MYOZ2 Antibody
-
中文名稱:MYOZ2兔多克隆抗體
-
貨號:CSB-PA873609LA01HU
-
規格:¥440
-
圖片:
-
Western Blot
Positive WB detected in: MCF-7 whole cell lysate
All lanes: MYOZ2 antibody at 4.31µg/ml
Secondary
Goat polyclonal to rabbit IgG at 1/50000 dilution
Predicted band size: 30 kDa
Observed band size: 30 kDa -
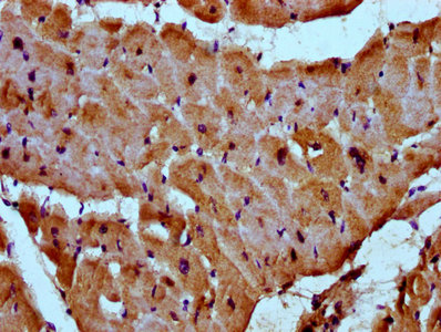
IHC image of CSB-PA873609LA01HU diluted at 1:300 and staining in paraffin-embedded human heart tissue performed on a Leica BondTM system. After dewaxing and hydration, antigen retrieval was mediated by high pressure in a citrate buffer (pH 6.0). Section was blocked with 10% normal goat serum 30min at RT. Then primary antibody (1% BSA) was incubated at 4°C overnight. The primary is detected by a biotinylated secondary antibody and visualized using an HRP conjugated SP system.
-
Immunofluorescence staining of Hela cells with CSB-PA873609LA01HU at 1:100, counter-stained with DAPI. The cells were fixed in 4% formaldehyde, permeabilized using 0.2% Triton X-100 and blocked in 10% normal Goat Serum. The cells were then incubated with the antibody overnight at 4°C. The secondary antibody was Alexa Fluor 488-congugated AffiniPure Goat Anti-Rabbit IgG(H+L).
-
-
其他:
產品詳情
-
產品名稱:Rabbit anti-Homo sapiens (Human) MYOZ2 Polyclonal antibody
-
Uniprot No.:
-
基因名:MYOZ2
-
別名:C4orf5 antibody; Calcineurin binding protein calsarcin 1 antibody; Calsarcin 1 antibody; Calsarcin-1 antibody; Calsarcin1 antibody; CMH16 antibody; CS 1 antibody; CS1 antibody; FATZ related protein 2 antibody; FATZ-related protein 2 antibody; Muscle specific protein antibody; MYOZ 2 antibody; MYOZ2 antibody; MYOZ2_HUMAN antibody; Myozenin-2 antibody; Myozenin2 antibody
-
宿主:Rabbit
-
反應種屬:Human
-
免疫原:Recombinant Human Myozenin-2 protein (90-180AA)
-
免疫原種屬:Homo sapiens (Human)
-
標記方式:Non-conjugated
本頁面中的產品,MYOZ2 Antibody (CSB-PA873609LA01HU),的標記方式是Non-conjugated。對于MYOZ2 Antibody,我們還提供其他標記。見下表:
-
克隆類型:Polyclonal
-
抗體亞型:IgG
-
純化方式:>95%, Protein G purified
-
濃度:It differs from different batches. Please contact us to confirm it.
-
保存緩沖液:Preservative: 0.03% Proclin 300
Constituents: 50% Glycerol, 0.01M PBS, pH 7.4 -
產品提供形式:Liquid
-
應用范圍:ELISA, WB, IHC, IF
-
推薦稀釋比:
Application Recommended Dilution WB 1:500-1:5000 IHC 1:200-1:500 IF 1:50-1:200 -
Protocols:
-
儲存條件:Upon receipt, store at -20°C or -80°C. Avoid repeated freeze.
-
貨期:Basically, we can dispatch the products out in 1-3 working days after receiving your orders. Delivery time maybe differs from different purchasing way or location, please kindly consult your local distributors for specific delivery time.
-
用途:For Research Use Only. Not for use in diagnostic or therapeutic procedures.
相關產品
靶點詳情
-
功能:Myozenins may serve as intracellular binding proteins involved in linking Z line proteins such as alpha-actinin, gamma-filamin, TCAP/telethonin, LDB3/ZASP and localizing calcineurin signaling to the sarcomere. Plays an important role in the modulation of calcineurin signaling. May play a role in myofibrillogenesis.
-
基因功能參考文獻:
- may play a modifying role in hypertrophic cardiomyopathy by affecting the penetrance or degree of performance of the MYH7 gene PMID: 28296734
- The cardiac phenotype in hypertrophic cardiomyopathy caused by MYOZ2 mutations might be independent of calcineurin activity in the heart. PMID: 22987565
- Two missense mutations, S48P substitution and I246M affecting highly conserved amino acids were linked to hereditary Hypertrophic cardiomyopathy characterized by early onset of symptoms, pronounced cardiac hypertrophy, and cardiac arrhythmias. PMID: 17347475
- Mutations in MYOZ1 and MYOZ2 are at least very rare events as an underlying disease mechanism for idiopathic or familial DCM PMID: 17434779
- Observational study of genotype prevalence. (HuGE Navigator) PMID: 17347475
顯示更多
收起更多
-
相關疾病:Cardiomyopathy, familial hypertrophic 16 (CMH16)
-
亞細胞定位:Cytoplasm, myofibril, sarcomere, Z line.
-
蛋白家族:Myozenin family
-
組織特異性:Expressed specifically in heart and skeletal muscle.
-
數據庫鏈接:
Most popular with customers
-
-
YWHAB Recombinant Monoclonal Antibody
Applications: ELISA, WB, IHC, IF, FC
Species Reactivity: Human, Mouse, Rat
-
Phospho-YAP1 (S127) Recombinant Monoclonal Antibody
Applications: ELISA, WB, IHC
Species Reactivity: Human
-
-
-
-
-















