NSD2 Antibody
-
中文名稱:NSD2兔多克隆抗體
-
貨號:CSB-PA026107LA01HU
-
規格:¥440
-
圖片:
-
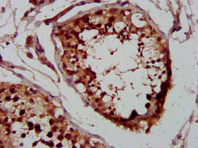
IHC image of CSB-PA026107LA01HU diluted at 1:400 and staining in paraffin-embedded human testis tissue performed on a Leica BondTM system. After dewaxing and hydration, antigen retrieval was mediated by high pressure in a citrate buffer (pH 6.0). Section was blocked with 10% normal goat serum 30min at RT. Then primary antibody (1% BSA) was incubated at 4°C overnight. The primary is detected by a biotinylated secondary antibody and visualized using an HRP conjugated SP system.
-
Immunofluorescence staining of Hela cells with CSB-PA026107LA01HU at 1:133, counter-stained with DAPI. The cells were fixed in 4% formaldehyde, permeabilized using 0.2% Triton X-100 and blocked in 10% normal Goat Serum. The cells were then incubated with the antibody overnight at 4°C. The secondary antibody was Alexa Fluor 488-congugated AffiniPure Goat Anti-Rabbit IgG(H+L).
-
-
其他:
產品詳情
-
產品名稱:Rabbit anti-Homo sapiens (Human) NSD2 Polyclonal antibody
-
Uniprot No.:
-
基因名:
-
別名:FLJ23286 antibody; IL5 promoter REII region binding protein antibody; KIAA1090 antibody; MGC176638 antibody; MMSET antibody; MMSET type II antibody; Multiple myeloma SET domain containing protein type III antibody; Multiple myeloma SET domain protein antibody; Multiple myeloma SET domain-containing protein antibody; NSD 2 antibody; NSD2 antibody; NSD2_HUMAN antibody; Nuclear receptor binding SET domain protein 2 antibody; Nuclear SET domain-containing protein 2 antibody; Probable histone-lysine N-methyltransferase NSD2 antibody; Protein trithorax-5 antibody; REIIBP antibody; Trithorax/ash1 related protein 5 antibody; TRX5 antibody; TRX5 protein antibody; WHS antibody; Whsc1 antibody; Wolf Hirschhorn syndrome candidate 1 antibody; Wolf Hirschhorn syndrome candidate 1 protein antibody; Wolf-Hirschhorn syndrome candidate 1 protein antibody
-
宿主:Rabbit
-
反應種屬:Human
-
免疫原:Recombinant Human Histone-lysine N-methyltransferase NSD2 protein (1-44AA)
-
免疫原種屬:Homo sapiens (Human)
-
標記方式:Non-conjugated
本頁面中的產品,NSD2 Antibody (CSB-PA026107LA01HU),的標記方式是Non-conjugated。對于NSD2 Antibody,我們還提供其他標記。見下表:
-
克隆類型:Polyclonal
-
抗體亞型:IgG
-
純化方式:>95%, Protein G purified
-
濃度:It differs from different batches. Please contact us to confirm it.
-
保存緩沖液:Preservative: 0.03% Proclin 300
Constituents: 50% Glycerol, 0.01M PBS, pH 7.4 -
產品提供形式:Liquid
-
應用范圍:ELISA, IHC, IF
-
推薦稀釋比:
Application Recommended Dilution IHC 1:200-1:500 IF 1:50-1:200 -
Protocols:
-
儲存條件:Upon receipt, store at -20°C or -80°C. Avoid repeated freeze.
-
貨期:Basically, we can dispatch the products out in 1-3 working days after receiving your orders. Delivery time maybe differs from different purchasing way or location, please kindly consult your local distributors for specific delivery time.
-
用途:For Research Use Only. Not for use in diagnostic or therapeutic procedures.
