NOD1 Antibody
-
中文名稱:NOD1兔多克隆抗體
-
貨號:CSB-PA876477
-
規格:¥1100
-
圖片:
-
The image on the left is immunohistochemistry of paraffin-embedded Human liver cancer tissue using CSB-PA876477(NOD1 Antibody) at dilution 1/50, on the right is treated with synthetic peptide. (Original magnification: ×200)
-
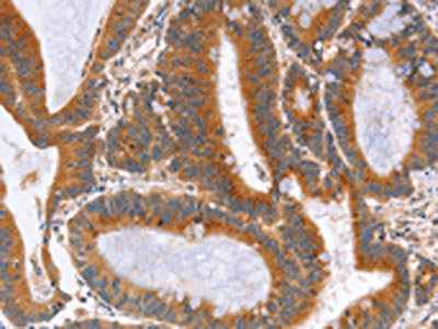
The image on the left is immunohistochemistry of paraffin-embedded Human colon cancer tissue using CSB-PA876477(NOD1 Antibody) at dilution 1/50, on the right is treated with synthetic peptide. (Original magnification: ×200)
-
-
其他:
產品詳情
-
Uniprot No.:
-
基因名:
-
別名:CARD 4 antibody; CARD4 antibody; Caspase recruitment domain 4 antibody; Caspase recruitment domain containing protein 4 antibody; Caspase recruitment domain family member 4 antibody; Caspase recruitment domain protein 4 antibody; Caspase recruitment domain-containing protein 4 antibody; CLR 7.1 antibody; CLR7.1 antibody; NLR family CARD domain containing 1 antibody; NLRC 1 antibody; NLRC1 antibody; NOD 1 antibody; Nod1 antibody; NOD1 protein antibody; NOD1_HUMAN antibody; Nucleotide binding oligomerization domain containing 1 antibody; Nucleotide binding oligomerization domain leucine rich repeat and CARD domain containing 1 antibody; Nucleotide-binding oligomerization domain-containing protein 1 antibody; Protein Nod1 antibody
-
宿主:Rabbit
-
反應種屬:Human,Mouse
-
免疫原:Synthetic peptide of Human NOD1
-
免疫原種屬:Homo sapiens (Human)
-
標記方式:Non-conjugated
-
抗體亞型:IgG
-
純化方式:Antigen affinity purification
-
濃度:It differs from different batches. Please contact us to confirm it.
-
保存緩沖液:-20°C, pH7.4 PBS, 0.05% NaN3, 40% Glycerol
-
產品提供形式:Liquid
-
應用范圍:ELISA,IHC
-
推薦稀釋比:
Application Recommended Dilution ELISA 1:1000-1:5000 IHC 1:50-1:200 -
Protocols:
-
儲存條件:Upon receipt, store at -20°C or -80°C. Avoid repeated freeze.
-
貨期:Basically, we can dispatch the products out in 1-3 working days after receiving your orders. Delivery time maybe differs from different purchasing way or location, please kindly consult your local distributors for specific delivery time.
-
用途:For Research Use Only. Not for use in diagnostic or therapeutic procedures.
相關產品
靶點詳情
-
功能:Enhances caspase-9-mediated apoptosis. Induces NF-kappa-B activity via RIPK2 and IKK-gamma. Confers responsiveness to intracellular bacterial lipopolysaccharides (LPS). Forms an intracellular sensing system along with ARHGEF2 for the detection of microbial effectors during cell invasion by pathogens. Required for RHOA and RIPK2 dependent NF-kappa-B signaling pathway activation upon S.flexneri cell invasion. Involved not only in sensing peptidoglycan (PGN)-derived muropeptides but also in the activation of NF-kappa-B by Shigella effector proteins IpgB2 and OspB. Recruits NLRP10 to the cell membrane following bacterial infection.
