NR1H3 Antibody
-
中文名稱:NR1H3兔多克隆抗體
-
貨號:CSB-PA619753LA01HU
-
規格:¥440
-
圖片:
-
Western blot
All lanes: NR1H3 antibody at 6µg/ml + Mouse liver tissue
Secondary
Goat polyclonal to rabbit IgG at 1/10000 dilution
Predicted band size: 51, 44, 46 kDa
Observed band size: 51 kDa -
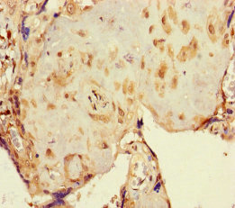
Immunohistochemistry of paraffin-embedded human placenta tissue using CSB-PA619753LA01HU at dilution of 1:100
-
Immunohistochemistry of paraffin-embedded human thyroid tissue using CSB-PA619753LA01HU at dilution of 1:100
-
-
其他:
產品詳情
-
產品名稱:Rabbit anti-Homo sapiens (Human) NR1H3 Polyclonal antibody
-
Uniprot No.:
-
基因名:
-
別名:Liver X receptor alpha antibody; LXR a antibody; LXRA antibody; NR1H3 antibody; NR1H3_HUMAN antibody; Nuclear receptor subfamily 1 group H member 3 antibody; Oxysterols receptor LXR alpha antibody; Oxysterols receptor LXR-alpha antibody; RLD 1 antibody; RLD1 antibody
-
宿主:Rabbit
-
反應種屬:Human, Mouse
-
免疫原:Recombinant Human Oxysterols receptor LXR-alpha protein (1-402AA)
-
免疫原種屬:Homo sapiens (Human)
-
標記方式:Non-conjugated
本頁面中的產品,NR1H3 Antibody (CSB-PA619753LA01HU),的標記方式是Non-conjugated。對于NR1H3 Antibody,我們還提供其他標記。見下表:
-
克隆類型:Polyclonal
-
抗體亞型:IgG
-
純化方式:>95%, Protein G purified
-
濃度:It differs from different batches. Please contact us to confirm it.
-
保存緩沖液:Preservative: 0.03% Proclin 300
Constituents: 50% Glycerol, 0.01M PBS, PH 7.4 -
產品提供形式:Liquid
-
應用范圍:ELISA, WB, IHC
-
推薦稀釋比:
Application Recommended Dilution WB 1:1000-1:5000 IHC 1:20-1:200 -
Protocols:
-
儲存條件:Upon receipt, store at -20°C or -80°C. Avoid repeated freeze.
-
貨期:Basically, we can dispatch the products out in 1-3 working days after receiving your orders. Delivery time maybe differs from different purchasing way or location, please kindly consult your local distributors for specific delivery time.
-
用途:For Research Use Only. Not for use in diagnostic or therapeutic procedures.
相關產品
靶點詳情
-
功能:Nuclear receptor that exhibits a ligand-dependent transcriptional activation activity. Interaction with retinoic acid receptor (RXR) shifts RXR from its role as a silent DNA-binding partner to an active ligand-binding subunit in mediating retinoid responses through target genes defined by LXRES. LXRES are DR4-type response elements characterized by direct repeats of two similar hexanuclotide half-sites spaced by four nucleotides. Plays an important role in the regulation of cholesterol homeostasis, regulating cholesterol uptake through MYLIP-dependent ubiquitination of LDLR, VLDLR and LRP8. Interplays functionally with RORA for the regulation of genes involved in liver metabolism. Induces LPCAT3-dependent phospholipid remodeling in endoplasmic reticulum (ER) membranes of hepatocytes, driving SREBF1 processing and lipogenesis. Via LPCAT3, triggers the incorporation of arachidonate into phosphatidylcholines of ER membranes, increasing membrane dynamics and enabling triacylglycerols transfer to nascent very low-density lipoprotein (VLDL) particles. Via LPCAT3 also counteracts lipid-induced ER stress response and inflammation, likely by modulating SRC kinase membrane compartmentalization and limiting the synthesis of lipid inflammatory mediators.
