MRE11A Antibody
-
中文名稱:MRE11A兔多克隆抗體
-
貨號:CSB-PA014786EA01HU
-
規格:¥440
-
圖片:
-
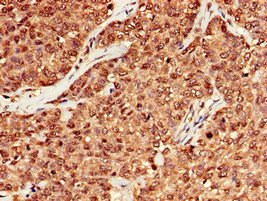
Immunohistochemistry of paraffin-embedded human ovarian cancer using CSB-PA014786EA01HU at dilution of 1:100
-
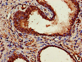
Immunohistochemistry of paraffin-embedded human prostate cancer using CSB-PA014786EA01HU at dilution of 1:100
-
Immunofluorescent analysis of Hela cells using CSB-PA014786EA01HU at dilution of 1:100 and Alexa Fluor 488-congugated AffiniPure Goat Anti-Rabbit IgG(H+L)
-
-
其他:
產品詳情
-
產品名稱:Rabbit anti-Homo sapiens (Human) MRE11 Polyclonal antibody
-
Uniprot No.:
-
基因名:
-
別名:AT like disease antibody; Ataxia telangiectasia disorder like antibody; ATLD antibody; DNA recombination and repair protein antibody; Double strand break repair protein MRE11A antibody; Double-strand break repair protein MRE11A antibody; endo/exonuclease Mre11 antibody; HNGS1 antibody; meiotic recombination (S. cerevisiae) 11 homolog A antibody; Meiotic recombination 11 homolog 1 antibody; meiotic recombination 11 homolog A (S. cerevisiae) antibody; Meiotic recombination 11 homolog A antibody; MmMRE11A antibody; Mre 11 antibody; MRE 11a antibody; MRE 11b antibody; MRE11 homolog 1 antibody; MRE11 homolog A antibody; MRE11 homolog double strand break repair nuclease antibody; MRE11 meiotic recombination 11 homolog A (S. cerevisiae) antibody; MRE11 meiotic recombination 11 homolog A antibody; MRE11_HUMAN antibody; MRE11A antibody; MRE11b antibody; OTTHUMP00000236830 antibody; OTTHUMP00000236831 antibody; OTTHUMP00000236832 antibody; OTTHUMP00000236833 antibody
-
宿主:Rabbit
-
反應種屬:Human
-
免疫原:Recombinant Human Double-strand break repair protein MRE11A protein (1-205AA)
-
免疫原種屬:Homo sapiens (Human)
-
標記方式:Non-conjugated
本頁面中的產品,MRE11A Antibody (CSB-PA014786EA01HU),的標記方式是Non-conjugated。對于MRE11A Antibody,我們還提供其他標記。見下表:
-
克隆類型:Polyclonal
-
抗體亞型:IgG
-
純化方式:>95%, Protein G purified
-
濃度:It differs from different batches. Please contact us to confirm it.
-
保存緩沖液:Preservative: 0.03% Proclin 300
Constituents: 50% Glycerol, 0.01M PBS, pH 7.4 -
產品提供形式:Liquid
-
應用范圍:ELISA, IHC, IF
-
推薦稀釋比:
Application Recommended Dilution IHC 1:20-1:200 IF 1:50-1:200 -
Protocols:
-
儲存條件:Upon receipt, store at -20°C or -80°C. Avoid repeated freeze.
-
貨期:Basically, we can dispatch the products out in 1-3 working days after receiving your orders. Delivery time maybe differs from different purchasing way or location, please kindly consult your local distributors for specific delivery time.
-
用途:For Research Use Only. Not for use in diagnostic or therapeutic procedures.
相關產品
靶點詳情
-
功能:Component of the MRN complex, which plays a central role in double-strand break (DSB) repair, DNA recombination, maintenance of telomere integrity and meiosis. The complex possesses single-strand endonuclease activity and double-strand-specific 3'-5' exonuclease activity, which are provided by MRE11. RAD50 may be required to bind DNA ends and hold them in close proximity. This could facilitate searches for short or long regions of sequence homology in the recombining DNA templates, and may also stimulate the activity of DNA ligases and/or restrict the nuclease activity of MRE11 to prevent nucleolytic degradation past a given point. The complex may also be required for DNA damage signaling via activation of the ATM kinase. In telomeres the MRN complex may modulate t-loop formation.
