NDUFS1 Antibody
-
中文名稱:NDUFS1兔多克隆抗體
-
貨號:CSB-PA015660DSR1HU
-
規格:¥440
-
圖片:
-
Western blot
All lanes: NDUFS1 antibody at 2.41 μg/ml
Lane 1: Mouse heart tissue
Lane 2: Mouse kidney tissue
Secondary
Goat polyclonal to rabbit IgG at 1/10000 dilution
Predicted band size: 80, 81, 68, 74, 76 kDa
Observed band size: 80 kDa -
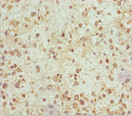
Immunohistochemistry of paraffin-embedded human glioma using CSB-PA015660DSR1HU at dilution of 1:100
-
Immunohistochemistry of paraffin-embedded human kidney tissue using CSB-PA015660DSR1HU at dilution of 1:100
-
-
其他:
產品詳情
-
產品名稱:Rabbit anti-Homo sapiens (Human) NDUFS1 Polyclonal antibody
-
Uniprot No.:
-
基因名:
-
別名:CI-75kD antibody; Complex I 75Kd antibody; Complex I, mitochondrial respiratory chain, 75 kD subunit antibody; Complex I-75kD antibody; mitochondrial antibody; NADH coenzyme Q reductase antibody; NADH dehydrogenase (ubiquinone) FeS protein 1 (75kD) (NADH coenzyme Q reductase) antibody; NADH ubiquinone oxidoreductase 75 kDa subunit mitochondrial antibody; NADH-ubiquinone oxidoreductase 75 kDa subunit antibody; NDUFS1 antibody; NDUS1_HUMAN antibody; PRO1304 antibody
-
宿主:Rabbit
-
反應種屬:Human, Mouse
-
免疫原:Recombinant Human NADH-ubiquinone oxidoreductase 75 kDa subunit, mitochondrial protein (80-290AA)
-
免疫原種屬:Homo sapiens (Human)
-
標記方式:Non-conjugated
-
克隆類型:Polyclonal
-
抗體亞型:IgG
-
純化方式:Antigen Affinity Purified
-
濃度:It differs from different batches. Please contact us to confirm it.
-
保存緩沖液:PBS with 0.02% sodium azide, 50% glycerol, pH7.3.
-
產品提供形式:Liquid
-
應用范圍:ELISA, WB, IHC
-
推薦稀釋比:
Application Recommended Dilution WB 1:1000-1:5000 IHC 1:20-1:200 -
Protocols:
-
儲存條件:Upon receipt, store at -20°C or -80°C. Avoid repeated freeze.
-
貨期:Basically, we can dispatch the products out in 1-3 working days after receiving your orders. Delivery time maybe differs from different purchasing way or location, please kindly consult your local distributors for specific delivery time.
-
用途:For Research Use Only. Not for use in diagnostic or therapeutic procedures.
相關產品
靶點詳情
-
功能:Core subunit of the mitochondrial membrane respiratory chain NADH dehydrogenase (Complex I) which catalyzes electron transfer from NADH through the respiratory chain, using ubiquinone as an electron acceptor. Essential for catalysing the entry and efficient transfer of electrons within complex I. Plays a key role in the assembly and stability of complex I and participates in the association of complex I with ubiquinol-cytochrome reductase complex (Complex III) to form supercomplexes.
-
基因功能參考文獻:
- Results show that NDUFS1 protein and mRNA levels are down-regulated in lung neoplasm and correlate with poor overall survival. PMID: 27516145
- High NDUFS1 expression is associated with cognitive impairment in lung cancer. PMID: 26987334
- Results found nominal significant associations of 2 SNPs in the NDUFS1 gene and 4 SNPs in the NDUFS2 gene with early onset schizophrenia (EOS), but none of these associations survived the Bonferroni correction. PMID: 26053550
- Loss of FOXRED1, coupled with protein, choline and/or folate-deficient diets results in the depletion of glutathione, the dysregulation of nitric oxide metabolism and the peroxynitrite-mediated inactivation of complex I. PMID: 26235939
- NDUFS1 may confer susceptibility to schizophrenia in male subjects, acting as a causative factor for the severity of negative symptoms in schizophrenia. PMID: 25354934
- The presented clinical courses of NDUFV1 and NDUFS1 mutation-based complex I deficiencies are characterized by leukoencephalopathy or early death and expand the already heterogeneous phenotypic spectrum. PMID: 25615419
- Some mutations in NDUFS1 cause a milder phenotype with a more benign course despite the initial decompensation phase. Homozygosity for the c.755A > G missense mutation may correlate with the milder clinical picture in the patient. PMID: 24952175
- The peripheral leukocyte oxidative phosphorylation enzyme activity assay was found to be a reliable method for the diagnosis of mitochondrial diseases. PMID: 21540367
- A protein encoded by this locus was found to be differentially expressed in postmortem brains from patients with atypical frontotemporal lobar degeneration. PMID: 22360420
- homozygous c.1783A>G (p.Thr595Ala) mutation in NDUFS1 in two inbred siblings with isolated complex I deficiency associated to a progressive cavitating leukoencephalopathy PMID: 21203893
- data suggest that gamma oscillations are especially energy demanding and require both high complex I expression and strong functional performance of mitochondria. PMID: 21183487
- report 3 patients with low residual complex I activity who displayed novel mutations in the NDUFS1 gene. One mutation introduces a premature stop codon, 3 mutations cause a substitution of amino acids and another mutation a deletion of one amino acid. PMID: 20382551
- Mutations in electron Transport Complex I is associated with Leber hereditary optic neuropathy failing to compensate for impaired oxidative phosphorylation. PMID: 19836344
- A patient with Leigh syndrome had a mutation in the NDUFS1 protein of Complex I of the Respiratory Chain. Identifying nuclear mutations will help us understand how molecular defects can lead to complex I deficiency. PMID: 15824269
- mutations in the NDUFS1 and NDUFS4 genes of complex I cause dysfunction in cellular oxidative metabolism PMID: 16478720
- This protein has been found differentially expressed in the Wernicke's Area from patients with schizophrenia. PMID: 19405953
顯示更多
收起更多
-
相關疾?。?/div>Mitochondrial complex I deficiency (MT-C1D)亞細胞定位:Mitochondrion inner membrane; Peripheral membrane protein; Matrix side.蛋白家族:Complex I 75 kDa subunit family數據庫鏈接:
Most popular with customers
-
YWHAB Recombinant Monoclonal Antibody
Applications: ELISA, WB, IHC, IF, FC
Species Reactivity: Human, Mouse, Rat
-
Phospho-YAP1 (S127) Recombinant Monoclonal Antibody
Applications: ELISA, WB, IHC
Species Reactivity: Human
-
-
-
-
-
-















