-
中文名稱:MYOC兔多克隆抗體
-
貨號:CSB-PA859950LA01HU
-
規格:¥440
-
圖片:
-
Western Blot
Positive WB detected in: MCF-7 whole cell lysate, Colo320 whole cell lysate
All lanes: MYOC antibody at 5.2µg/ml
Secondary
Goat polyclonal to rabbit IgG at 1/50000 dilution
Predicted band size: 57 kDa
Observed band size: 57 kDa -
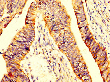
IHC image of CSB-PA859950LA01HU diluted at 1:200 and staining in paraffin-embedded human pancreatic tissue performed on a Leica BondTM system. After dewaxing and hydration, antigen retrieval was mediated by high pressure in a citrate buffer (pH 6.0). Section was blocked with 10% normal goat serum 30min at RT. Then primary antibody (1% BSA) was incubated at 4°C overnight. The primary is detected by a biotinylated secondary antibody and visualized using an HRP conjugated SP system.
-
IHC image of CSB-PA859950LA01HU diluted at 1:200 and staining in paraffin-embedded human colon cancer performed on a Leica BondTM system. After dewaxing and hydration, antigen retrieval was mediated by high pressure in a citrate buffer (pH 6.0). Section was blocked with 10% normal goat serum 30min at RT. Then primary antibody (1% BSA) was incubated at 4°C overnight. The primary is detected by a biotinylated secondary antibody and visualized using an HRP conjugated SP system.
-
-
其他:
產品詳情
-
產品名稱:Rabbit anti-Homo sapiens (Human) MYOC Polyclonal antibody
-
Uniprot No.:
-
基因名:MYOC
-
別名:GLC1A antibody; GPOA antibody; JOAG antibody; JOAG1 antibody; Mutated trabecular meshwork-induced glucocorticoid response protein antibody; MYOC antibody; MYOC_HUMAN antibody; Myocilin antibody; Myocilin, trabecular meshwork inducible glucocorticoid antibody; TIGR antibody; Trabecular meshwork induced glucocorticoid response protein antibody; Trabecular meshwork-induced glucocorticoid response protein antibody
-
宿主:Rabbit
-
反應種屬:Human
-
免疫原:Recombinant Human Myocilin protein (183-294AA)
-
免疫原種屬:Homo sapiens (Human)
-
標記方式:Non-conjugated
本頁面中的產品,MYOC Antibody (CSB-PA859950LA01HU),的標記方式是Non-conjugated。對于MYOC Antibody,我們還提供其他標記。見下表:
-
克隆類型:Polyclonal
-
抗體亞型:IgG
-
純化方式:>95%, Protein G purified
-
濃度:It differs from different batches. Please contact us to confirm it.
-
保存緩沖液:Preservative: 0.03% Proclin 300
Constituents: 50% Glycerol, 0.01M PBS, pH 7.4 -
產品提供形式:Liquid
-
應用范圍:ELISA, WB, IHC
-
推薦稀釋比:
Application Recommended Dilution WB 1:500-1:5000 IHC 1:200-1:500 -
Protocols:
-
儲存條件:Upon receipt, store at -20°C or -80°C. Avoid repeated freeze.
-
貨期:Basically, we can dispatch the products out in 1-3 working days after receiving your orders. Delivery time maybe differs from different purchasing way or location, please kindly consult your local distributors for specific delivery time.
-
用途:For Research Use Only. Not for use in diagnostic or therapeutic procedures.
引用文獻
- Transcriptome┸\wide study of the response of human trabecular meshwork cells to the substrate stiffness increase J Tie,J. Cell. Biochem,2020
相關產品
靶點詳情
-
功能:Secreted glycoprotein regulating the activation of different signaling pathways in adjacent cells to control different processes including cell adhesion, cell-matrix adhesion, cytoskeleton organization and cell migration. Promotes substrate adhesion, spreading and formation of focal contacts. Negatively regulates cell-matrix adhesion and stress fiber assembly through Rho protein signal transduction. Modulates the organization of actin cytoskeleton by stimulating the formation of stress fibers through interactions with components of Wnt signaling pathways. Promotes cell migration through activation of PTK2 and the downstream phosphatidylinositol 3-kinase signaling. Plays a role in bone formation and promotes osteoblast differentiation in a dose-dependent manner through mitogen-activated protein kinase signaling. Mediates myelination in the peripheral nervous system through ERBB2/ERBB3 signaling. Plays a role as a regulator of muscle hypertrophy through the components of dystrophin-associated protein complex. Involved in positive regulation of mitochondrial depolarization. Plays a role in neurite outgrowth. May participate in the obstruction of fluid outflow in the trabecular meshwork.