-
基因功能參考文獻:
- The effects of chronic smoking on oral mucosa led to the methylation of genes MRE11A PMS2, XRCC1 and MLH3, but resulted in a reduction of gene expression of MRE11A and PMS2, which showed >/=50% methylation. These results provide evidence that smoking cause methylation and reduced expression of repair genes. PMID: 29775861
- This study confirms that H2AFX variants are associated with an increased risk of BC. The above-reported sequence variants of MRE11 genes may not constitute a risk factor of breast cancer in the Polish population. PMID: 29678143
- GFI1 facilitates efficient DNA repair by regulating PRMT1 dependent methylation of MRE11 and 53BP1. PMID: 29651020
- Expression levels of MRN complex proteins(MRE11/RAD50/NBS1) significantly predict disease-free survival in rectal cancer patients, including those treated with neoadjuvant radiotherapy, and may have value in the management of these patients. PMID: 30176843
- Study proposes a new mechanism by which loss of PTEN and consequent activation of the PI3K-AKT-mTORC1-S6K1 signalling pathway impairs DNA repair by downregulation of MRE11. PMID: 28967905
- ATM-dependent phosphorylation of CtIP and the epistatic and coordinated actions of MRE11 and CtIP nuclease activities are required to limit the stable loading of Ku on single-ended DNA double-strand breaks. PMID: 27641979
- These evidences suggest that NBS1 is regulated by two kind of mechanisms: complex formation dependent on ATM, and protein degradation mediated by an unknown MG132-resistant pathway. PMID: 28369484
- MRE11A gene polymorphism is associated with colorectal cancer. PMID: 26735576
- Low MRE11 expression is associated with low-grade epithelial ovarian cancer. PMID: 28073364
- although recruitment of the MRE11-RAD50-NBS1 (MRN) DSB-sensing complex to viral genomes and activation of the ATM kinase can promote KSHV replication, proteins involved in nonhomologous end joining (NHEJ) repair restrict amplification of viral DNA. PMID: 28855246
- Mre11-Rad50-Nbs1 complex initiates DNA double strand break repair. PMID: 28867292
- we show that Plk1 phosphorylates Mre11 at S649 during G2 DNA damage recovery and Mre11 phosphorylation at S649/S689 drives premature checkpoint termination and reduced DNA repair PMID: 28512243
- In the absence of RAD51, the unprotected newly replicated genome is degraded by the exonuclease activity of MRE11, and the fragmented nascent DNA accumulates in the cytosol, initiating an innate immune response. PMID: 28334891
- Both the genome instability and cell death of MRE11-null and MRE11-mutated H129N cells are significantly reversed by overexpression of Tdp2, an enzyme that eliminates covalent Top2 conjugates; thus, the essential role of Mre11 nuclease activity is likely to remove the DNA lesions. PMID: 27814490
- The results illuminate the important role of Nbs1 and CtIP in determining the substrates and consequences of human Mre11/Rad50 nuclease activities on protein-DNA lesions. PMID: 27814491
- Cdk-dependent phosphorylation of TRF1 on threonine 371 promotes TRF1 to interact with APBs in S and G2 phases independently of its binding to telomeric DNA. We have demonstrated that the interaction of (pT371)TRF1 with APBs is dependent upon ATM and homologous-recombination-promoting factors such as Mre11 and BRCA1. PMID: 27185864
- Ataxia-telangiectasia-like disease (A-TLD) is clinically similar to mild Ataxia-telangiectasia and caused by hypomorphic mutations in the MRE11 gene. PMID: 27181190
- although Mre11 is required for efficient HR-dependent repair of ionizing-radiation-induced DSBs, Mre11 is largely dispensable for DSB resection in both chicken DT40 and human TK6 B cell lines. PMID: 27311583
- The aim of this study was to assess the interaction between MRE11 and clinicopathologic variables in breast cancer. PMID: 28133604
- The high expression of MRE11-RAD50-NBS1 complex constituents could be a predictor for poor prognosis and chemoresistance in gastric cancer PMID: 27798884
- The expression of DSB repair proteins such as RAD51 and MRE11 was investigated by immunohistochemistry, and associations between RAD51 and MRE11 expression and clinicopathological factors or chemotherapeutic effect were assessed PMID: 26676960
- The MRN complex is essential to restrain MYCN-induced replication stress during neural cell proliferation. PMID: 26068589
- This study found a significant trend indicating that the risk increases as the number of adverse alleles increase and significant three-locus interaction model involving NBS1 rs1805794, MRE11 rs10831234, and ATM rs227062. PMID: 26514363
- a significant increase in DKC1, RAD50, MRE11 and RPA1 expression in MM cases with high bone marrow infiltration (p=0.03) and a tendency towards cases with advanced ISS stage PMID: 26366868
