NFIL3 Antibody
-
中文名稱:NFIL3兔多克隆抗體
-
貨號:CSB-PA621967ESR1HU
-
規格:¥440
-
圖片:
-
Western blot
All lanes: NFIL3antibody at 2.79μg/ml
Lane 1: HepG2 whole cell lysate
Lane 2: 293T whole cell lysate
Lane 3: Hela whole cell lysate
Secondary
Goat polyclonal to rabbit IgG at 1/10000 dilution
Predicted band size: 51 kDa
Observed band size: 51, 90 kDa -
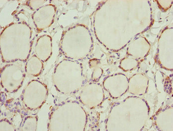
Immunohistochemistry of paraffin-embedded human thyroid tissue using CSB-PA621967ESR1HU at dilution of 1:100
-
Immunohistochemistry of paraffin-embedded human adrenal gland tissue using CSB-PA621967ESR1HU at dilution of 1:100
-
-
其他:
產品詳情
-
產品名稱:Rabbit anti-Homo sapiens (Human) NFIL3 Polyclonal antibody
-
Uniprot No.:
-
基因名:NFIL3
-
別名:E4 promoter binding protein 4 antibody; E4 promoter-binding protein 4 antibody; E4BP 4 antibody; E4BP4 antibody; E4BP4 protein antibody; IL3BP 1 antibody; IL3BP1 antibody; Interleukin 3 binding protein 1 antibody; Interleukin 3 promoter transcriptional activator antibody; Interleukin-3 promoter transcriptional activator antibody; Interleukin-3-binding protein 1 antibody; NFIL 3 antibody; NFIL 3A antibody; NFIL3 antibody; NFIL3_HUMAN antibody; NFIL3A antibody; Nuclear factor interleukin 3 regulated antibody; Nuclear factor interleukin-3-regulated protein antibody; Transcriptional activator NF IL3A antibody; Transcriptional activator NF-IL3A antibody
-
宿主:Rabbit
-
反應種屬:Human
-
免疫原:Recombinant Human Nuclear factor interleukin-3-regulated protein (133-462AA)
-
免疫原種屬:Homo sapiens (Human)
-
標記方式:Non-conjugated
-
克隆類型:Polyclonal
-
抗體亞型:IgG
-
純化方式:Antigen Affinity Purified
-
濃度:It differs from different batches. Please contact us to confirm it.
-
保存緩沖液:PBS with 0.02% sodium azide, 50% glycerol, pH7.3.
-
產品提供形式:Liquid
-
應用范圍:ELISA, WB, IHC
-
推薦稀釋比:
Application Recommended Dilution WB 1:1000-1:5000 IHC 1:20-1:200 -
Protocols:
-
儲存條件:Upon receipt, store at -20°C or -80°C. Avoid repeated freeze.
-
貨期:Basically, we can dispatch the products out in 1-3 working days after receiving your orders. Delivery time maybe differs from different purchasing way or location, please kindly consult your local distributors for specific delivery time.
-
用途:For Research Use Only. Not for use in diagnostic or therapeutic procedures.
相關產品
靶點詳情
-
功能:Acts as a transcriptional regulator that recognizes and binds to the sequence 5'-[GA]TTA[CT]GTAA[CT]-3', a sequence present in many cellular and viral promoters. Represses transcription from promoters with activating transcription factor (ATF) sites. Represses promoter activity in osteoblasts. Represses transcriptional activity of PER1. Represses transcriptional activity of PER2 via the B-site on the promoter. Activates transcription from the interleukin-3 promoter in T-cells. Competes for the same consensus-binding site with PAR DNA-binding factors (DBP, HLF and TEF). Component of the circadian clock that acts as a negative regulator for the circadian expression of PER2 oscillation in the cell-autonomous core clock. Protects pro-B cells from programmed cell death. Represses the transcription of CYP2A5. Positively regulates the expression and activity of CES2 by antagonizing the repressive action of NR1D1 on CES2. Required for the development of natural killer cell precursors.
-
基因功能參考文獻:
- data provide evidence that E4BP4 attenuates RASSF8-mediated anti-proliferation and apoptosis, shedding mechanistic insights into RASSF8 down-regulation in breast cancers. PMID: 29467226
- Here we review the regulatory mechanisms of E4BP4 engaging in not only the biological function but also the development of immune-mediated diseases, paving the way for future therapies PMID: 28365317
- glucocorticoid-mediated transactivating pathway may support eosinophil viability in IL-5-stimulated cells through synergistic upregulation of NFIL3 PMID: 26880402
- E4BP4 and BIM regulation correlated with that of RCAN1-1. A putative GRE and four EBPREs were identified within 1500bp upstream from the transcription start site of RCAN1-1 PMID: 26102033
- Results conclude that the transcriptional repressor E4BP4 plays a role in repressing epigenetically regulated SOSTDC1 expression in breast cancer cells, which can be reverted by E4BP4 silencing. PMID: 25338303
- NFIL3 plays a neuroprotective role in neurons and constitutes a potential therapeutic target for neurodegeneration. PMID: 24280221
- Data indicate that E4BP4 can inhibit CD40L expression through epigenetic modifications in the promoter region of CD40L. PMID: 23340290
- NFIL3 alters cancer cell behavior and FOXO function by acting on chromatin to restrict the menu of FOXO target genes PMID: 23630076
- The clock-regulated and immune system modulator transcription factor E4BP4/ NFIL3 likely regulates the expression of both appb in zebrafish and APP in humans. PMID: 22947103
- G9a mediates E4BP4-dependent suppression of hepatic Fgf21 by enhancing histone methylation (H3K9me2) of the Fgf21 promoter PMID: 23283977
- Conclude that E4BP4 plays as a survival factor in heart and E4BP4 is essential for proper embryonic heart development. PMID: 20186462
- This report demonstrates that GC-mediated upregulation of the bZIP transcriptional repressor gene, E4BP4, is dependent on [Ca2+]i levels, and correlates with GC-evoked apoptosis of GC-sensitive CEM-C7-14 cells. PMID: 16630563
- E4BP4 has a role as osteoblast transcriptional repressor in inhibiting both Runx2 and Osterix in myeloma bone disease PMID: 18829486
- Identification of adjacent binding sites for the YY1 and E4BP4 transcription factors in the PrP (Prion) gene promoter. PMID: 19129193
顯示更多
收起更多
-
亞細胞定位:Nucleus.
-
蛋白家族:BZIP family, NFIL3 subfamily
-
組織特異性:Expressed in bladder stomach, thyroid, spinal cord, lymph node, trachea, adrenal gland, bone marrow and muscle.
-
數據庫鏈接:
Most popular with customers
-
-
YWHAB Recombinant Monoclonal Antibody
Applications: ELISA, WB, IHC, IF, FC
Species Reactivity: Human, Mouse, Rat
-
-
-
-
-
-















