MTDH Antibody
-
中文名稱:MTDH兔多克隆抗體
-
貨號:CSB-PA773028ESR2HU
-
規格:¥440
-
圖片:
-
Immunohistochemistry of paraffin-embedded human breast cancer using CSB-PA773028ESR2HU at dilution of 1:100
-
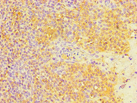
Immunohistochemistry of paraffin-embedded human tonsil tissue using CSB-PA773028ESR2HU at dilution of 1:100
-
Immunoprecipitating MTDH in Hela whole cell lysate
Lane 1: Rabbit control IgG instead of (1μg) instead of CSB-PA773028ESR2HU in Hela whole cell lysate. For western blotting, a HRP-conjugated anti-rabbit IgG, specific to the non-reduced form of IgG was used as the Secondary antibody (1/50000)
Lane 2: CSB-PA773028ESR2HU (4μg) + Hela whole cell lysate (500μg)
Lane 3: Hela whole cell lysate (20μg)
-
-
其他:
產品詳情
-
產品名稱:Rabbit anti-Homo sapiens (Human) MTDH Polyclonal antibody
-
Uniprot No.:
-
基因名:MTDH
-
別名:3D3 antibody; 3D3/LYRIC antibody; AEG 1 antibody; AEG-1 antibody; AEG1 antibody; Astrocyte elevated gene 1 antibody; Astrocyte elevated gene-1 protein antibody; LYRIC antibody; LYRIC/3D3 antibody; LYRIC_HUMAN antibody; Lysine rich CEACAM1 associated protein antibody; Lysine rich CEACAM1 co isolated protein antibody; Lysine-rich CEACAM1 co-isolated protein antibody; Metadherin antibody; Metastasis adhesion protein antibody; MTDH antibody; Protein LYRIC antibody
-
宿主:Rabbit
-
反應種屬:Human
-
免疫原:Recombinant Human Protein LYRIC protein (1-260AA)
-
免疫原種屬:Homo sapiens (Human)
-
標記方式:Non-conjugated
-
克隆類型:Polyclonal
-
抗體亞型:IgG
-
純化方式:Antigen Affinity Purified
-
濃度:It differs from different batches. Please contact us to confirm it.
-
保存緩沖液:PBS with 0.02% sodium azide, 50% glycerol, pH7.3.
-
產品提供形式:Liquid
-
應用范圍:ELISA, IHC, IP
-
推薦稀釋比:
Application Recommended Dilution IHC 1:20-1:200 IP 1:200-1:2000 -
Protocols:
-
儲存條件:Upon receipt, store at -20°C or -80°C. Avoid repeated freeze.
-
貨期:Basically, we can dispatch the products out in 1-3 working days after receiving your orders. Delivery time maybe differs from different purchasing way or location, please kindly consult your local distributors for specific delivery time.
-
用途:For Research Use Only. Not for use in diagnostic or therapeutic procedures.
相關產品
靶點詳情
-
功能:Downregulates SLC1A2/EAAT2 promoter activity when expressed ectopically. Activates the nuclear factor kappa-B (NF-kappa-B) transcription factor. Promotes anchorage-independent growth of immortalized melanocytes and astrocytes which is a key component in tumor cell expansion. Promotes lung metastasis and also has an effect on bone and brain metastasis, possibly by enhancing the seeding of tumor cells to the target organ endothelium. Induces chemoresistance.