-
基因功能參考文獻:
- Two Single-Nucleotide Polymorphisms associated with susceptibility to develop dengue in NOD1 or RIPK2 genes were observed Children from Colombia. PMID: 30332343
- our work indicates that NOD1 plays a previously undetected protective role in larval survival through CD44a-mediated activation of the PI3K-Akt signaling. PMID: 28592872
- Upregulation of miR-495 ameliorates the high glucose-induced inflammatory, cell differentiation and extracellular matrix accumulation of human CFs by modulating both the NF-kappaB and TGF-beta1/Smad signaling pathways through downregulation of NOD1 expression. PMID: 29760746
- Study proposes that NOD1 contributes to inflammation not only by promoting pro-inflammatory processes, but also by suppressing anti-inflammatory pathways. PMID: 28432285
- Overexpression of either NOD1 or NOD2 reduces cell proliferation and increases clonogenic potential in vitro in breast cancer cell lines. PMID: 29615116
- NOD1 (rs6958571) SNP was associated with gram-positive blood stream infection in Caucasian infants and extremely low birth weight infants. PMID: 28768269
- In transgenic mice expressing human NOD1 and deficient for the murine NOD1, we showed enhanced clearance of a lipl21- mutant of Leptospira interrogans compared to the complemented strain, or to what was observed in NOD1KO mice, suggesting that LipL21 facilitates escape from immune surveillance in humans. PMID: 29211798
- The changes in the nucleotide-binding oligomerization domain-like receptors (NLRs) in human corneas with disease expression may reflect different susceptibility to infectious and non-infectious injuries in corneas with various diseases. PMID: 26902715
- A role for NOD1 in HCMV control via RIPK2- IKKalpha-IRF3 signaling, NOD1 polymorphisms predict the risk of infection. PMID: 27856764
- Bronchial epithelial overexpression of TLR4 and NOD1 in severe/very severe stable COPD, associated with increased bronchial inflammation and P. aeruginosa bacterial load, may play a role in the pathogenesis of COPD PMID: 28536249
- study provides structural and dynamic insights into the NOD1-RIP2 oligomer formation, which will be crucial in understanding the molecular basis of NOD1-mediated CARD-CARD interaction in higher and lower eukaryotes PMID: 28114344
- Based on molecular docking studies using PG ligands, we propose few residues - G825, D826 and N850 in hNOD1-LRR and L904, G905, W931, L932 and S933 in hNOD2-LRR, evolutionarily conserved across different host species, which may play a major role in ligand recognition. PMID: 28673961
- Nucleotide-binding oligomerization domain (NOD1) was the most significantly associated gene when analyzing exonic rare variants (RVs) in chromosome 7p to carotid bifurcation intima-media thickness (bIMT). PMID: 27936005
- Fusion of human SGT1 (hSGT1) to NOD1 LRR significantly enhanced the solubility, and the fusion protein was stabilized by coexpression of mouse Hsp90alpha. PMID: 27591899
- the results suggest that the chronic activation of NOD1 and NOD2 receptors might play a role in the development of gastric cancer. PMID: 27917621
- this study reveals that LRRK2 is a new positive regulator of Rip2 and promotes inflammatory cytokine induction through the Nod1/2-Rip2 pathway. PMID: 27830463
- Finally, NOD1 agonist increased the formation of cranial and subintestinal vessel plexus in zebrafish, and this effect was abrogated by concurrent PPARgamma activation. Overall, these findings identify a PPARgamma-miR-125a-NOD1 signaling axis in endothelial cells that is critical in the regulation of inflammation-mediated angiogenesis. PMID: 27836539
- NOD1/2 gene variants are not linked with T2DM and IR. PMID: 27885704
- findings show that NOD1, a PRR that normally senses bacterial peptidoglycans, is activated by HCV viral polymerase, probably through an interaction with dsRNA, suggesting that NOD1 acts as an RNA ligand recognition receptor. PMID: 27099311
- Brain pericytes can sense Gram-negative bacterial products by both NOD1 and TLR4 receptors, acting through distinct pathways. PMID: 26915562
- NOD1 And NOD2 polymorphisms were associated with increased susceptibility to Guillain-Barre syndrome in a Northern Indian population. PMID: 27000222
- over-expression of NOD1 and NOD2 may be involved in the pathogenesis of Vogt-Koyanagi-Harada (VKH) Syndrome syndrome. PMID: 26980698
- Porphyromonas gingivalis induced NOD1 overexpression in endothelial cells and that NOD1 played an important role in the process of VCAM-1 and ICAM-1 expression in endothelial cells infected with Porphyromonas gingivalis through the NF-kappaB signaling pathway. PMID: 24862550
- contributes to fetal growth retardation and death through vascular inflammation PMID: 26880761
- findings illuminated a role for NOD1 signaling in attenuating H. pylori-induced Cdx2 expression in gastric epithelial cells PMID: 26759244