-
基因功能參考文獻:
- Structure and misfolding of the flexible tripartite coiled-coil domain of glaucoma-associated myocilin has been reported. PMID: 29056483
- single nucleotide polymorphism in exon 3 of MYOC is associated with glaucoma. PMID: 29630620
- Juvenile onset open angle glaucoma and adult onset POAG form a spectrum of phenotypes. we analyzed the common variants in MYOC and CYP1B1 that were shared among all the three phenotypes .An interesting finding was that, while, many CYP1B1 variants were found in all three types of glaucoma, there was no reported MYOC variant, that was common to all the three primary glaucomas. PMID: 27779752
- We report a five-generation pedigree with a complex pattern of primary open angle glaucoma(POAG) inheritance; familial clustering of POAG in this pedigree is consistent with dominant inheritance of a glaucoma-causing gene, mutations were not detected in genes previously associated with autosomal dominant glaucoma, suggesting the involvement of a novel disease-causing gene in this pedigree. PMID: 27355837
- present work reveals that FOXC1 is an important regulator of exocytosis and establishes a new link between FOXC1 and MYOC-associated glaucoma PMID: 28575017
- The four detected MYOC mutations appeared to be associated with morphologic changes in the trabecular meshwork and the underlying pathogenesis of a subtype of familial primary open angle glaucoma. PMID: 28564705
- The mutations c.1456C < T (p.L486F) in MYOC and c.322G < A (p.V108I) in B4GALT3 are likely responsible for the pathogenesis of Primary Open-angle Glaucoma in this family. PMID: 27900994
- Our findings demonstrated that MYOC cascade genetic testing for POAG allows identification of at-risk individuals at an early stage or even before signs of glaucoma are present. To our knowledge, this is the first study to demonstrate the clinical utility of predictive genetic testing for MYOC glaucoma. PMID: 27993484
- The significance of this finding is that higher numbers of healthy individuals in the population are expected to be carriers of this mutation, which in turn reduces the utility of identifying carriers of this mutation as a screening tool for glaucoma PMID: 28038983
- regulation by retinoic acid acts through the MYOC promoter which contains a critical cluster of four retinoic acid responsive elements (RAREs), with the RARE-DR2 presenting the strongest effect and binding the RARalpha/RXRalpha heterodimer. PMID: 28153738
- Five out of 30 families with PCG (16.7%) had disease attributable to CYP1B1 alterations suggesting that CYP1B1 is not the major gene causing PCG in Vietnamese unlike in the case of Arab or Romany patients. PMID: 26550974
- The present study provides insight into the genetic or haplotype variants of MYOC and OPTN genes contributing to primary glaucoma. Haplotype variants identified in the present study may be regarded as potential contributing factors of primary glaucoma in Korea. PMID: 27485216
- Familial linkage studies for primary angle-closure glaucoma have been performed and identified MYOC causative primary angle-closure glaucoma disease PMID: 26497787
- The rate of CYP1B1 mutations in Lebanese patients with primary congenital glaucoma (PCG) is lower than that reported in other Arab and Middle Eastern populations and suggests other genes are responsible. PMID: 24940937
- Data show that predictive genetic testing for early onset Myocilin glaucoma can facilitate early detection of disease or discharge from routine ophthalmic examinations. PMID: 25582056
- This study does not confirm a role for genetic variants in the MYOC, NR3C1 and FKBP5 genes in the pathogenesis of corticosteroid-induced ocular hypertension. PMID: 24417561
- Glaucomatous MYOC mutations activate the IL-1beta/NF-kappaB inflammatory stress response and the glaucoma marker SELE in trabecular meshwork cells. PMID: 26396484
- Secondary structure prediction of the Ser341Pro MYOC gene mutation suggested that the MYOC protein was misfolded. PMID: 25777973
- Mutations in myoc ofactomedin domain are causative in the autosomal dominant inherited form of the prevalent ocular disorder glaucoma. PMID: 25524706
- A novel heterozygous missense mutation c.761C
PMID: 26095806 - All POAG samples underwent full sequencing of the MYOC gene, and we found a sensitivity of 100%, specificity of 99.91%, positive predictive value of 95.65%, and negative predictive value of 100% between imputation and sequencing. PMID: 26237198
- FAs, expression of fibrogenic markers, and myocilin in HTM cells. These characteristics of Hic-5 in TM cells indicate its importance in regulation of AH outflow through the TM in both normal and glaucomatous eyes. PMID: 26313302
- Haplotype analysis of association of the MYOC gene with primary angle-closure glaucoma in a Han Chinese population PMID: 25268471
- Overall, 3.3% of black South Africans with POAG have a Gly374Val or Tyr453del MYOC mutation. The Tyr453del mutation is incompletely penetrant. PMID: 25330346
- The interaction of Grp94 with myocilin aggregates can be manipulated by cellular environment and genetics; this process can be exploited with Grp94 inhibitors to promote the clearance of toxic forms of myocilin. PMID: 25027323
