NRBP1 Antibody
-
中文名稱:NRBP1兔多克隆抗體
-
貨號:CSB-PA883410ESR2HU
-
規格:¥440
-
圖片:
-
Western blot
All lanes: NRBP1 antibody at 1.99µg/ml + HepG2 whole cell lysate
Secondary
Goat polyclonal to rabbit IgG at 1/10000 dilution
Predicted band size: 60 kDa
Observed band size: 60 kDa -
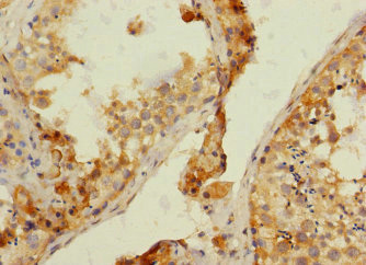
Immunohistochemistry of paraffin-embedded human testis tissue using CSB-PA883410ESR2HU at dilution of 1:100
-
-
其他:
產品詳情
-
產品名稱:Rabbit anti-Homo sapiens (Human) NRBP1 Polyclonal antibody
-
Uniprot No.:
-
基因名:NRBP1
-
別名:BCON3 antibody; MADM antibody; MUDPNP antibody; Multiple domain putative nuclear protein antibody; Myeloid leukemia factor 1 adaptor molecule antibody; NRBP antibody; NRBP_HUMAN antibody; NRBP1 antibody; Nuclear receptor binding protein antibody; Nuclear receptor-binding protein antibody
-
宿主:Rabbit
-
反應種屬:Human
-
免疫原:Recombinant Human Nuclear receptor-binding protein (406-535AA)
-
免疫原種屬:Homo sapiens (Human)
-
標記方式:Non-conjugated
-
克隆類型:Polyclonal
-
抗體亞型:IgG
-
純化方式:Antigen Affinity Purified
-
濃度:It differs from different batches. Please contact us to confirm it.
-
保存緩沖液:PBS with 0.02% sodium azide, 50% glycerol, pH7.3.
-
產品提供形式:Liquid
-
應用范圍:ELISA, WB, IHC
-
推薦稀釋比:
Application Recommended Dilution WB 1:1000-1:5000 IHC 1:20-1:200 -
Protocols:
-
儲存條件:Upon receipt, store at -20°C or -80°C. Avoid repeated freeze.
-
貨期:Basically, we can dispatch the products out in 1-3 working days after receiving your orders. Delivery time maybe differs from different purchasing way or location, please kindly consult your local distributors for specific delivery time.
-
用途:For Research Use Only. Not for use in diagnostic or therapeutic procedures.
相關產品
靶點詳情
-
功能:May play a role in subcellular trafficking between the endoplasmic reticulum and Golgi apparatus through interactions with the Rho-type GTPases. Binding to the NS3 protein of dengue virus type 2 appears to subvert this activity into the alteration of the intracellular membrane structure associated with flaviviral replication.
-
基因功能參考文獻:
- Study have identified a gout risk gene, NRBP1,and demonstrated that increased NRBP1 expression in gout patients may be regulated through methylation-dependent binding of TFAP2A to the B1 region, a 72 bp upstream of NRBP1 transcription start site. PMID: 28932319
- The present study deals with the molecular modeling of the viral protein (NS3 of DENV1-4), the host protein (NRBP) and their interactions through protein-protein docking study. PMID: 24910013
- Targeting this we performed homology modeling and protein-protein docking study of NS3 with NRBP (Nuclear Receptor Binding Protein) of human as it has been proved that NS3 of DENV interacts with NRBP which causes cellular trafficking in human cell. PMID: 24372240
- High NRBP1 expression in prostate cancer is linked with poor clinical outcomes and increased cancer cell growth. PMID: 22473923
- It was shown that NRBP1 is a tumour suppressor that plays a critical role in intestinal cell homoeostasis. NRBP1 levels are reduced in a wide variety of human tumours. Reduced NRBP1 levels in lung cancer correlates with a poor prognosis. PMID: 22510880
- Interaction of the small GTPase Rac3 with NRBP: results suggest that NRBP functions in subcellular trafficking and may be directed to specific subcellular locations through interaction with small GTPases of the Rho family PMID: 11956649
- mediates phosphorylation of the 14-3-3 binding site of myeloid leukemia factor 1 PMID: 12176995
- NS3 protein of dengue virus type 2 interacted specifically with nuclear receptor binding protein, a host cellular protein that influences trafficking between the endoplasmic reticulum and Golgi, and that interacts with Rac3 PMID: 15084397
顯示更多
收起更多
-
亞細胞定位:Cytoplasm, cell cortex. Endomembrane system. Cell projection, lamellipodium. Note=Colocalizes with activated RAC3 to endomembranes and at the cell periphery in lamellipodia.
-
蛋白家族:Protein kinase superfamily, Ser/Thr protein kinase family
-
組織特異性:Ubiquitously expressed in all tissues examined with high levels in the testis.
-
數據庫鏈接:
Most popular with customers
-
YWHAB Recombinant Monoclonal Antibody
Applications: ELISA, WB, IHC, IF, FC
Species Reactivity: Human, Mouse, Rat
-
Phospho-YAP1 (S127) Recombinant Monoclonal Antibody
Applications: ELISA, WB, IHC
Species Reactivity: Human
-
-
-
-
-
-