相關產品
靶點詳情
-
功能:Histone methyltransferase which specifically dimethylates nucleosomal histone H3 at 'Lys-36' (H3K36me2). Also monomethylates nucleosomal histone H3 at 'Lys-36' (H3K36me) in vitro. Does not trimethylate nucleosomal histone H3 at 'Lys-36' (H3K36me3). However, specifically trimethylates histone H3 at 'Lys-36' (H3K36me3) at euchromatic regions in embryonic stem (ES) cells. By methylating histone H3 at 'Lys-36', involved in the regulation of gene transcription during various biological processes. In ES cells, associates with developmental transcription factors such as SALL1 and represses inappropriate gene transcription mediated by histone deacetylation. During heart development, associates with transcription factor NKX2-5 to repress transcription of NKX2-5 target genes. Plays an essential role in adipogenesis, by regulating expression of genes involved in pre-adipocyte differentiation. During T-cell receptor (TCR) and CD28-mediated T-cell activation, promotes the transcription of transcription factor BCL6 which is required for follicular helper T (Tfh) cell differentiation. During B-cell development, required for the generation of the B1 lineage. During B2 cell activation, may contribute to the control of isotype class switch recombination (CRS), splenic germinal center formation, and the humoral immune response. Plays a role in class switch recombination of the immunoglobulin heavy chain (IgH) locus during B-cell activation. By regulating the methylation of histone H3 at 'Lys-36' and histone H4 at 'Lys-20' at the IgH locus, involved in TP53BP1 recruitment to the IgH switch region and promotes the transcription of IgA.; Histone methyltransferase which specifically dimethylates nucleosomal histone H3 at 'Lys-36' (H3K36me2).; Histone methyltransferase which specifically dimethylates nucleosomal histone H3 at 'Lys-36' (H3K36me2). Methylation of histone H3 at 'Lys-27' is controversial. Mono-, di- or tri-methylates histone H3 at 'Lys-27' (H3K27me, H3K27me2 and H3K27me3). Does not methylate histone H3 at 'Lys-27'. May act as a transcription regulator that binds DNA and suppresses IL5 transcription through HDAC recruitment.
-
基因功能參考文獻:
- Mutations in NSD1 or NSD2 are independent favorable prognostic biomarkers for laryngeal cancer. PMID: 29176703
- The MMSET is required for efficient NER and that it catalyzes the dimethylation of histone H4 at lysine 20 (H4K20me2). PMID: 29233865
- NSD2 promoted the proliferation of pancreatic beta cell lines. Moreover, ectopic expression of NSD2 significantly promoted insulin secretion. In addition, NSD2 served as a transfection factor and it was identified that NSD2 transcriptionally regulated PDX1 expression through its H3K36me2 methyltransferase activity. PMID: 30066931
- Herein we report on the first fully validated WHSC1 inhibitor, PTD2, a norleucine-containing peptide derived from the histone H4 sequence. This peptide exhibits micromolar affinity towards WHSC1 in biochemical and biophysical assays. Furthermore, a crystal structure was solved with the peptide in complex with SAM and the SET domain of WHSC1L1 PMID: 29742153
- The histone methyltransferase NSD2/WHSC1/MMSET is overexpressed in a number of solid tumors but its contribution to the biology of these tumors is not well understood. Here, we describe that NSD2 contributes to the proliferation of a subset of lung cancer cell lines by supporting oncogenic RAS transcriptional responses. PMID: 27604143
- MMSET-like gene signature captures a subset of high-risk myeloma patients underrepresented by conventional risk stratification platforms and defines a distinct biologic subtype. PMID: 26847058
- These findings indicate that the miR-2392-MAML3/WHSC1-Slug/Twist1 regulatory axis plays a critical role in GC metastasis. PMID: 28512191
- In a murine xenograft model using t(4;14)+ KMS11 MM cells harboring an inducible MMSET shRNA, depletion of MMSET enhanced the efficacy of chemotherapy, inhibiting tumor growth and extending survival. PMID: 27109101
- data suggest multiple myeloma SET domain containing protein(MMSET) may play a role in the inhibitory effect of metformin on prostate cancer and could serve as a potential novel therapeutic target for prostate cancer PMID: 27404348
