MORC1 Antibody
-
中文名稱:MORC1兔多克隆抗體
-
貨號:CSB-PA803127LA01HU
-
規格:¥440
-
圖片:
-
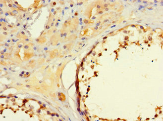
Immunohistochemistry of paraffin-embedded human testis tissue using CSB-PA803127LA01HU at dilution of 1:100
-
Immunohistochemistry of paraffin-embedded human cervical cancer using CSB-PA803127LA01HU at dilution of 1:100
-
Immunofluorescent analysis of HepG2 cells using CSB-PA803127LA01HU at dilution of 1:100 and Alexa Fluor 488-congugated AffiniPure Goat Anti-Rabbit IgG(H+L)
-
-
其他:
產品詳情
-
產品名稱:Rabbit anti-Homo sapiens (Human) MORC1 Polyclonal antibody
-
Uniprot No.:
-
基因名:MORC1
-
別名:MORC1 antibody; MORC antibody; MORC family CW-type zinc finger protein 1 antibody; Cancer/testis antigen 33 antibody; CT33 antibody
-
宿主:Rabbit
-
反應種屬:Human
-
免疫原:Recombinant Human MORC family CW-type zinc finger protein 1 protein (683-984AA)
-
免疫原種屬:Homo sapiens (Human)
-
標記方式:Non-conjugated
本頁面中的產品,MORC1 Antibody (CSB-PA803127LA01HU),的標記方式是Non-conjugated。對于MORC1 Antibody,我們還提供其他標記。見下表:
-
克隆類型:Polyclonal
-
抗體亞型:IgG
-
純化方式:>95%, Protein G purified
-
濃度:It differs from different batches. Please contact us to confirm it.
-
保存緩沖液:Preservative: 0.03% Proclin 300
Constituents: 50% Glycerol, 0.01M PBS, PH 7.4 -
產品提供形式:Liquid
-
應用范圍:ELISA, IHC, IF
-
推薦稀釋比:
Application Recommended Dilution IHC 1:20-1:200 IF 1:50-1:200 -
Protocols:
-
儲存條件:Upon receipt, store at -20°C or -80°C. Avoid repeated freeze.
-
貨期:Basically, we can dispatch the products out in 1-3 working days after receiving your orders. Delivery time maybe differs from different purchasing way or location, please kindly consult your local distributors for specific delivery time.
-
用途:For Research Use Only. Not for use in diagnostic or therapeutic procedures.
相關產品
靶點詳情
-
功能:Required for spermatogenesis. Essential for de novo DNA methylation and silencing of transposable elements in the male embryonic germ cells.
-
基因功能參考文獻:
- MORC1 is thus the first identified epigenetic marker of ELS to be present in blood cell progenitors at birth and in the brain in adulthood. PMID: 25158004
-
亞細胞定位:Nucleus.
-
數據庫鏈接:
Most popular with customers
-
-
YWHAB Recombinant Monoclonal Antibody
Applications: ELISA, WB, IHC, IF, FC
Species Reactivity: Human, Mouse, Rat
-
-
-
-
-
VDAC1 Recombinant Monoclonal Antibody
Applications: ELISA, WB, IHC
Species Reactivity: Human, Mouse, Rat
-
VCP Recombinant Monoclonal Antibody
Applications: ELISA, WB, IHC, IF, IP
Species Reactivity: Human, Rat















