NAPG Antibody
-
中文名稱:NAPG兔多克隆抗體
-
貨號:CSB-PA860352DSR1HU
-
規格:¥440
-
圖片:
-
Western blot
All lanes: NAPG antibody at 1.1µg/ml
Lane 1: HepG2 whole cell lysate
Lane 2: Hela whole cell lysate
Lane 3: U251 whole cell lysate
Lane 4: K562 whole cell lysate
Secondary
Goat polyclonal to rabbit IgG at 1/10000 dilution
Predicted band size: 35, 26 kDa
Observed band size: 35 kDa -
Immunohistochemistry of paraffin-embedded human colon cancer using CSB-PA860352DSR1HU at dilution of 1:100
-
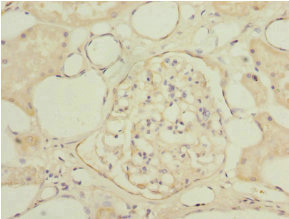
Immunohistochemistry of paraffin-embedded human kidney tissue using CSB-PA860352DSR1HU at dilution of 1:100
-
-
其他:
產品詳情
-
產品名稱:Rabbit anti-Homo sapiens (Human) NAPG Polyclonal antibody
-
Uniprot No.:
-
基因名:NAPG
-
別名:NAPG antibody; SNAPG antibody; Gamma-soluble NSF attachment protein antibody; SNAP-gamma antibody; N-ethylmaleimide-sensitive factor attachment protein gamma antibody
-
宿主:Rabbit
-
反應種屬:Human
-
免疫原:Recombinant Human Gamma-soluble NSF attachment protein (1-312AA)
-
免疫原種屬:Homo sapiens (Human)
-
標記方式:Non-conjugated
-
克隆類型:Polyclonal
-
抗體亞型:IgG
-
純化方式:Antigen Affinity Purified
-
濃度:It differs from different batches. Please contact us to confirm it.
-
保存緩沖液:PBS with 0.02% sodium azide, 50% glycerol, pH7.3.
-
產品提供形式:Liquid
-
應用范圍:ELISA, WB, IHC
-
推薦稀釋比:
Application Recommended Dilution WB 1:1000-1:5000 IHC 1:20-1:200 -
Protocols:
-
儲存條件:Upon receipt, store at -20°C or -80°C. Avoid repeated freeze.
-
貨期:Basically, we can dispatch the products out in 1-3 working days after receiving your orders. Delivery time maybe differs from different purchasing way or location, please kindly consult your local distributors for specific delivery time.
-
用途:For Research Use Only. Not for use in diagnostic or therapeutic procedures.
相關產品
靶點詳情
-
功能:Required for vesicular transport between the endoplasmic reticulum and the Golgi apparatus.
-
基因功能參考文獻:
- study did not support NAPG as a susceptible gene for schizophrenia in the Chinese Han population PMID: 22113424
- The functional domains of this protein are mapped. PMID: 12554740
- Our study supports NAPG as a candidate for susceptibility to bipolar disorder as several combinations of haplotype were found to be associated with bipolar disorder. PMID: 19429185
-
亞細胞定位:Membrane; Peripheral membrane protein.
-
蛋白家族:SNAP family
-
數據庫鏈接:
Most popular with customers
-
-
YWHAB Recombinant Monoclonal Antibody
Applications: ELISA, WB, IHC, IF, FC
Species Reactivity: Human, Mouse, Rat
-
Phospho-YAP1 (S127) Recombinant Monoclonal Antibody
Applications: ELISA, WB, IHC
Species Reactivity: Human
-
-
-
-
-















