NSDHL Antibody
-
中文名稱:NSDHL兔多克隆抗體
-
貨號:CSB-PA618994LA01HU
-
規格:¥440
-
圖片:
-
Western Blot
Positive WB detected in: Rat heart tissue
All lanes: NSDHL antibody at 7.2μg/ml
Secondary
Goat polyclonal to rabbit IgG at 1/50000 dilution
Predicted band size: 42 kDa
Observed band size: 42 kDa -
IHC image of CSB-PA618994LA01HU diluted at 1:400 and staining in paraffin-embedded human liver tissue performed on a Leica BondTM system. After dewaxing and hydration, antigen retrieval was mediated by high pressure in a citrate buffer (pH 6.0). Section was blocked with 10% normal goat serum 30min at RT. Then primary antibody (1% BSA) was incubated at 4°C overnight. The primary is detected by a biotinylated secondary antibody and visualized using an HRP conjugated SP system.
-
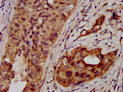
IHC image of CSB-PA618994LA01HU diluted at 1:400 and staining in paraffin-embedded human cervical cancer performed on a Leica BondTM system. After dewaxing and hydration, antigen retrieval was mediated by high pressure in a citrate buffer (pH 6.0). Section was blocked with 10% normal goat serum 30min at RT. Then primary antibody (1% BSA) was incubated at 4°C overnight. The primary is detected by a biotinylated secondary antibody and visualized using an HRP conjugated SP system.
-
Immunofluorescence staining of Hela cells with CSB-PA618994LA01HU at 1:133, counter-stained with DAPI. The cells were fixed in 4% formaldehyde, permeabilized using 0.2% Triton X-100 and blocked in 10% normal Goat Serum. The cells were then incubated with the antibody overnight at 4°C. The secondary antibody was Alexa Fluor 488-congugated AffiniPure Goat Anti-Rabbit IgG(H+L).
-
-
其他:
產品詳情
-
產品名稱:Rabbit anti-Homo sapiens (Human) NSDHL Polyclonal antibody
-
Uniprot No.:
-
基因名:NSDHL
-
別名:NSDHL; H105E3; Sterol-4-alpha-carboxylate 3-dehydrogenase, decarboxylating; Protein H105e3
-
宿主:Rabbit
-
反應種屬:Human, Rat
-
免疫原:Recombinant Human Sterol-4-alpha-carboxylate 3-dehydrogenase, decarboxylating protein (154-211AA)
-
免疫原種屬:Homo sapiens (Human)
-
標記方式:Non-conjugated
本頁面中的產品,NSDHL Antibody (CSB-PA618994LA01HU),的標記方式是Non-conjugated。對于NSDHL Antibody,我們還提供其他標記。見下表:
-
克隆類型:Polyclonal
-
抗體亞型:IgG
-
純化方式:>95%, Protein G purified
-
濃度:It differs from different batches. Please contact us to confirm it.
-
保存緩沖液:Preservative: 0.03% Proclin 300
Constituents: 50% Glycerol, 0.01M PBS, pH 7.4 -
產品提供形式:Liquid
-
應用范圍:ELISA, WB, IHC, IF
-
推薦稀釋比:
Application Recommended Dilution WB 1:500-1:5000 IHC 1:200-1:500 IF 1:50-1:200 -
Protocols:
-
儲存條件:Upon receipt, store at -20°C or -80°C. Avoid repeated freeze.
-
貨期:Basically, we can dispatch the products out in 1-3 working days after receiving your orders. Delivery time maybe differs from different purchasing way or location, please kindly consult your local distributors for specific delivery time.
-
用途:For Research Use Only. Not for use in diagnostic or therapeutic procedures.
相關產品
靶點詳情
-
功能:Catalyzes the NAD(P)(+)-dependent oxidative decarboxylation of the C4 methyl groups of 4-alpha-carboxysterols in post-squalene cholesterol biosynthesis. Plays also a role in the regulation of the endocytic trafficking of EGFR.
-
基因功能參考文獻:
- Here we present the case of a 9-year-old Chinese girl born with the typical clinical features of CHILD syndrome. Evaluation of the skin lesions confirmed the diagnosis and led to identification of a heterozygous point mutation in exon 8 of the NSDHL gene. PMID: 26459993
- Our findings expand the spectrum of mutations in NSDHL in CHILD syndrome, and indicate that large exon deletions may be not rare. PMID: 26014843
- A novel missense mutation in the NSDHL gene identified in a Lithuanian family by targeted next-generation sequencing causes CK syndrome. PMID: 25900314
- human NSDHL protein and mouse Nsdhl mRNA were expressed in tissues synthesizing cholesterol and steroids and in all peripheral tissues affected by CHILD or CK syndromes. PMID: 22113624
- found that males with intellectual disability in another reported family with an NSDHL mutation (c.1098 dup [p.Arg367SerfsX33]) have CKS PMID: 21129721
- The missense mutation of the NSDHL gene is detected in CHILD syndrome. PMID: 19906044
- Lethality of Nsdhl deficient mouse embryos is rescued by transgenic mice expressing human Nsdhl. PMID: 19880419
- NAD(P)H steroid dehydrogenase-like protein is localized to lipid droplets PMID: 12837764
- NSDHL, an enzyme involved in cholesterol synthesis, traffics through the Golgi and accumulates on ER membranes and on the surface of lipid droplets. PMID: 14506130
- microarray analysis of gene expression related to NSDHL sterol dehydrogenase in embryonic fibroblasts PMID: 15805545
- A novel missense mutation (R199H) in exon 6 of the NSDHL gene was identified in a small subset of sporadic verruciform xanthomas. PMID: 16230564
- NAD(P) dependent steroid dehydrogenase-like (NSDHL)-shRNA sequences were designed and tested for their effectiveness. PMID: 17498944
顯示更多
收起更多
-
相關疾病:Congenital hemidysplasia with ichthyosiform erythroderma and limb defects (CHILD); CK syndrome (CKS)
-
亞細胞定位:Endoplasmic reticulum membrane; Single-pass membrane protein. Lipid droplet.
-
蛋白家族:3-beta-HSD family
-
組織特異性:Brain, heart, liver, lung, kidney, skin and placenta.
-
數據庫鏈接:
Most popular with customers
-
-
YWHAB Recombinant Monoclonal Antibody
Applications: ELISA, WB, IHC, IF, FC
Species Reactivity: Human, Mouse, Rat
-
Phospho-YAP1 (S127) Recombinant Monoclonal Antibody
Applications: ELISA, WB, IHC
Species Reactivity: Human
-
-
-
-
-