-
基因功能參考文獻:
- The authors report that, in Mycobacterium tuberculosis-infected macrophages, IL-36 signaling modulates cholesterol biosynthesis and efflux via LXR. PMID: 29367626
- LXR-alpha played a central role in down-regulating of ABCA1 and ABCG1 and lipid accumulation induced by homocysteine in the macrophages. PMID: 30393020
- LXRalpha interacts with OGT in its N-terminal domain and ligand-binding domain (LBD) in a ligand-independent fashion. PMID: 29577901
- Our data suggest that LXR could be used as a biomarker for hepatocellular carcinoma prognosis. PMID: 28508927
- PBMCs from healthy persons were predisposed to the MPhi2 differentiation phenotype, which exhibits elevated cholesterol uptake and anti-inflammatory properties. LXRalpha over-expression polarizes macrophages towards the anti-inflammatory MPhi2 phenotype. PMID: 29420090
- LXR gene expression was significantly increased in obese children with obstructive sleep apnea-hypopnea syndrome (OSAHS). The severity of OSAHS was positively correlated with COX-2 levels. PMID: 28676625
- In conclusion, the present study demonstrated that activation of LXRalpha-ABCA1 axis with a synthetic LXR agonist TO90 exerted a potent protective effect against Abeta induced senescent and inflammatory responses in retinal pigment epithelial cells, suggesting that LXR agonists may be promising therapeutic agents for treating age-related macular degeneration. PMID: 28361293
- AMPK activates LXRalpha and ABCA1 expression in human macrophages PMID: 27343431
- PPARalpha and LXRalpha may be mediators by which omega3PUFA attenuate bile acid-induced hepatocellular injury PMID: 26756785
- Inhibition of Pancreatic Cancer Cell-Induced Paracrine Hedgehog Signaling by Liver X Receptor Agonists and Oxy16, a Naturally Occurring Oxysterol PMID: 27490478
- Data identify LXR as an important factor in early-pregnancy lipogenesis that is also necessary to protect against abnormalities in fetoplacental lipid homeostasis. PMID: 28420650
- data suggest that ASXL3 is another corepressor of LXRalpha, promoting to the regulation of lipid homeostasis PMID: 25450400
- results indicated that LXRalpha plays a specific and important role in activation of TH by regulating D1, and that LXRalpha binds to and regulates the hDIO1 promoter, competing with TRbeta on specific sequences within the promoter. PMID: 28617824
- GW3965 significantly increases the expression of liver X nuclear receptor beta (LXRbeta) mRNA, while the liver X nuclear receptor alpha (LXRalpha( mRNA expression did not change a lot, and sensitizes gefitinib by inhibiting NF-kappa B (NF-kappaB) activation. PMID: 28178657
- Transactivation assays showed that MCFA activated LXRa, whereas long-chain FA caused no effect. Our results suggest that LXRa functions as a receptor for saturated FA or acyl-CoA of C10 and C12 in length. PMID: 28011707
- We demonstrated that LXR stimulation decreases mRNA and protein expression of FLOT2 and DHHC5 in MCF-7 cells. LXR stimulation also reduces Akt phosphorylation and its localization at the plasma membrane PMID: 28739689
- The effects of LXR agonist on interleukin-8 (IL-8) secretion and nuclear factor-kappa B (NF-kappaB) activation in human umbilical vein endothelial cells (HUVECs), is reported. PMID: 27489081
- Collectively, these findings demonstrate that LXRalpha activation induces 17beta-HSD13 expression in a SREBP-1c-dependent manner. PMID: 28270440
- mutant NR1H3 (LXRA) alters gene expression profiles, suggesting a disruption in transcriptional regulation as one of the mechanisms underlying Multiple Sclerosis pathogenesis. PMID: 27253448
- Data show that the synthetic liver X receptors (LXRs) agonist T0901317 promoted cytokines IL-1beta, IL-6 and TNFalpha mRNA degradation, destabilized TNFalpha mRNA through its 3'-untranslated region, and increased the expression of tristetraprolin (TTP). PMID: 28119310
- RXRalpha negatively regulates the transcription and expression by directly binding to the RARE in the promoter of Cx43 PMID: 26991262
- Serum and placental LXR-alpha and endoglin levels were significantly higher in patients with preeclampsia than those in control group (P<0.05, each). PMID: 27736929
- this study shows that the anti-inflammatory effect of platycodin D in IL-1beta-stimulated chondrocytes is mediated by activating LXR-a PMID: 27743553
- results indicated that down-regulation of LXRalpha was shown to suppress invasion and EMT of gastric cancer cells PMID: 28091828
- this study shows that show that H2O2 exerts a dual regulation on mRNA expression of LXRalpha and its target genes PMID: 27351826