- NOD1/CARD4 gene may influence the diagnosis and treatment of lung cancer PMID: 26238283
- NOD1 and NOD2, two members of the NOD-like receptor family of pattern recognition receptors, are important mediators of ER-stress-induced inflammation in mouse and human cells PMID: 27007849
- NOD1 signaling results in the induction of the cellular degradation pathway of autophagy and the development of pro-inflammatory responses that activate the adaptive immune system. PMID: 25801093
- The higher NOD1 and NOD2 were observed in villi from patients who experienced recurrent spontaneous abortion compared with those who experienced a normal pregnancy. PMID: 25840495
- Activation of the innate immune pathway via NOD1 may be partially responsible for the increased systemic inflammation and insulin resistance in metabolic syndrome. PMID: 26052894
- NOD1 rs2709800, NOD2 rs718226, rs2111235, rs7205423 and interaction between rs718226 and H. pylori infection may be related to risk of gastric lesions. PMID: 25933107
- We found that RNA interference-induced Caspase-12 silencing increased NOD1, hBD1 and hBD2 expression PMID: 25503380
- Human embryonic stem cell-derived endothelial cells are TLR4 deficient but respond to bacteria via NOD1. PMID: 24690886
- A significant association of the NOD1 +32656 GG insertion variant with protection against infection with Chlamydia trachomatis has been detected [p: 0.0057; OR: 0.52]. PMID: 25854006
- Data indicate that E3 ligase RNF34 is associated with nucleotide-binding oligomerization domain-containing protein 1 (NOD1). PMID: 25012219
- These findings reveal a novel pathway whereby Helicobacter pylori CagL, via interaction with host integrins, can trigger pro-inflammatory responses independently of CagA translocation or NOD1 signalling. PMID: 23107019
- Monocyte expression and function of NOD1 and NOD2 in very preterm infants are intact and comparable/equivalent to term infants and adults. PMID: 24444388
- Endosomal membranes are sites of NOD1/NOD2-dependent signal transduction. PMID: 24832447
- NOD1 and RIP2 interact with bacterial peptidoglycan on endosomes to promote autophagy and inflammatory signaling. PMID: 24746552
- the NOD1-RIP2 signaling axis is more complex than previously assumed, that simple engagement of RIP2 is insufficient to mediate signaling PMID: 24958724
- This work reveals a role of Aggregatibacter actinomycetemcomitans outer membrane vesicles as a trigger of innate immunity via carriage of NOD1- and NOD2-active pathogen-associated molecular patterns (PAMPs). PMID: 25024364
- NOD1 has an active role in the heightened inflammatory environment associated with both experimental murine and human diabetic cardiac disease. PMID: 24934088
- Data indicate that the mutation of serine 7 does not affect nucleotide-binding oligomerization domain-containing protein 1 (NOD1) function. PMID: 24598002
- NOD1 has a role in the development of insulin resistance and inflammation in pregnancies complicated by gestational diabetes mellitus. PMID: 24829218
- The expression profile of NLRs in head and neck cancer cells differed from that seen in healthy epithelial cells. PMID: 24053487
- NOD1 priming of human dendritic cells promoted a Th2 polarization profile that involved the production of CCL17 and CCL22 in nonallergic subjects but only CCL17 in allergic patients. PMID: 24661094
- Helicobacter pylori cag pathogenicity island (cagPAI) involved in bacterial internalization and IL-8 induced responses via NOD1- and MyD88-dependent mechanisms in human biliary epithelial cells PMID: 24143223
- The Nod1/2-Rip2 axis was critical to induce optimal cytokine and chemokine responses to A. baumannii infection. PMID: 24366254
- NOD1 may have a role in mediating infection-associated inflammation PMID: 24041848
- bacterial infection-mediated activation of NOD1,2, together with IL-32gamma, can synergize the activation of eosinophils interacting with bronchial epithelial cells. PMID: 24295830
顯示更多
收起更多
-
亞細胞定位:Cytoplasm. Cell membrane. Apical cell membrane. Basolateral cell membrane. Note=Detected in the cytoplasm and at the cell membrane. Following bacterial infection, localizes to bacterial entry sites in the cell membrane. Recruited to the basolateral and apical membranes in polarized epithelial cells.
-
組織特異性:Highly expressed in adult heart, skeletal muscle, pancreas, spleen and ovary. Also detected in placenta, lung, liver, kidney, thymus, testis, small intestine and colon.
-
數據庫鏈接:
Most popular with customers
-
-
YWHAB Recombinant Monoclonal Antibody
Applications: ELISA, WB, IHC, IF, FC
Species Reactivity: Human, Mouse, Rat
-
-
-
-
-
-
VDAC1 Recombinant Monoclonal Antibody
Applications: ELISA, WB, IHC
Species Reactivity: Human, Mouse, Rat