- NSD2 overexpression is significantly associated with high risk of relapse and poor survival in tamoxifen-treated ER-positive breast cancer patients via coordinated activation of pentose phosphate pathway enzymes. PMID: 27164560
- Results show that WHSC1 is hypomethylated in cervical cancer cells and tissues. Both methylation and mRNA expression of WHSC1 were significantly correlated with lymph node metastasis and the overall survival of patients. PMID: 28260054
- Results showed that high levels of MMSET in the myeloma-like cells drove the formation of hypermethyled proteoforms containing H3K36me2 co-existent with the repressive marks H3K9me2/3 and H3K27me2/3. PMID: 26272979
- In MMSET-depleted cells there are defects in DNA replication and a decreased association with chromatin. PMID: 26771714
- results identify a pivotal role for NSD2 binding to its catalytic product in regulating its cellular functions, and suggest a model for how this interaction may facilitate epigenetic spreading and propagation of H3K36me2. PMID: 26912663
- NSD2 preferentially catalyzes the dimethylation of H3K36 along with a reduced preference for H3K36 monomethylation PMID: 26787850
- Studies indicate that the NSD methyltransferases NSD1, NSD2/WHSC1/MMSET and NSD3/WHSC1L1 were overexpressed, amplified or somatically mutated in multiple types of cancer, suggesting their critical role in cancer. PMID: 25942451
- It was observed that RE-IIBP induces MEIS1-mediated apoptosis, which was dependent on H2BK120 ubiquitination by RNF20. PMID: 26206755
- Results show that WHSC1 is overexpressed in Squamous cell carcinoma of the head and neck (SCCHN) and that it promotes cell-cycle progression through activation of NEK7, indicating its potential role as an oncogenic force in SCCHN. PMID: 25280969
- The results describe the binding of NSD1, 2 and 3 catalytic domains (CD) on histone tails through recognition of histone-lysine and methylation properties. PMID: 25494638
- The role of the shorter isoform (REIIBP) in myeloma cells was characterized and identified a clear and novel interaction of REIIBP with members of the SMN complex. PMID: 24923560
- Haploinsufficiency of WHSC1 and/or LETM1 contributes to Wolf-Hirschhorn Syndrome, but that loss of distinct and/or additional genes in 4p16.3 is necessary for the expression of the core Wolf-Hirschhorn Syndrome phenotype. PMID: 23963300
- Gastric cancer patients with high MMSET and BRCA1 attain a longer median survival compared with those with high BRCA1 and low MMSET. PMID: 24809779
- In this study it was found MMSET knockdown could reduce SLAMF7 levels in t(4;14) MM cells. Furthermore, we found MMSET proteins were enriched in the SLAMF7 promoter region and regulated the transcription level of SLAMF7. PMID: 23900284
- it will be of interest to determine whether inhibition of MMSET activity can be beneficial not only for t(4;14)thorn MM patients but also for patients who express a mutant allele of this protein. PMID: 23823660
- Overexpression of MMSET was significantly associated with Edmondson stage. PMID: 23225158
- all of the H3K36-specific methyltransferases, including ASH1L, HYPB, NSD1, and NSD2 were inhibited by ubH2A, whereas the other histone methyltransferases, including PRC2, G9a, and Pr-Set7 were not affected by ubH2A. PMID: 24019522
- High MMSET expression correlated with the advanced extent of serous ovarian carcinoma and poor outcome. PMID: 23566000
- Depletion of TWIST1 in MMSET-overexpressing cells blocked cell invasion and epithelial-mesenchymal transition, indicating that TWIST1 is a critical target of MMSET, responsible for the acquisition of an invasive phenotype. PMID: 22797064
- Overexpression of the histone methyltransferase MMSET is associated with myeloma. PMID: 22972034
- MMSET, a gene often deleted in Wolf-Hirschhorn syndrome, regulates class switch recombination provides one possible mechanism for Ab deficiency observed in these patients. PMID: 23241889
- The EZH2-MMSET-histone methylase axis coordinately functions as a master regulator of transcriptional repression, activation, and oncogenesis. PMID: 23159737
- ACA11, an orphan box H/ACA class small nucleolar RNA (snoRNA) encoded within an intron of WHSC1, was highly expressed in t(4;14)-positive multiple myeloma and other cancers PMID: 22751105