- combined PPARgamma C1431T, PGC-1alpha G482S, and LXRalpha -115G/A polymorphisms increase the risk of coronary artery disease and predicted the severity of coronary atherosclerosis in Thais PMID: 27016616
- Distinct gene regulatory programs define the inhibitory effects of liver X receptors, NR1H2/NR1H3 and PPARG on cancer cell proliferation. PMID: 27401066
- these data show that YXS is effective in mitigating MI/R injury by suppressing mitochondrial mediated apoptosis and oxidative stress and by upregulating LXRalpha, thereby providing a rationale for future clinical trials and clinical applications PMID: 26964694
- decreased expression of miR-155 in the peripheral blood may be utilized as a potential novel biomarker for non-alcoholic fatty liver disease screening mainly by targeting LXRalpha. PMID: 27832630
- The anti-inflammatory effects of platelet-derived microparticles in human plasmacytoid dendritic cells involve liver X receptor activation. PMID: 26635040
- these data identify a new mechanism of LXR regulation that involves TIPARP, ADP-ribosylation and MACROD1. PMID: 26814197
- Intestinal activation of LXR reduces the production of chylomicrons by a mechanism dependent on the apical localization of SR-B1. PMID: 26602218
- Suggest that blocking cholesterol deposition and inhibiting the LXRalpha pathway-induced inflammatory response might be one of the main mechanisms by which anthocyanins exert their protective effects in diabetic nephropathy. PMID: 26379423
- LXR-alpha might downregulate S1PR2 expression via miR-130a-3p in quiescent HUVECs. Stimulation of TNF-alpha attenuates the activity of LXR-alpha and results in enhanced S1PR2 expression. PMID: 26669941
- Lipoxin A4 increases ABCA1 expression and promotes cholesterol efflux through LXRalpha pathway in THP-1 macrophage-derived foam cells. PMID: 26261553
- These results identify LXRalpha as a key cardiac transcriptional regulator that helps orchestrate an adaptive metabolic response to chronic cardiac stress. PMID: 26160456
- Studied the role of LXRalpha with Wnt/beta-catenin signaling in adipogenesis of MSCs. PMID: 26595172
- In conclusion, our data indicate that HNF-4alpha may have a wider role in cell and plasma cholesterol homeostasis by controlling the expression of LXRalpha in hepatic cells. PMID: 26692490
- Propofol up-regulates expression of ABCA1, ABCG1, and SR-B1 through the PPARgamma/LXRalpha pathway in THP-1 macrophage-derived foam cells. PMID: 25600616
- The rs12221497 polymorphism in the LXRalpha gene was associated with the susceptibility to stroke in a Han Chinese population. PMID: 25867319
- Data show that menin, encoded by the MEN1 gene, inhibits the transcriptional activity of nuclear receptor liver X receptor alpha (LXRalpha). PMID: 25962847
- the rsl2221497 polymorphism in the LXRalphagene was associated with the susceptibility to stroke in a Chinese population. PMID: 25729942
- treatment with Ang-(1-7) promoted cholesterol efflux in Ang II-treated THP-1 macrophages, partly through inactivation of p38 and JNK signaling and by inducing the expression of PPARg and LXRa. PMID: 25779847
- LXRb is the dominant isoform in the rat myocardium and the expression of both LXR isoforms (LXRa and LXRb) did not change after administration of T0901317 PMID: 25659329
- The data indicate a direct inhibitory interaction of polyunsaturated fatty acids with LXRalpha, a consequent reduction of SREBP-1 and of its binding to SCD1 promoter. PMID: 25264165
- NR1H3 accelerates hepatic differentiation through an HNF4alpha-dependent reciprocal network. PMID: 25073010
- This study provides the first evidence to show LXR activation reduces cadmium-induced apoptotic cell death of human renal proximal tubular cells by inhibition of reactive oxygen species production and JNK activation. PMID: 25980575
- Activation of LXRs interfered with the release of interleukin-6 from macrophages and, thus, inhibited fibroblast activation and collagen release. PMID: 24618263
- ligands selectively regulate placenta gene targets and functional pathways PMID: 25255963
- An increase of 55% in LXR-alpha gene expression at RNA level was observed in Atorvastatin + 22-R hydroxycholestrol compared to 24% in Ascorbic acid + 22-ROH cholesterol. PMID: 25283515
顯示更多
收起更多
-
亞細胞定位:Nucleus. Cytoplasm.
-
蛋白家族:Nuclear hormone receptor family, NR1 subfamily
-
組織特異性:Visceral organs specific expression. Strong expression was found in liver, kidney and intestine followed by spleen and to a lesser extent the adrenals.
-
數據庫鏈接:
Most popular with customers
-
-
YWHAB Recombinant Monoclonal Antibody
Applications: ELISA, WB, IHC, IF, FC
Species Reactivity: Human, Mouse, Rat
-
Phospho-YAP1 (S127) Recombinant Monoclonal Antibody
Applications: ELISA, WB, IHC
Species Reactivity: Human
-
-
-
-
-