- Rad51 recombinase prevents Mre11 nuclease-dependent degradation and excessive PrimPol-mediated elongation of nascent DNA after UV irradiation PMID: 26627254
- The importance of the FGFR2-Mre11-DSBR link in cancer progression is suggested by the finding that genotypes of FGFR2 and Mre11 are associated with survival of breast cancer patients PMID: 25788520
- Furthermore, they collectively help to explain how MRN regulates DNA repair pathway choice. [review] PMID: 25576492
- Loss of the MRE11 protein predicts sensitivity to PARP-inhibitor sensitivity in vitro, defining it as an additional synthetic lethal gene with PARP. PMID: 24927325
- This work demonstrates that the Mre11-Rad50-Nbs1 DNA repair complex positively regulates AAV replication and plays a role in the integration of adeno-associated airus in the presence of herpes simplex virus 1. PMID: 25903339
- ATP switches the Mre11-Rad50-Nbs1 repair factor between signaling and processing of DNA ends. (Review) PMID: 25213441
- Low expression of MRE11 was associated with serous ovarian cancer. PMID: 24752797
- Analysis of this small number of colon cancer patients showed the dMRE11 marker predicts better prognosis independent of treatment in the long-term. In subgroup analyses, dMRE11 patients treated with irinotecan exhibited unexplained short-term mortality PMID: 25310185
- These data establish that MRE11A, RAD50, and NBN are intermediate-risk breast cancer susceptibility genes. PMID: 24894818
- These results articulate a model of inhibition of adeno-associated virus gene expression in which physical interaction of viral DNA with Mre11/Rad50/Nbs1 complex is more important than enzymatic activity. PMID: 25320294
- There was no correlation between bladder tumour MRE11 protein and RNA, suggesting MRE11 is controlled post-transcriptionally, a pattern confirmed in eight bladder cancer cell lines. PMID: 24625413
- This is the first report of somatic mutations within ESCO1 and CHTF18 in endometrial tumors and of MRE11A mutations in microsatellite-stable endometrial tumors. PMID: 23755103
- Germline MRE11A SNP rs1805363 was predictive of RT, but not of cystectomy outcome inMuscle-invasive bladder cancer . PMID: 24623370
- Data highlight a dual role for BLM that influences the DSB repair pathway choice: protection against CtIP/MRE11 long-range deletions associated with A-EJ and promotion of DNA resection. PMID: 24095737
- Microsatellite instability mutations were detected in MRE11 in myeloid malignancies conferring sensitivity to PARP inhibitors. PMID: 23349304
- The N-terminal mutations were found in ATLD patients with childhood cancer; thus, our studies suggest a clinically relevant dichotomy in MRE11A alleles PMID: 23912341
- Common genetic variations in the MRE11 and RAD50 genes do not contribute to an increased risk of laryngeal cancer. PMID: 24079363
- The formerly reported sequence variants in the RAD50 and MRE11 gene may not constitute a risk factor of childhood ALL in Polish population. PMID: 24093751
- Expression of cell cycle regulatory factors hus1, gadd45a, rb1, cdkn2a and mre11a correlates with expression of clock gene per2 in human colorectal carcinoma tissue. PMID: 24062075
- Rad17 is phosphorylated by ATM at Thr622 resulting in a direct interaction of Rad17 with NBS1, facilitating recruitment of MRE11, RAD50 and ATM to the DNA double-strand breaks. PMID: 24534091
- We found a significant relation between the expression of MRE11, NIBRIN and the postoperative survival of patients with pancreatic ductal adenocarcinoma PMID: 23954013
- DNA double-strand break repair pathway choice is directed by distinct MRE11 nuclease activities. PMID: 24316220
- these data point to Mre11 as an important locus of Rsk-mediated checkpoint inhibition acting upstream of ATM activation. PMID: 24297933
- The Mre11-Rad50-Nbs1 (MRN) complex further stimulates resection in the presence of Ku and DNA-PKcs by recruiting Exo1 and enhancing DNA-PKcs autophosphorylation, and it also inhibits DNA ligase IV/XRCC4-mediated end rejoining. PMID: 24220101
- FANCJ helicase and MRE11 nuclease interact to facilitate the DNA damage response. PMID: 23530059
- Ataxia telangiectasia-mutated (ATM) kinase activity is regulated by ATP-driven conformational changes in the Mre11/Rad50/Nbs1 (MRN) complex. PMID: 23525106
顯示更多
收起更多
-
相關疾病:Ataxia-telangiectasia-like disorder 1 (ATLD1)
-
亞細胞定位:Nucleus. Chromosome, telomere. Chromosome.
-
蛋白家族:MRE11/RAD32 family
-
數據庫鏈接:
Most popular with customers
-
-
YWHAB Recombinant Monoclonal Antibody
Applications: ELISA, WB, IHC, IF, FC
Species Reactivity: Human, Mouse, Rat
-
Phospho-YAP1 (S127) Recombinant Monoclonal Antibody
Applications: ELISA, WB, IHC
Species Reactivity: Human
-
-
-
-
-