- NSD2 is a key chromatin regulator of NF-kappaB and mediator of the cytokine autocrine loop for constitutive NF-kappaB activation and emphasize the important roles played by NSD2 in cancer cell proliferation and survival and tumor growth. PMID: 22645312
- Data show significant up-regulation of WHSC1 expression in bladder and lung cancer cells at both transcriptional and the protein levels. PMID: 22028615
- NSD2 links dimethylation of histone H3 at lysine 36 to oncogenic programming. PMID: 22099308
- WHSC1 regulates the methylation status of the histone H4 K20 residue and is required for the recruitment of 53BP1 to sites of DNA damage. PMID: 21788515
- The histone methyltransferase and putative oncoprotein MMSET is overexpressed in a large variety of human tumors. PMID: 21385930
- MMSET is implicated in neuroblastomagenesis possibly by supporting proliferation of progenitor cells and negatively regulating their differentiation. PMID: 21527557
- overexpression of multiple myeloma SET domain protein is associated with the translocation t(4;14)in multiple myeloma. PMID: 20974671
- a pathway involving gammaH2AX-MDC1-MMSET regulates the induction of H4K20 methylation on histones around DSBs, which, in turn, facilitates 53BP1 recruitment PMID: 21293379
- data indicate that t(4;14)(p16;q32) and loss of fibroblast growth factor receptor 3 occurred at a very early stage of multiple myeloma and suggest that activation of multiple myeloma SET domain protein may be transforming event of this translocation PMID: 12433679
- connection between the syndrome phenotype and cytogenetic abnormalities, through gradual shortening of the length of the critical region WHSCR (finally up to 165 kb), and sequencing it, at least 2 genes (WHSC1 and WHSC2) were identified. PMID: 12715353
- different transcripts detected, multiple myeloma SET domain containing protein (MMSET I), MMSET II, Exon 4a/MMSET III, and response element II binding protein (RE-IIBP), are produced by alternative splicing PMID: 15677557
- Overexpression of WHISTLE repressed transcription of the SV40 promoter. Our results suggest that WHISTLE is a novel SET domain containing a protein with specific H3K4 and H3K27 HMTase activity. PMID: 16682010
- Our results suggest that HMTase WHISTLE induces apoptosis in an HMTase activity-dependent manner and represses transcription of target genes through HDAC1 recruitment. PMID: 17239852
- that MMSET plays a significant role in t(4;14) MM and suggest that therapies targeting this gene could impact this particular subset of poor-prognosis patients. PMID: 17942756
- MM Patients showing the t(4;14) chromosomal translocation at FGFR3 and MMSET genes had a significant elevation of serum crosslaps, reported to be the marker most reliably correlated with the extent of bone resorption PMID: 18036184
- MMSET influences gene expression and potentially acts as a pathogenic agent in multiple myeloma PMID: 18156491
- RE-IIBP is upregulated in leukemia. SET domain Cys483 & Arg477 are needed for histone methyltransferase activity. Overexpression causes histone H3-K27 methylation, HDAC recruitment, & histone H3 hypoacetylation on the IL-5 promoter repressing expression. PMID: 18172012
- WHSC1 expression increases with ascending tumor proliferation activity. PMID: 18182627
顯示更多
收起更多
-
相關疾病:A chromosomal aberration involving NSD2 is a cause of multiple myeloma tumors. Translocation t(4;14)(p16.3;q32.3) with IgH.; DISEASE: Note=NSD2 is located in the Wolf-Hirschhorn syndrome (WHS) critical region. WHS results from by sub-telomeric deletions in the short arm of chromosome 4. NSD2 is deleted in every case, however deletion of linked genes contributes to both the severity of the core characteristics and the presence of the additional syndromic problems.
-
亞細胞定位:Nucleus. Chromosome.; [Isoform 1]: Nucleus. Chromosome.; [Isoform 3]: Nucleus.; [Isoform 4]: Cytoplasm. Nucleus, nucleolus.
-
蛋白家族:Class V-like SAM-binding methyltransferase superfamily, Histone-lysine methyltransferase family, SET2 subfamily
-
組織特異性:Widely expressed. Predominantly expressed in thymus and testis.
-
數據庫鏈接:
Most popular with customers
-
YWHAB Recombinant Monoclonal Antibody
Applications: ELISA, WB, IHC, IF, FC
Species Reactivity: Human, Mouse, Rat
-
-
-
-
-
-
-