-
基因功能參考文獻:
- These findings indicate that microRNA-30a may act as a tumor suppressor in colorectal cancer and that microRNA-30a represses cell migration and invasion by decreasing metadherin PMID: 29478367
- High MTDH expression is associated with colorectal cancer. PMID: 30015962
- miR-655 directly targets and downregulates MTDH mRNA expression in oral squamous cell carcinoma cells. PMID: 30015840
- Metadherin (MTDH) was validated as a direct target gene of miR874 in retinoblastoma cells. PMID: 30015932
- AEG-1 as a target gene of miR-216b action. PMID: 29787989
- AEG-1 participates in the effects of miR-625-3p on thyroid cancer cells. PMID: 29558717
- Findings provide the first evidence that the aberrant expression of miR-136 may be implicated into carcinogenesis and cancer progression of OS. Functionally, miR-136 may inhibit the proliferation, migration and invasion of OS cells via negatively regulating its target gene MTDH. PMID: 29562498
- AEG-1 was found to be significantly associated with hypoxia in ovarian cancer by regulating the HIF-1alpha/NF-kappaB/VEGF pathway. PMID: 29770329
- miR96 may impede the epithelial to mesenchymal transition process by downregulating AEG1 in glioblastoma cancer cells. PMID: 29257267
- The findings demonstrated that miR-379 may play tumor-suppressing roles in glioma through downregulation of MTDH and regulation of the PTEN/AKT signaling pathway. PMID: 29286115
- High AEG1 expression was associated with Oral Squamous Cell Carcinomas. PMID: 29286223
- miR675 expression was downregulated in melanoma tissues and cell lines. Functional assays demonstrated that the upregulation of miR675 impaired cell proliferation and invasion in melanoma. Bioinformatics analysis, luciferase reporter assay, reverse transcriptionquantitative polymerase chain reaction and western blot analysis demonstrated that metadherin (MTDH) was a direct target of miR675 in melanoma. PMID: 29257296
- Our findings provided evidence that AEG-1 contributed to the production of inflammatory cytokines, migration and invasion of rheumatoid arthritis fibroblast-like synoviocytes, and underscored the importance of AEG-1 in the inflammation process of rheumatoid arthritis PMID: 28927747
- High MTDH expression is associated with gastric cancer metastasis. PMID: 28534938
- Knockdown of MTDH expression also upregulated PTEN and suppressed pAKT protein expression in Caki2 cells. In conclusion, the present study is the first, to the best of our knowledge, to provide evidence suggesting that miRNA30a5p suppresses tumor human renal cancer cell proliferation via the MTDH/PTEN/AKT pathway PMID: 29207012
- These results suggested that miR216b acted as a tumor suppressor in glioma by directly targeting MTDH and that the miR216b/MTDH axis may be an effective therapeutic target for the treatment of patients with this disease PMID: 29152659
- AEG-1 functions as a selective endoplasmic reticulum mRNA-binding protein. PMID: 29438049
- AEG-1 may play important roles at the transcription level in malignant transformation and tumor angiogenesis in non-small cell lung cancer. PMID: 28941723
- miR-197 expression was downregulated in gastric cancer and aberrantly expressed miR-197 may partially influence gastric cancer cell proliferation and invasion by directly targeting MTDH. PMID: 29115517
- The findings suggest that AEG-1 promotes gastric cancer metastasis through upregulation of eIF4E-mediated MMP-9 and Twist. PMID: 28661037
- our results indicated that miR-1297 functioned as a tumor suppressor gene in regulating the EMT and metastasis of cervical cancer (CC)via targeting of AEG-1, and may represent a novel potential therapeutic target and prognostic marker for CC PMID: 29048632
- Data suggest that MIR1271 is down-regulated in colorectal cancer tissues and cell lines; MIR1271 appears to negatively regulate MTDH expression in colorectal cancer cells; MIR1271 also activates Wnt signaling and suppresses proliferation and invasion/movement of colorectal cancer cells. (MIR1271 = microRNA-1271; MTDH = metadherin) PMID: 29315995
- we have identified a novel mechanism for DIM- and ring-DIM-induced protective autophagy, via induction of AEG-1 and subsequent activation of AMPK. Our findings could facilitate the development of novel drug therapies for prostate cancer that include selective autophagy inhibitors as adjuvants. PMID: 28923415
- miR-384 and AEG-1 may serve as potential targets for the diagnosis and treatment of non-small-cell lung cancer. PMID: 28938524
- Study confirmed that hypoxia increased MTDH expression via HIF-1alpha expression. Knockdown of MTDH expression in head and neck squamous cell carcinoma (HNSCC) cell lines interrupted hypoxiainduced metastasis and glycolysis. Furthermore, reduced MTDH expression decreased HIF-1alpha expression. These results indicated the presence of a positive feedback loop between MTDH and HIF-1alpha in HNSCC. PMID: 28901527
- Through the analysis of the Cancer Genome Atlas (TCGA) datasets for estrogen receptor (ER)-positive endometrial and breast cancers, this study found that over 25% of all gene expression correlated with MTDH. PMID: 28627585
- The results indicated that high MTDH expression is significantly correlated with higher mortality in breast, ovarian and cervical cancer. (Meta-analysis) PMID: 27917902
