMP) 19, and a disintegrin and metalloprotease (ADAM) 33 were higher expressed, whereas MMP10, ADAM17, TIMP1, and TIMP3 were less abundant. PMID: 25840998
- The expression of MMP-19 in the main forms of gastrointestinal diseases, was analysed. PMID: 25056434
- Matrix metalloproteinase-19 in lung epithelial cells stimulates proliferation and cell migration. Read More: http://www.atsjournals.org/doi/full/10.1164/rccm.201310-1903OC PMID: 25250855
- ASNS and MMP19, along with eIF3a, are the sensitivity factors for cisplatin treatment and may serve as potential candidate molecular markers for predicting cisplatin sensitivity of advanced nasopharyngeal carcinoma. PMID: 23956056
- Up-regulation of matrix metalloproteinase-19 (MMP19) induced by lung injury may play a protective role in the development of fibrosis through the induction of prostaglandin-endoperoxide synthase 2 (PTGS2). PMID: 22859522
- MMP-19 processes human plasminogen in a characteristic cleavage pattern to generate three angiostatin-like fragments PMID: 21787393
- vascular MMP-19 expression significantly associated with Cerebral amyloid angiopathy--associated intracerebral haemorrhage PMID: 21261556
- the increase of MMP19 expression hallmarks the progression of cutaneous melanoma PMID: 20098411
- Taken together, these results indicate that MMP19 is highly expressed in proliferating astrocytoma/glioma cells, and that its expression may facilitate their invasion through brain extracellular matrix components. PMID: 20142769
- MMP-19 is expressed by myeloid cells in an adhesion-dependent manner and associates with the cell surface by an interaction with the hemopexin-like domain. PMID: 11801661
- Downregulation of MMP-19 expression in the epidermis is associated with transformation and histologic dedifferentiation in skin neoplasms PMID: 12516088
- MMP-19 is a likely candidate to be the major IGFBP-3 degrading MMP PMID: 12937269
- the importance of MMP19 as a predictor of secondary Extramammary Paget's disease or the putative origin of Paget's cells from the dermal adenocarcinoma cells of apocrine duct origin PMID: 15239678
- MMP-19 actively participates in the early stages of SCC invasion. PMID: 15868410
- Our results suggest that Tst-1 and Skn-1a regulate expression of MMPs in keratinocytes and effect both the expression and activation of these proteolytic enzymes. PMID: 17195013
- MMP-19 may have a role in tumor invasiveness in patients with oropharyngeal squamous cell carcinoma PMID: 18161657
顯示更多
收起更多
-
相關疾病:Cavitary optic disc anomalies (CODA)
-
亞細胞定位:Secreted, extracellular space, extracellular matrix.
-
蛋白家族:Peptidase M10A family
-
組織特異性:Expressed in mammary gland, placenta, lung, pancreas, ovary, small intestine, spleen, thymus, prostate, testis colon, heart and blood vessel walls. Not detected in brain and peripheral blood leukocytes. Also expressed in the synovial fluid of normal and r
-
數據庫鏈接:
Most popular with customers
-
YWHAB Recombinant Monoclonal Antibody
Applications: ELISA, WB, IHC, IF, FC
Species Reactivity: Human, Mouse, Rat
-
Phospho-YAP1 (S127) Recombinant Monoclonal Antibody
Applications: ELISA, WB, IHC
Species Reactivity: Human
-
-
-
-
-
-