- TGF-beta2 induced MYOC expression and secretion in human primary cultured trabecular meshwork cells PMID: 25197353
- According to molecular genetic studies, MYOC causative gene involved in the development of Primary open-angle glaucoma. PMID: 25711070
- The data suggest that the DEX-induced increase in MYOC expression activates a calcineurin and NFATc1 pathway in a calcium independent mechanism. PMID: 25450062
- MYOC mutations are associated with primary open-angle glaucoma . PMID: 24406458
- found no evidence to support a significant association between MYOC polymorphism and hgih myopia PMID: 24766640
- The current study provided evidence that in normal homeostatic situation, the turnover of endogenous myocilin involves ubiquitin-proteasome and lysosomal pathways. PMID: 24732711
- The Asn480Lys mutation and the IVS2 730+35 G>A polymorphism increased susceptibility to juvenile-onset open angle glaucoma in this large Malay pedigree. PMID: 24883016
- the novel heterozygous single nucleotide transition MYOC:c.1119G>A, p.(Trp373), predicted to encode an aberrant truncated MYOC protein in two siblings affected by autosomal dominant primary open angle glaucoma PMID: 24768183
- This study demonistrated that myocilin as a novel positive regulator of oligodendrocyte differentiation in the optic nerve. In the absence of myocilin, oligodendrocyte differentiation is delayed in vivo. PMID: 24741044
- The glaucoma-associated olfactomedin domain of myocilin forms polymorphic fibrils that are constrained by partial unfolding and may contribute to glaucoma pathogenesis. PMID: 24333014
- myocilin promotes cell proliferation and resistance to apoptosis via the ERK1/2 MAPK signaling pathway. PMID: 24563482
- The study showed that the peptide DQLETQTRELETAYSNLLRD corresponding to N-terminal Leucine zipper motif (LZM) of the protein is able to form amyloid-like fibrils. PMID: 23764838
- This is the largest TM expression study of POAG cases and controls performed to date and represents the first report of TM expression in a patient having POAG with a Q368X MYOC mutation. PMID: 24003086
- A novel severe Juvenile Open Angle Glaucoma disease causing mutation in the MYOC gene. PMID: 23886590
- Our results using human patient samples are consistent with a dominant-negative effect of pathogenic MYOC mutations on myocilin secretion. PMID: 23517641
- Myocilin also stimulated osteogenic differentiation of wild-type MSCs, which was associated with activation of the p38, Erk1/2, and JNK MAP kinase signaling pathways PMID: 23629661
- The prevalence of Myocilin mutations in glaucoma cases with severe visual field loss is significantly greater than in nonadvanced glaucoma patients. PMID: 23453510
- The in-frame MYOC c.1187_1188insCCCAGA mutation causes juvenile-onset open-angle glaucoma in a Brazilian family. PMID: 23566828
- Compound heterozygote for the Gln368STOP and Thr377Met MYOC mutations has been described in a pedigree with high prevalence of primary open-angle glaucoma. PMID: 23304066
- This study analyzed CYP1B1, LTBP2, and MYOC mutations in a cohort of primary congenital glaucoma patients from the United States, applying whole exome sequencing PMID: 23218701
- Grp94 triages mutant myocilin through endoplasmic reticulum-associated degradation. PMID: 23035116
- The glaucoma-associated olfactomedin domain of myocilin is a novel calcium binding protein. PMID: 23129764
- Mutant CYP1B1, lacking the 17beta estradiol metabolizing activity, can cause MYOC upregulation, which might have a potential implication in glaucoma pathogenesis. PMID: 23028769
- There is strong evidence that myocilin polymorphisms are associated with primary open-angle glaucoma susceptibility. [Meta-analysis] PMID: 23029558
- CYP1B1 may act as a modifier of MYOC expression and a mutation in both genes was related to the early onset of juvenile open angle glaucoma. PMID: 22942166
顯示更多
收起更多
-
相關疾病:Glaucoma 1, open angle, A (GLC1A); Glaucoma 3, primary congenital, A (GLC3A)
-
亞細胞定位:Secreted. Golgi apparatus. Cytoplasmic vesicle. Secreted, extracellular space. Secreted, extracellular space, extracellular matrix. Secreted, extracellular exosome. Mitochondrion. Mitochondrion intermembrane space. Mitochondrion inner membrane. Mitochondrion outer membrane. Rough endoplasmic reticulum. Cell projection. Cell projection, cilium.; [Myocilin, C-terminal fragment]: Secreted.; [Myocilin, N-terminal fragment]: Endoplasmic reticulum. Note=Remains retained in the endoplasmic reticulum.
-
組織特異性:Detected in aqueous humor. Detected in the eye (at protein level). Widely expressed. Highly expressed in various types of muscle, ciliary body, papillary sphincter, skeletal muscle, heart, and bone marrow-derived mesenchymal stem cells. Expressed predomin
-
數據庫鏈接:
Most popular with customers
-
-
YWHAB Recombinant Monoclonal Antibody
Applications: ELISA, WB, IHC, IF, FC
Species Reactivity: Human, Mouse, Rat
-
Phospho-YAP1 (S127) Recombinant Monoclonal Antibody
Applications: ELISA, WB, IHC
Species Reactivity: Human
-
-
-
-
-