- In-depth review of the role of AEG-1 in a diverse spectrum of diseases, from cancer to HIV-1 and aging, highlighting mechanistic processes that synergize with known AEG-1 functions and promoting the notion that AEG-1 occupies a unique niche in inflammation, mitochondrial, ER and nucleolar stress, culminating in excitotoxicity and other neurodegenerative outcomes. PMID: 27090750
- We found that overexpression of AEG-1 in PTC was positively correlated with lymph node metastasis and MMP2/9 expression. Knockdown of AEG-1 reduced the capacity of migration and invasion through downregulation of MMP2/9 in thyroid cancer cells. Furthermore, we firstly found that AEG-1 interacted with MMP9 in thyroid cancer cells. PMID: 28731152
- miR448 was downregulated in osteosarcoma and overexpression of miR448 inhibited cell proliferation and invasion by targeting AEG1, providing novel insights into the understanding of osteosarcoma pathogenesis. PMID: 28849015
- Upregulation of MTDH reversed the suppression of glioma cell growth and metastasis by miR-202. PMID: 28714009
- MTDH expression does not correlate with prognosis in the esophageal adenocarcinoma patients. PMID: 28685276
- Knockdown of MTDH gene effectively inhibits the proliferation and metastasis of SGC7901 cells. PMID: 29089083
- oncogenic role of AEG-1 in melanoma PMID: 28429540
- Findings clearly demonstrate that miR-320a suppresses breast cancer metastasis by directly inhibiting MTDH expression. The present study provides a new insight into anti-oncogenic roles of miR-320a. PMID: 27229534
- Results show that miR-342-3p inhibits the proliferation, migration, and invasion of osteosarcoma cells through targeting AEG-1. PMID: 28276315
- AEG-1 knockdown inhibits migration and invasion, as well as radiation-enhanced invasion both in vitro and in vivo I colonic cancer cells. PMID: 27835571
- Study shows that expression of AEG-1 was significantly higher in macrophages and associated with elevated expression levels of MMP-9 in hypopharyngeal cancer. These results demonstrate that macrophage AEG-1 promotes tumor invasion through up-regulation of MMP-9 in both macrophages and cancer cells. PMID: 27793010
- Gene expression data and in silico database analysis showed that the metadherin gene (MTDH) was a direct target of both miR-145-5p and miR-145-3p regulation and high expression of MTDH predicted poorer survival of lung squamous cell carcinoma patients. PMID: 27765924
- Results demonstrated that AEG-1 significantly enhanced invasion capabilities of OVCAR3 ovarian cancer cells and suggested that HIF-1alpha binds to AEG-1 promoter to upregulate its expression, which was correlated with metastasis in ovarian cancer. PMID: 28401704
- Expression of AEG-1 was strongly associated with stem cell markers CD133 and SOX2. AEG-1 facilitated beta-catenin translocation into the nucleus by forming a complex with LEF1 and beta-catenin, subsequently activating Wnt signaling downstream genes. PMID: 27903708
- miR-26a is capable of suppressing the proliferation and migration of ESCC cells via negative regulation of metadherin PMID: 28174206
- High MTDH expression is associated with glioblastomas. PMID: 27923917
- MTDH induces Epithelial-mesenchymal transition-like change and invasion of glioma via the regulation of miR-130b-competing endogenous RNAs, providing the first direct link between MTDH and miRNAs in cancer cells. PMID: 28107197
- High MTDH expression is associated with hepatocellular carcinoma. PMID: 28184926
- c-Jun and p300 are novel interacting partners of AEG-1 in gliomas. PMID: 27956703
- Long noncoding RNA FTX regulated astrocyte-elevated gene-1 (AEG-1) expression through microRNA miR-342-3p. PMID: 28112756
- Study highlights the importance of interactions among lncRNA HCP5, microRNA-139, and transcription factor RUNX1 in regulating the malignant behavior of glioma cells. HCP5 down-regulated miR-139 to up-regulate RUNX1. RUNX1 promoted AEG-1 expression, which was involved in a series of oncogenic effects in glioma cells. RUNX1 also up-regulated HCP5 expression, which formed a positive feedback loop. PMID: 27434586
- AEG-1 is involved in miR-1297-regulated prostate cancer cell proliferation and invasion.MiR-1297 targets and inhibits AEG-1 in prostate cancer. PMID: 27746178
- IL-8 was displayed to be capable of directly interacting with metadherin (MTDH), which in turn can up-regulate IL-8 expression. PMID: 27565732
顯示更多
收起更多
-
亞細胞定位:Endoplasmic reticulum membrane; Single-pass membrane protein. Nucleus membrane; Single-pass membrane protein. Cell junction, tight junction. Nucleus, nucleolus. Cytoplasm, perinuclear region.
-
組織特異性:Widely expressed with highest levels in muscle-dominating organs such as skeletal muscle, heart, tongue and small intestine and in endocrine glands such as thyroid and adrenal gland. Overexpressed in various cancers including breast, brain, prostate, mela
-
數據庫鏈接:
Most popular with customers
-
-
YWHAB Recombinant Monoclonal Antibody
Applications: ELISA, WB, IHC, IF, FC
Species Reactivity: Human, Mouse, Rat
-
Phospho-YAP1 (S127) Recombinant Monoclonal Antibody
Applications: ELISA, WB, IHC
Species Reactivity: Human
-
-
-
-
-















